Unterschenkel

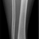
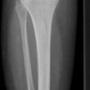
Unterschenkel a.-p. (1. Ebene)
Es wurden keine Bilder gefunden.

Technik

  • FDA: 1,05 m
  • Ausgangsformat: 20/43
  • Übertischaufnahme

Indikation

Fraktur, Osteosynthesematerial

Lagerung

sitzend/ liegend auf Tisch
Bein gestreckt

1. Distaler US mit Darstellung des Sprunggelenks
gestreckte Bein nach innen rotieren, sodass Malleolus medialis und lateralis auf einer Höhe sind
(ca. 15-20° - Zeigefingertest)
Fuß anziehen, möglichst senkrecht zum Unterschenkel
Ferse schließt mit Bildempfänger ab

2. Proximaler US mit Darstellung des Knies
leicht nach innenrotiert, sodass die Epicondylen auf einer Höhe sind (Patella mittelständig)
obere Aufblendung: 2 QF oberhalb der Patella

Zentralstrahl

senkrecht
Querzentrierung: auf Bildempfängermitte bei voller Aufblendung
Längszentrierung auf Objektmitte

Einblendung

dist./prox. volle Länge, lateral 1 QF-Hautgrenze

Bemerkung

ein Gelenk immer vollständig erfasst

Qualitätskriterien

Orthograde Darstellung des Kniegelenkspalts, Patella mittelständig. Distaler Unterschenkel mit Darstellung des Sprunggelenkspaltes.

  • Aufnahmedaten
  • Pädiatrische Besonderheiten
  • Vorbereitung des Patienten
Aufnahmeart: ohne Raster
Belichtungsautomatik: ohne
Bildempfängerdosis: SC 400
Fokus-Detektor-Abstand: 105 cm (115cm)
Brennflecknennwert: ≤1,3
Aufnahmespannung: Unterschenkel mit Knie: 65 – 75 kV  
  Unterschenkel mit OSG: 55 – 65 kV  
Zusatzfilterung: 1 mm Al + mindestens 0,1 mm Cu
Bildempfängerdosis: SC 800
Brennflecknennwert: 0,6 (≤ 1,3)
Strahlenschutz: Bleigummiabdeckung der unmittelbar anschließenden Abschnitte des Körperstamms
  • Datenabgleich, Schwangerschaft
  • Voraufnahmen
  • Knie / US frei von Bekleidung
  • Bleischutz/Gonadenschutz = < 18 Jahre
  • Kopf wegdrehen vom Strahlenfeld

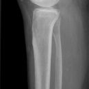
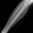
Unterschenkel lateral (medio-lateral, 2. Ebene)
Es wurden keine Bilder gefunden.

Technik

  • FDA: 1,05 m
  • Ausgangsformat: 20/43
  • Übertischaufnahme

Indikation

Fraktur, Osteosynthesematerial

Lagerung

Seitenlage, das zu untersuchende Bein liegt mit der Außenseite auf
Bein leicht gebeugt

1. Distaler US mit Darstellung des Sprunggelenks
Bein liegt auf der aufzunehmenden Seite
Bein gestreckt, Fuß cranial anziehen (ca. 90° Winkel zum US)
Malleolus medialis und lateralis stehen senkrecht zueinander (C-Griff)
Ferse schließt mit Bildempfänger ab

2. Proximaler US mit Darstellung des Knies
liegend - streng seitlich (Becken und Schulter senkrecht)
Knie gebeugt, OS -Außenseite liegt auf
Unterschenkel unterpolstern das Malleolus medialis ungefähr auf gleicher Höhe wie Epicondylus medialis kommt (US nicht abhängt)
Epicondylen senkrecht übereinanderliegend (Sichtkontrolle durch tasten der Patellaränder)
Bildempfänger dem US anpassen, OS läuft über der oberen Ecke hinaus
gesunde Bein überschlagen - unterpolstern!
Obere Aufblendung: 2 QF oberhalb der Patella

Zentralstrahl

Querzentrierung: auf Bildempfängermitte bei voller Aufblendung
Längszentrierung auf Objektmitte

Einblendung

dist./prox. volle Länge, lateral 1 QF-Hautgrenze

Bemerkung

Ein Gelenk muss immer abgebildet sein.

Variation

Bei fehlender Möglichkeit zur exakten Lagerung:

1) Patient in Rückenlage mit horizontalem Strahlengang und seitlich angestellter Kassette (Ergussaufnahme).
2) Patient liegt auf der gesunden Seite unter Hochlagerung des kranken Beines bei latero-medialen Strahlengang.

Qualitätskriterien

Deckungsgleiche Darstellung der Femurkondylen. Distaler Unterschenkel mit seitlicher Projektion des Sprunggelenkes. Die Fibula projiziert sich in Höhe des Sprunggelenks auf das mittlere bis hintere Drittel der Tibia.

  • Aufnahmedaten
  • Pädiatrische Besonderheiten
  • Vorbereitung des Patienten
Aufnahmeart: ohne Raster
Belichtungsautomatik: ohne
Bildempfängerdosis: SC 400
Fokus-Detektor-Abstand: 105 cm (115cm)
Brennflecknennwert: ≤1,3
Aufnahmespannung: Unterschenkel mit Knie: 65 – 75 kV  
  Unterschenkel mit OSG: 55 – 65 kV  
Zusatzfilterung: 1 mm Al + mindestens 0,1 mm Cu
Bildempfängerdosis: SC 800
Brennflecknennwert: 0,6 (≤ 1,3)
Strahlenschutz: Bleigummiabdeckung der unmittelbar anschließenden Abschnitte des Körperstamms
  • Datenabgleich, Schwangerschaft
  • Voraufnahmen
  • Knie / US frei von Bekleidung
  • Bleischutz/Gonadenschutz = < 18 Jahre
  • Kopf wegdrehen vom Strahlenfeld
Konversation wird geladen