Fuß

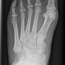
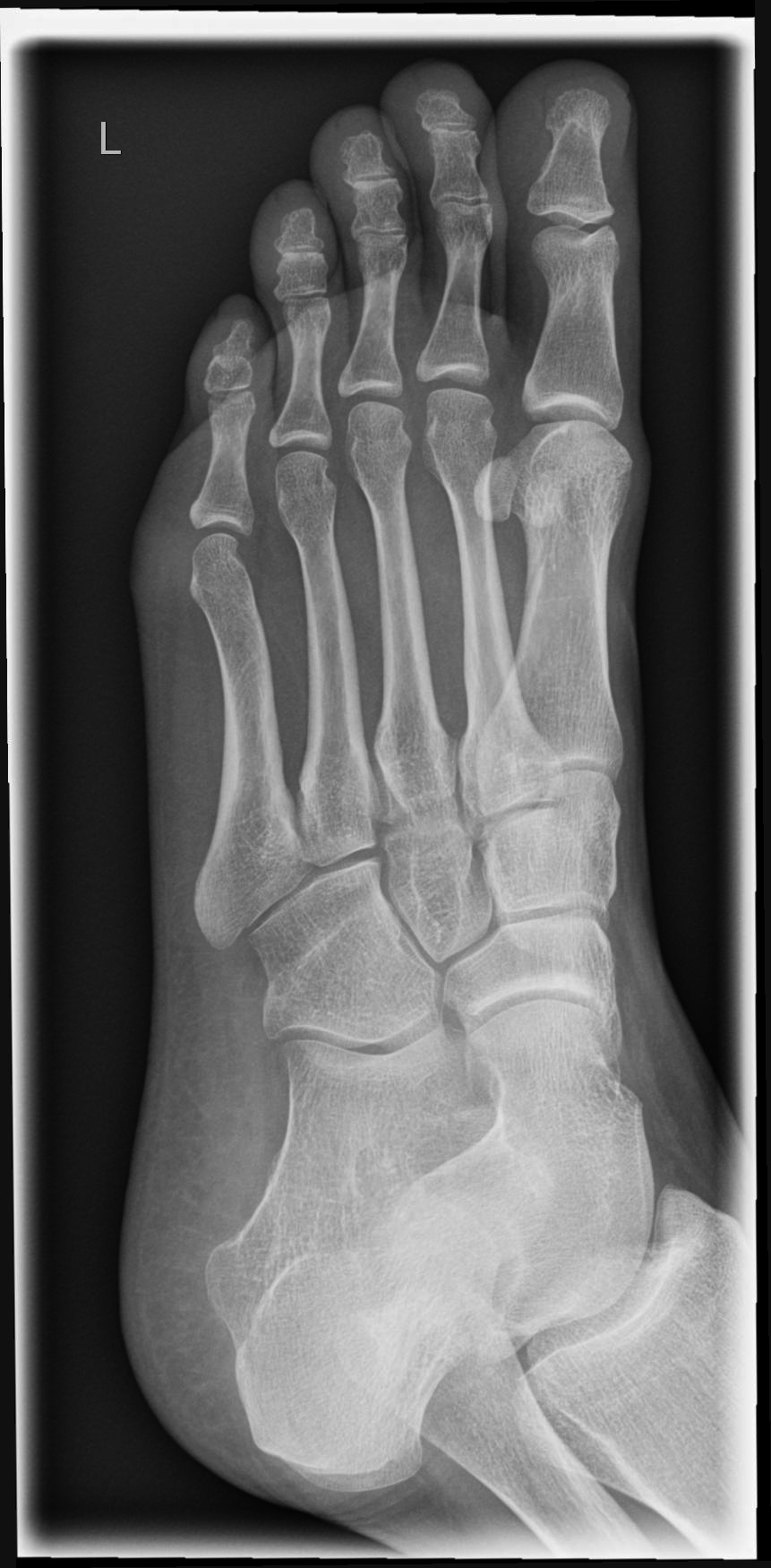
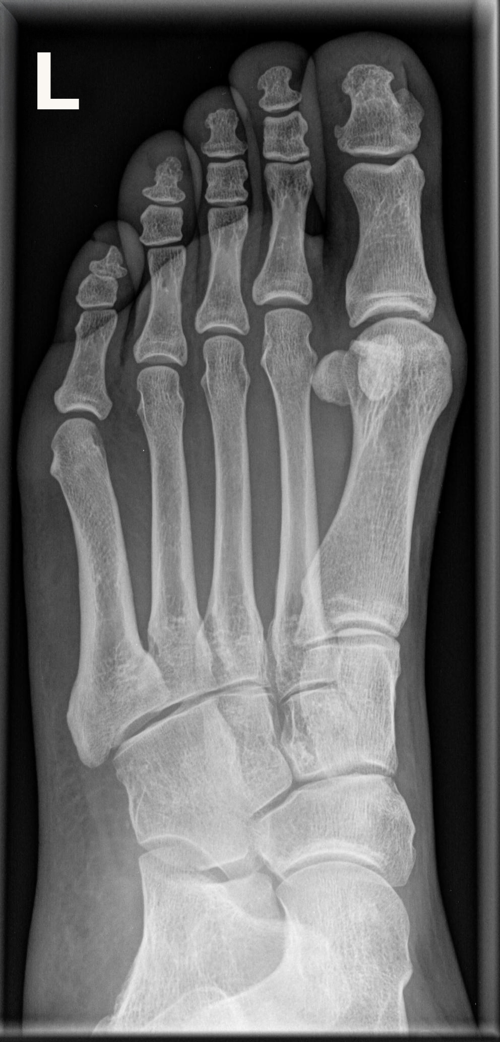
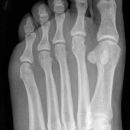
Fuß dorso-plantar (a.-p.) 1. Ebene
Es wurden keine Bilder gefunden.

