Unterarm

Unterarm total ventro-dorsal (1. Ebene a.-p.)
Es wurden keine Bilder gefunden.

Beurteilungskriterien

  • Ellenbogenaxialwinkel ~ 162°
  • Supination -> Tuberositas radii zeigt nach medial; Pronation -> nach lateral

Cave: Rotationsfehlstellung bei Radiusfrakturen, sind zwingend korrekturbedürftig! Bei Radiusschaftfrakturen proximal des Ansatzes des Musculus pronator teres stellt sich das proximale Fragment in Supination, bei distalen Frakturen in Pronation ein! Auf Stellung der Tuberositas radii achten!

  • Täuschungsmöglichkeit: Nutritialkanälchen am proximalen Radius können Fissuren vortäuschen.

Unterarm total seitlich (2. Ebene radio-ulnaris)
Es wurden keine Bilder gefunden.

Beurteilungskriterien

  • Weichteilzeichen: distaler ventraler und dorsaler Humerusfettkörper -> Fraktur im Ellbogengelenk? Supinatorfettlinie -> proximale Radiusfraktur?
  • Täuschungsmöglichkeit: Nutritialkanälchen am proximalen Radius können Fissuren vortäuschen

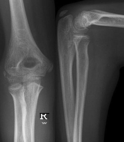
Beispiele

2/3 der Unterarmfrakturen gehen mit Frakturen von Radius und Ulna einher (komplette Unterarmfrakturen). Bei den übrigen, solitären Unterarmfrakturen kommt häufig zu Luxation/ Subluxation des nicht-frakturierten Knochens. Sonderformen:

Monteggia-Fraktur: proximale Ulnaschaftfraktur mit Dislokation des Radiusköpfchens Einteilung nach Brado.

Galeazzi-Fraktur (2): (Schräg-)Fraktur des distalen Radius mit Luxation/Subluxation im distalen Radioulnargelenk. (häufig subtil -> Hinweis: Aufweitung des Gelenkspalts, Überlagerung von distalem Radius und Ulna, im Seitbild dorsale Überlappung der Ulna)

Essex-Lopresti-Fraktur: Trümmerfraktur des Radiushalses/-köpfchens mit Einstauchung und Konsekutiver (Sub-)Luxation im distalen Radioulnargelenk.

Kids:
Grünholzfrakturen (2): konvexseitige Kortikalis völlig durchbrochen, konkavseitige nur angebrochen, Periostschlauch erhalten; Sonderform: "bowing fracture": traumatische Verbiegung des UA mit kortikalen Einrissen (Microfrakturen) konvexsetig bei intakter Konkavseite.

Konversation wird geladen