Oberschenkel

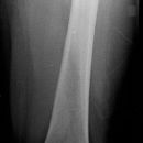
Oberschenkel a.p.
Es wurden keine Bilder gefunden.

Kassette/Abstand

Format 20/40 hoch oder 20/60 / FFA 1,15m

Lagerung

Patient in Rückenlage, Bein leicht abgespreizt, Fußspitze nach innen rotiert.

Zentralstrahl

Senkrecht auf Oberschenkelmitte d.h. Femur
1. proximaler Oberschenkel: mit Darstellung der Hüfte, oberer Kassettenrand 2 QF oberhalb der Spina bzw. Lichtvisier bis Spina.
2. distaler Oberschenkel: mit Darstellung des Knies, unterer Kassettenrand 4 QF unterhalb der Patella.

Qualitätskriterien

Bei Erwachsenen soll das Hüftgelenk a.p. orthograd mit abgebildet sein. Bei distaler Aufnahme muss das Kniegelenk orthograd getroffen werden.

  • Aufnahmedaten
  • Pädiatrische Besonderheiten
  • Vorbereitung des Patienten
Aufnahmeart: Rastertisch oder Rasterwandgerät
Belichtungsautomatik: mittleres Messfeld
Bildempfängerdosis: SC 400
Fokus-Detektor-Abstand: 115 cm
Brennflecknennwert: ≤1,3
Aufnahmespannung: 60 – 75 kV
Expositionszeit: < 100 ms
Streustrahlenraster: r 8 (12)
Aufnahmeart: Aufnahmetisch, Rastertisch nur bei größeren Kinder
Aufnahmespannung: 70 – 75 kV, bei Neugeborenen und Säuglingen 60 – 65 kV
Zusatzfilterung: 1 mm Al + mindestens 0,1 mm Cu
Bildempfängerdosis: SC 800 (400)
Brennflecknennwert: 0,6 (≤ 1,3)
Streustrahlenraster: r 8 nur bei Hüftgelenk von Kindern über 8 Jahren und Jugendlichen
Belichtungsautomatik: nur wenn Streustrahlenraster verwendet wird
Strahlenschutz: bei Knaben immer Hodenkapsel; bei Mädchen Ovarienabdeckung oder indirekter Ovarienschutz durch Bleieinschub in die Tiefenblende, wenn diagnostisch möglich
Becken und Oberschenkel von Kleidung und störenden Metallen frei machen, Gonadenschutz anlegen je nach Fragestellung.

Oberschenkel seitlich
Es wurden keine Bilder gefunden.

Kassette/Abstand

Format 20/40 hoch oder 20/60 / FFA 1,15m

Lagerung

Patient in Seitenlage, aufzunehmendes Bein liegt mit der Außenseite auf, in der Hüfte möglichst gestreckt, im Knie leicht gebeugt, das andere Bein nach hinten gestreckt oder aufgestellt (etwas zurückziehen).

Zentralstrahl

Senkrecht auf Oberschenkel- und Kassettenmitte, Kassettenrand siehe Oberschenkel a.p.

Anmerkung

Bei fehlender Möglichkeit zur exakten Seitenlage, bei Frakturen oder Erguss – Aufnahme im horizontalen Strahlengang mit angestellter Kassette (siehe seitl. Knie).

Qualitätskriterien

Oberschenkel wird exakt lateral abgebildet, Hüftgelenk gut einsehbar, Schenkelhals stark verkürzt und durch den Trochanter major verdeckt. Distaler Oberschenkel mit guter Darstellung des Kniegelenkspalt.

  • Aufnahmedaten
  • Pädiatrische Besonderheiten
  • Vorbereitung des Patienten
Aufnahmeart: Rastertisch oder Rasterwandgerät
Belichtungsautomatik: mittleres Messfeld
Bildempfängerdosis: SC 400
Fokus-Detektor-Abstand: 115 cm
Brennflecknennwert: ≤1,3
Aufnahmespannung: 60 – 75 kV
Expositionszeit: < 100 ms
Streustrahlenraster: r 8 (12)
Aufnahmeart: Aufnahmetisch, Rastertisch nur bei größeren Kinder
Aufnahmespannung: 70 – 75 kV, bei Neugeborenen und Säuglingen 60 – 65 kV
Zusatzfilterung: 1 mm Al + mindestens 0,1 mm Cu
Bildempfängerdosis: SC 800 (400)
Brennflecknennwert: 0,6 (≤ 1,3)
Streustrahlenraster: r 8 nur bei Hüftgelenk von Kindern über 8 Jahren und Jugendlichen
Belichtungsautomatik: nur wenn Streustrahlenraster verwendet wird
Strahlenschutz: bei Knaben immer Hodenkapsel; bei Mädchen Ovarienabdeckung oder indirekter Ovarienschutz durch Bleieinschub in die Tiefenblende, wenn diagnostisch möglich
Becken und Oberschenkel von Kleidung und störenden Metallen frei machen, Gonadenschutz anlegen je nach Fragestellung.