Technik

  • FDA: 1,05 m
  • Ausgangsformat: 24/30
  • Übertischaufnahme

Indikation

Fraktur, entzündliche und degenerative Veränderungen

Lagerung

sitzend/ liegend auf Tisch
Knie gebeugt und Fuß aufgestellt
Fußsohle liegt plan auf Bildempfänger

Zentralstrahl

senkrecht auf Objektmitte

Einblendung

proximal bis einschließlich Malleolus lateralis

Bemerkung

medizinisch beide Füße gleichzeitig

Qualitätskriterien

Möglichst überlagerungsfreie Aufnahme der Mittelfußknochen, sodass die Fußwurzel-Mittelfuß- Gelenke gut beurteilbar sind.

  • Aufnahmedaten
  • Pädiatrische Besonderheiten
  • Vorbereitung des Patienten
Aufnahmeart: ohne Raster
Belichtungsautomatik: ohne
Bildempfängerdosis: SC 200
Fokus-Detektor-Abstand: 105 cm
Brennflecknennwert: ≤1,3
Aufnahmespannung: 50 – 60 kV
Zusatzfilterung: 1 mm Al + mindestens 0,1 mm Cu
Bildempfängerdosis: SC 400
Brennflecknennwert: 0,6 (≤ 1,3)
Strahlenschutz: Bleigummiabdeckung der unmittelbar anschließenden Abschnitte des Körperstamms
  • Datenabgleich, Schwangerschaft
  • Voraufnahmen
  • Fuss / OSG frei von Schmuck, Bekleidung
  • Bleischutz/Gonadenschutz = < 18 Jahre
  • Kopf wegdrehen vom Strahlenfeld

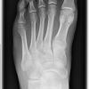
Fuß schräg (2. Ebene, chirurgisch)
Es wurden keine Bilder gefunden.

Technik

  • FDA: 1,05 m
  • Ausgangsformat: 24/30
  • Übertischaufnahme

Indikation

Fraktur

Lagerung

sitzend/ liegend auf Tisch
Knie gebeugt und Fuß aufgestellt
Basis Ossa metatarsalia 1-5 eine Höhe
(ca. 45° Kleinzehenseite angehoben)

Zentralstrahl

senkrecht auf Objektmitte

Einblendung

gesamter Fuß einschließlich Ferse

Qualitätskriterien

Freie Darstellung der Mittelfußknochen und Zehen sowie gute Beurteilbarkeit der Fußwurzelknochen, insbesondere des Lisfranc- und Chopartgelenks.

