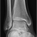
Sprunggelenk

Sprunggelenk a.p.
Es wurden keine Bilder gefunden.

Indikation

Sprunggelenksfrakturen, Pilon-tibial-Frakturen, Talusfrakturen (Komplex? => CT-Indikation!)

Freier Einblick in den kompletten Gelenkspalt? (Aufnahme in 15-20° Innenrotation, beide Malleolen in gleicher Tischplattenentfernung!) -> Kontur der Incisura fibularis tibiae und laterale Talusrollenkontur in einer Fluchtlinie?

Isolierte Innenknöchelfraktur bzw. klinischer Anhalt für hohe Fibulafraktur? -> ges. Unterschenkel zum Ausschluss einer Maisonneuve-Fraktur röntgen!!

Beurteilungskriterien

  • Weite (lateral 4-5mm, medial 3-4mm) und Kongruenz des Gelenkspalts
  • Syndesmosenspalt < 5mm
  • Fluchtlinie von Incisura fibularis und lateraler Talusrollenkontur -> Versetzung weist auf (osteo-)ligamentäre Verletzung hin!
  • tibiofibulare Gelenkkontur
  • Weichteilschwellung (v.a. ventral des Gelenkspaltes in der seitlichen Aufnahme und um den lateralen Malleolus in der ap.-Projektion)
  • Target areas häufiger subtiler Frakturlokalisationen:
    • Kontur der Malleolen und Malleolarspitzen
    • posterolaterale Tibiakantenabscherungen (Volkmann-Dreieck)
    • Kanten der Trochlea tali (Flake-Frakturen bei bis zu 7% der OSG-Distorsionen!)
    • Talushals, Processus lateralis
  • Cave : akzessorische Knochen (Os trigonum, Os supratalare, Os supranaviculare, Os tibiale externum)

Cave: Pilon-tibial-Frakturen: metaphysäre, supramalleoläre Frakturen der distalen 4cm der Tibia (meist mit Fibulafraktur kombiniert) -> OSG-Frakturen: Frakturen der Malleolengabel und posterolaterale Tibiakantenabscherungen (Volkmann-Dreieck)

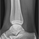
Sprunggelenk seitlich
Es wurden keine Bilder gefunden.

Indikation

Sprunggelenksfrakturen, Pilon-tibial-Frakturen, Talusfrakturen (Komplex? => CT-Indikation!).
Malleolus fibularis steht etwa 1cm weiter dorsal und reicht 1,5cm weiter nach kaudal als der mediale Malleolus. Malleolen, abgesehen von ihrer Längendifferenz, exakt übereinander projiziert?
Isolierte Innenknöchelfraktur bzw. klinischer Anhalt für hohe Fibulafraktur??? ->  ges. Unterschenkel zum Ausschluss einer Maisonneuve-Fraktur  röntgen!!!

Beurteilungskriterien

Cave: DD Pilon-tibial-Frakturen: metaphysäre, supramalleoläre Frakturen der distalen 4cm der Tibia (meist mit Fibulafraktur kombiniert) -> OSG-Frakturen: Frakturen der Malleolengabel und posterolaterale Tibiakantenabscherungen (Volkmann-Dreieck)

  • Malleolen exakt übereinanderprojiziert?
  • Gelenkspaltweite in der seitlichen Aufnahme gleichmäßig weit?
  • Weichteilschwellung ventral des Gelenkspaltes?
  • Gelenkstellung des Talus in der Malleolengabel
  • Target areas häufiger subtiler Frakturen:
    • Kontur der Malleolen und Malleolarspitzen
    • posterolaterale Tibiakantenabscherungen (Volkmann-Dreieck)
    • Kanten der Trochlea tali (Flake-Frakturen bei bis zu 7% der OSG-Distorsionen!)
    • Talushals, Processus posterior tali
  • Cave : akzessorische Knochen (Os trigonum, Os supratalare, Os supranaviculare, Os tibiale externum)
  • AO-Klassifikation der Pilon-tibial-Frakturen
  • Einteilung der OSG-Frakturen nach Danis-Weber: Höhe der Fibulafraktur in Bezug zur Syndesmose =>
"Weber A" : Außenknöchelfraktur infrasyndesmal +/- Innenknöchelfraktur; Syndesmose intakt
"Weber B" : Außenknöchelfraktur transsyndesmal +/- Innenknöchelfraktur; Syndesmose meist teilrupturiert
"Weber C" : Außenknöchelfraktur suprasyndesmal +/- Innenknöchelfraktur; komplette Sydesmosenruptur und Ruptur der Membrana interossea bis auf Frakturhöhe
Trimalleoläre Fraktur: bimalleoläre OSG-Fraktur mit Fraktur des Volkmann-Dreieck

Einteilung der Talushalsfrakturen nach Hawkins

Gehaltene Aufnahmen bei Außenbandläsionen (heute aufgrund mangelnder Konsequenz bzw. genaueren Darstellung mittels MRT/Sonographie nicht mehr indiziert): Entweder akut unter Lokalanästhesie oder mehrere Tage nach dem Trauma! Immer im Seitenvergleich zur gesunden Seite durchführen: Laterale Aufklappbarkeit > 8° in der ap-Aufnahme bzw. im Seitenbild > 8mm Talusvorschub

Kids

  • Epiphysenverletzungen nach Salter-Harris/Aitken
  • "Übergangsfrakturen": Frakturen der distalen Tibiaepiphyse bei beginnendem bzw. noch unvollständigem Schluß der Epiphysenfuge (10.-15.Lj).
  • "Two-plane-fracture": keine Metaphsenbeteiligung;
  • "Tri-plane-fracture": meist mit dorsalem metaphysärem Fragment im Sinne eines
  • Volkmann-Dreiecks. Typ I ohne Vorsetzung der dorsalen, metaphysären Fraktur in die Epiphyse, Typ II mit Vorsetzung in die Epiphyse => zur genaueren Differenzierung häufig MRT nötig

Brodenaufnahme
Es wurden keine Bilder gefunden.

Diente früher zur Beurteilung des hinteren, unteren Sprunggelenks. Mittlerweile durch CT verdrängt.

Konversation wird geladen