  • Aufnahmedaten
  • Pädiatrische Besonderheiten
  • Vorbereitung des Patienten
Aufnahmeart: ohne Raster
Belichtungsautomatik: ohne
Bildempfängerdosis: SC 200
Fokus-Detektor-Abstand: 105 cm
Brennflecknennwert: ≤1,3
Aufnahmespannung: 50 – 60 kV
Zusatzfilterung: 1 mm Al + mindestens 0,1 mm Cu
Bildempfängerdosis: SC 400
Brennflecknennwert: 0,6 (≤ 1,3)
Strahlenschutz: Bleigummiabdeckung der unmittelbar anschließenden Abschnitte des Körperstamms
  • Datenabgleich, Schwangerschaft
  • Voraufnahmen
  • Fuss / OSG frei von Schmuck, Bekleidung
  • Bleischutz/Gonadenschutz = < 18 Jahre
  • Kopf wegdrehen vom Strahlenfeld

Fuß schräg (2. Ebene, medizinisch)
Es wurden keine Bilder gefunden.

Technik

  • FDA: 1,05 m
  • Röhrenkippung 15°
  • Ausgangsformat: 24/30
  • Übertischaufnahme

Indikation

Entzündliche und degenerative Veränderungen

Lagerung

sitzend/ liegend auf Tisch
Knie gebeugt und Fuß aufgestellt
Grundgelenke 1-5 eine Höhe
(ca. 15° Kleinzehenseite angehoben)

Zentralstrahl

15° caudo-cranial auf Objektmitte

Einblendung

proximal bis einschließlich Malleolus lateralis

Qualitätskriterien

Freie Darstellung der Mittelfußknochen und Zehen sowie gute Beurteilbarkeit der Fußwurzelknochen, insbesondere des Lisfranc- und Chopartgelenks.

  • Aufnahmedaten
  • Pädiatrische Besonderheiten
  • Vorbereitung des Patienten
Aufnahmeart: ohne Raster
Belichtungsautomatik: ohne
Bildempfängerdosis: SC 200
Fokus-Detektor-Abstand: 105 cm
Brennflecknennwert: ≤1,3
Aufnahmespannung: 50 – 60 kV
Zusatzfilterung: 1 mm Al + mindestens 0,1 mm Cu
Bildempfängerdosis: SC 400
Brennflecknennwert: 0,6 (≤ 1,3)
Strahlenschutz: Bleigummiabdeckung der unmittelbar anschließenden Abschnitte des Körperstamms
  • Datenabgleich, Schwangerschaft
  • Voraufnahmen
  • Fuss / OSG frei von Schmuck, Bekleidung
  • Bleischutz/Gonadenschutz = < 18 Jahre
  • Kopf wegdrehen vom Strahlenfeld

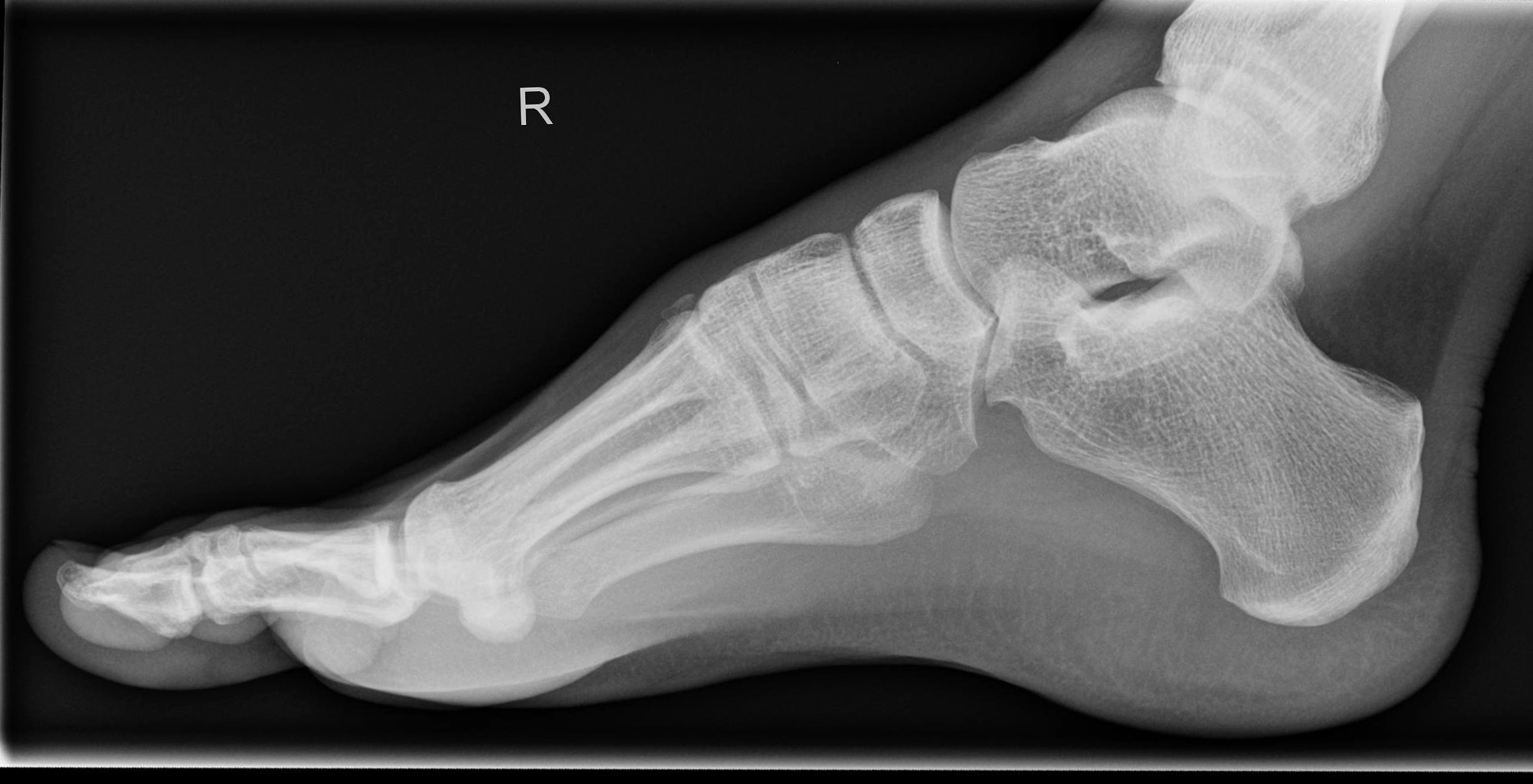
Fuß streng seitlich
Es wurden keine Bilder gefunden.

Technik

  • FDA: 1,05 m
  • Ausgangsformat: 24/30 quer
  • Übertischaufnahme

Indikation

Metatarsalien decken sich an ihrer Basis, bei Verdacht auf Senkfuß eine Aufnahme im Stehen mit Belastung, d.h. gesundes Bein anheben, mit angestelltem Bildempfänger und horizontalem Strahlengang.

Lagerung

sitzend/ liegend auf Tisch
Innen- oder Außenseite aufliegend je nach Indikation
Fuß senkrecht zum Bildempfänger.

Zentralstrahl

senkrecht auf Objektmitte

Einblendung

gesamter Fuß einschließlich Ferse

Qualitätskriterien

Gut einsehbares oberes und unteres Sprunggelenk. Die Basen der Mittelfußknochen überlagern sich.

  • Aufnahmedaten
  • Pädiatrische Besonderheiten
  • Vorbereitung des Patienten
Aufnahmeart: ohne Raster
Belichtungsautomatik: ohne
Bildempfängerdosis: SC 200
Fokus-Detektor-Abstand: 105 cm
Brennflecknennwert: ≤1,3
Aufnahmespannung: 50 – 60 kV
Zusatzfilterung: 1 mm Al + mindestens 0,1 mm Cu
Bildempfängerdosis: SC 400
Brennflecknennwert: 0,6 (≤ 1,3)
Strahlenschutz: Bleigummiabdeckung der unmittelbar anschließenden Abschnitte des Körperstamms
  • Datenabgleich, Schwangerschaft
  • Voraufnahmen
  • Fuss / OSG frei von Schmuck, Bekleidung
  • Bleischutz/Gonadenschutz = < 18 Jahre
  • Kopf wegdrehen vom Strahlenfeld

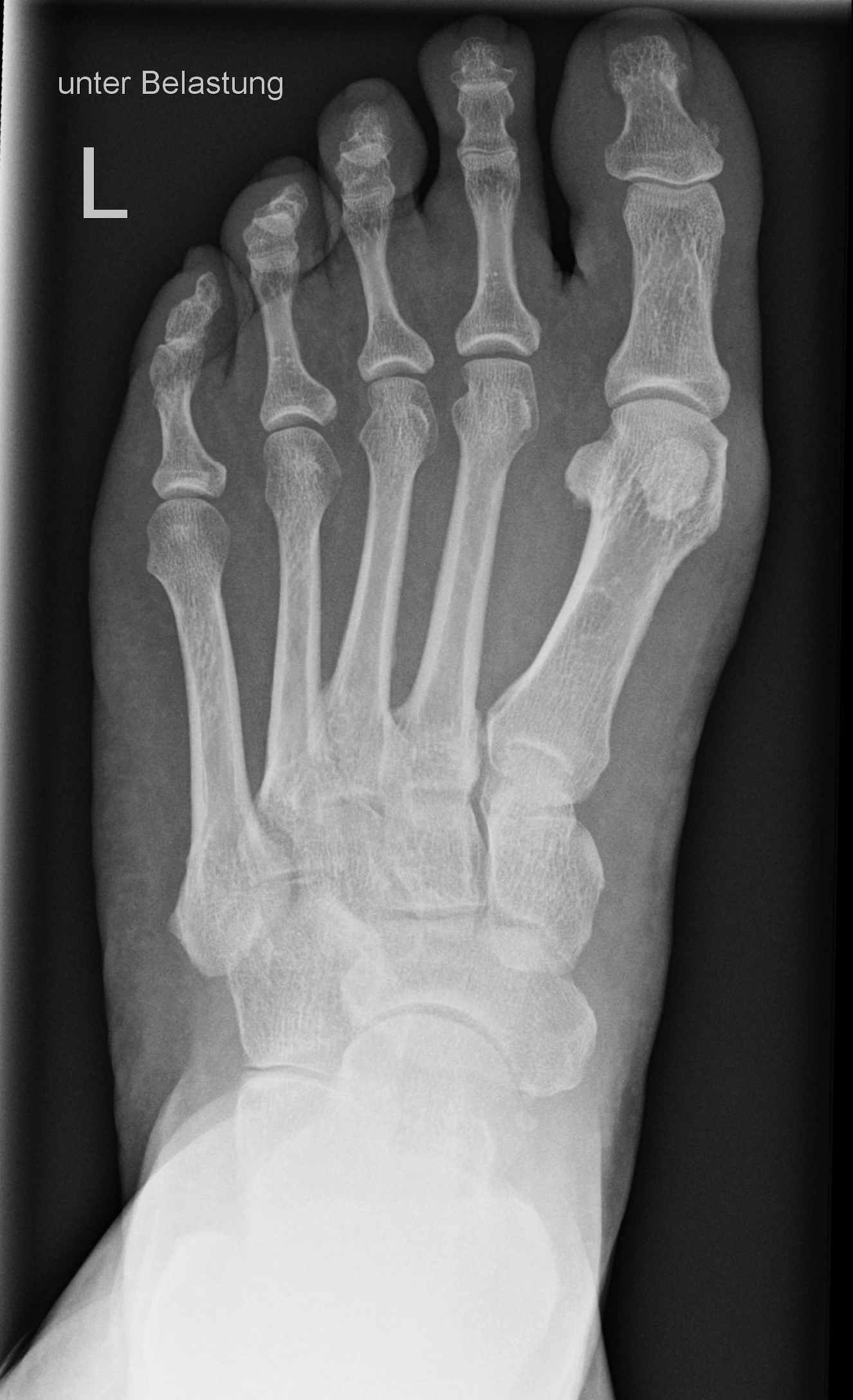
Fuß dorso-plantar (a.-p.) unter Belastung
Es wurden keine Bilder gefunden.

Technik

  • FDA: 1,05 m
  • Ausgangsformat: 24/30
  • Röhrenkippung
  • Übertischaufnahme

Lagerung

stehend auf Bildempfänger
Knie leicht gebeugt und zweiten Fuß nach hinten versetzen um das Gleichgewicht zu halten
Es soll eine Belastung auf den Fuß erfolgen, aber nicht so, dass das Knie und die Bleischürze genau über dem Fuß schweben.

Zentralstrahl

Leicht Kippung zum Patienten auf Objektmitte

Einblendung

proximal bis einschließlich Malleolus lateralis

Anmerkung

Häufig passiert es, dass der Patient mit seinem Knie zu sehr über den Fußrücken kommt bzw. ins Lichtvisier. Deshalb mit dem zweiten Fuß einen leichten Schritt nach hinten machen und kontrollieren, dass das Knie und die Bleischürze nicht über dem Fuß schwebt.

Qualitätskriterien

Vollständige überlagerungsfreie Darstellung des ganzen Fußes a.p.

  • Aufnahmedaten
  • Pädiatrische Besonderheiten
  • Vorbereitung des Patienten
Aufnahmeart: ohne Raster
Belichtungsautomatik: ohne
Bildempfängerdosis: SC 200
Fokus-Detektor-Abstand: 105 cm
Brennflecknennwert: ≤1,3
Aufnahmespannung: 50 – 60 kV
Zusatzfilterung: 1 mm Al + mindestens 0,1 mm Cu
Bildempfängerdosis: SC 400
Brennflecknennwert: 0,6 (≤ 1,3)
Strahlenschutz: Bleigummiabdeckung der unmittelbar anschließenden Abschnitte des Körperstamms
  • Datenabgleich, Schwangerschaft
  • Voraufnahmen
  • Fuss / OSG frei von Schmuck, Bekleidung
  • Bleischutz/Gonadenschutz = < 18 Jahre
  • Kopf wegdrehen vom Strahlenfeld

Fuß seitlich unter Belastung
Es wurden keine Bilder gefunden.

Technik

  • FDA: 1,05 m
  • Ausgangsformat: 24/30 quer
  • Übertischaufnahme

Indikation

Zur Begutachtung eines Senk- und Plattfußes oder aber zur Beurteilung der Fußachse und des Halux.

Lagerung

stehend mit Außenseite zum Bildempfänger auf einem Sockel
zweiten Fuß nach hinten versetzen um das Gleichgewicht zu halten
untersuchenden Fuß voll belasten
zum Halt sollte sich der Patient auch irgendwo am Stativ festhalten

Zentralstrahl

senkrecht auf Objektmitte

Einblendung

gesamter Fuß einschließlich Ferse

Anmerkung

Sollte der Patient nicht auf einem Sockel stehen, wird die Fußsohle abgeschnitten. Deshalb der Detektor zwischen Stativ und Sockel stellen

Qualitätskriterien

Seitliche Aufnahme des ganzen Fußes. Die Mittelfußknochen und Phalangen überlagern sich. Oberes und unteres Sprunggelenk sind gut einsehbar. Überlagerungsfreie Darstellung des Fersenbeins.

  • Aufnahmedaten
  • Pädiatrische Besonderheiten
  • Vorbereitung des Patienten
Aufnahmeart: ohne Raster
Belichtungsautomatik: ohne
Bildempfängerdosis: SC 200
Fokus-Detektor-Abstand: 105 cm
Brennflecknennwert: ≤1,3
Aufnahmespannung: 50 – 60 kV
Zusatzfilterung: 1 mm Al + mindestens 0,1 mm Cu
Bildempfängerdosis: SC 400
Brennflecknennwert: 0,6 (≤ 1,3)
Strahlenschutz: Bleigummiabdeckung der unmittelbar anschließenden Abschnitte des Körperstamms
  • Datenabgleich, Schwangerschaft
  • Voraufnahmen
  • Fuss / OSG frei von Schmuck, Bekleidung
  • Bleischutz/Gonadenschutz = < 18 Jahre
  • Kopf wegdrehen vom Strahlenfeld

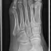
Vorfuß dorso-plantar (a.-p.) 1. Ebene
Es wurden keine Bilder gefunden.

Technik

  • FDA: 1,05 m
  • Ausgangsformat: 18/24
  • Übertischaufnahme

Lagerung

sitzend/ liegend auf Tisch
Knie gebeugt und Fuß aufgestellt
Fußsohle liegt plan auf Bildempfänger

Zentralstrahl

senkrecht auf Objektmitte

Einblendung

proximal bis einschließlich Metatarsalia

Qualitätskriterien

Möglichst überlagerungsfreie Aufnahme der Zehen und der Metatarsalia.

  • Aufnahmedaten
  • Pädiatrische Besonderheiten
  • Vorbereitung des Patienten
Aufnahmeart: ohne Raster
Belichtungsautomatik: ohne
Bildempfängerdosis: SC 200
Fokus-Detektor-Abstand: 105 cm
Brennflecknennwert: ≤1,3
Aufnahmespannung: 50 – 60 kV
Zusatzfilterung: 1 mm Al + mindestens 0,1 mm Cu
Bildempfängerdosis: SC 400
Brennflecknennwert: 0,6 (≤ 1,3)
Strahlenschutz: Bleigummiabdeckung der unmittelbar anschließenden Abschnitte des Körperstamms
  • Datenabgleich, Schwangerschaft
  • Voraufnahmen
  • Fuss / OSG frei von Schmuck, Bekleidung
  • Bleischutz/Gonadenschutz = < 18 Jahre
  • Kopf wegdrehen vom Strahlenfeld

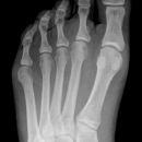
Vorfuß schräg 2. Ebene
Es wurden keine Bilder gefunden.

Technik

  • FDA: 1,05 m
  • Ausgangsformat: 18/24
  • Übertischaufnahme

Lagerung

sitzend/ liegend auf Tisch
Knie gebeugt und Fuß aufgestellt
Basis Ossa metatarsalia 1-5 eine Höhe
(ca. 45° Kleinzehenseite angehoben)

Zentralstrahl

senkrecht auf Objektmitte

Einblendung

proximal bis einschließlich Metatarsalia

Qualitätskriterien

Freie Darstellung der Metatarsalia insbesondere des Metatarsalen 5 und Zehen.

  • Aufnahmedaten
  • Pädiatrische Besonderheiten
  • Vorbereitung des Patienten
Aufnahmeart: ohne Raster
Belichtungsautomatik: ohne
Bildempfängerdosis: SC 200
Fokus-Detektor-Abstand: 105 cm
Brennflecknennwert: ≤1,3
Aufnahmespannung: 50 – 60 kV
Zusatzfilterung: 1 mm Al + mindestens 0,1 mm Cu
Bildempfängerdosis: SC 400
Brennflecknennwert: 0,6 (≤ 1,3)
Strahlenschutz: Bleigummiabdeckung der unmittelbar anschließenden Abschnitte des Körperstamms
  • Datenabgleich, Schwangerschaft
  • Voraufnahmen
  • Fuss / OSG frei von Schmuck, Bekleidung
  • Bleischutz/Gonadenschutz = < 18 Jahre
  • Kopf wegdrehen vom Strahlenfeld
Konversation wird geladen