Hand / Handgelenk

Os scaphoideum (Quartettaufnahme - Spezialaufnahme)
Es wurden keine Bilder gefunden.

Technik

  • FDA: 1,05 m
  • Ausgangsformat: 10/10
  • Übertischaufnahme

Lagerung

sitzend - seitlich zum Tisch

1.    Aufnahme
HG/Hand liegt flach auf
Hand kräftig bzw. so weit wie möglich zur Kleinfingerseite abduzieren
Daumen und Radius bilden eine Linie

2.    Aufnahme
15° Keil unter Bildempfänger
Lagerung siehe 1. Aufnahme

3.    Aufnahme
Unterarm und Hand an der radialen Seite um ca. 45° anheben
dabei ruhen die Finger auf der abfallenden Seite des kleinen 45° Keil

4.    Aufnahme
Unterarm und Hand an der ulnarer Seite um ca. 45° anheben
den Unterarm nicht anheben
dabei ruhen die Finger auf der aufsteigenden Fläche des kleinen 45° Keil

Zentralstrahl

1.- 4. Aufnahme
Längszentrierung: 1QF von der Hautgrenze zu den Handwurzelknochen
Querzentrierung: Kuhle distal von Proc. Styloideus radii

Einblendung

2QF in alle Richtungen

Bemerkung

Os scaphoideum: zwischen Daumensattelgelenk und Radius

Bei Kassette: es empfiehlt sich im Uhrzeigersinn auf der Kassette zu arbeiten.

Qualitätskriterien

Os scaphoideum soll orthograd überlagerungsfrei abgebildet sein, in den Schrägaufnahmen weitgehend überlagerungsfreie Darstellung des Os scaphoideum und der angrenzenden Handwurzelknochen. Schwer erkennbare Brüche sind oft nur in diesen Schrägaufnahmen diagnostizierbar.

  • Aufnahmedaten
  • Pädiatrische Besonderheiten
  • Vorbereitung des Patienten
Aufnahmeart: ohne Raster
Belichtungsautomatik: ohne
Bildempfängerdosis: SC 200
Fokus-Detektor-Abstand: 105 cm
Brennflecknennwert: 0,6 (≤1,3)
Aufnahmespannung: 50 – 60 kV
Aufnahmeart: Aufnahmetisch
Bildempfängerdosis: SC 400
Belichtungsautomatik: ohne
Strahlenschutz: Bleigummiabdeckung der unmittelbar anschließenden Abschnitte des Körperstamms
  • Datenabgleich, Schwangerschaft
  • Voraufnahmen
  • Hand frei von Schmuck, Uhr, Bekleidung
  • Bleischutz/Gonadenschutz = < 18 Jahre
  • Kopf wegdrehen vom Strahlenfeld

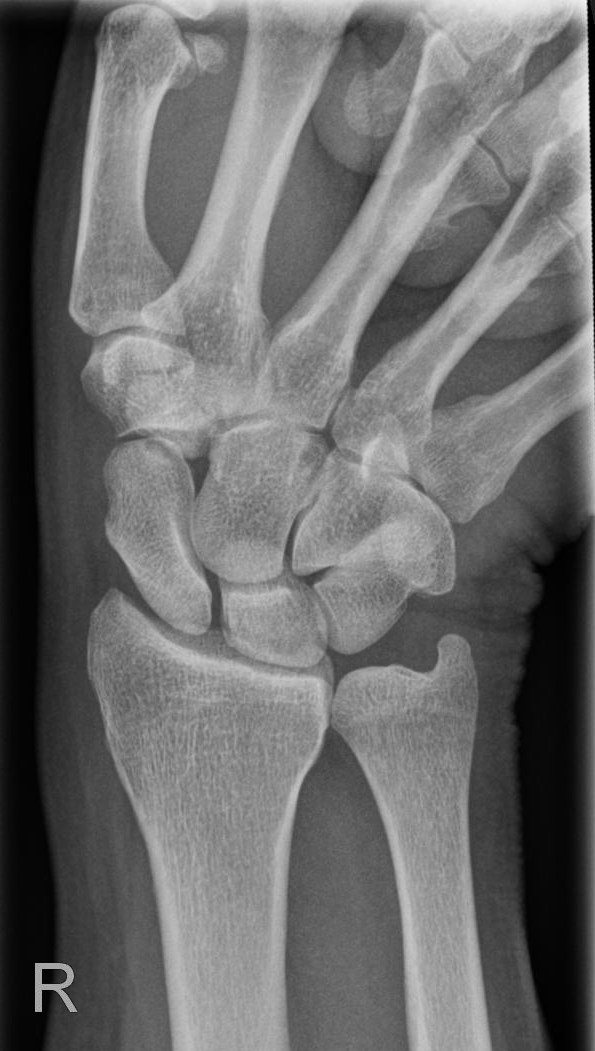
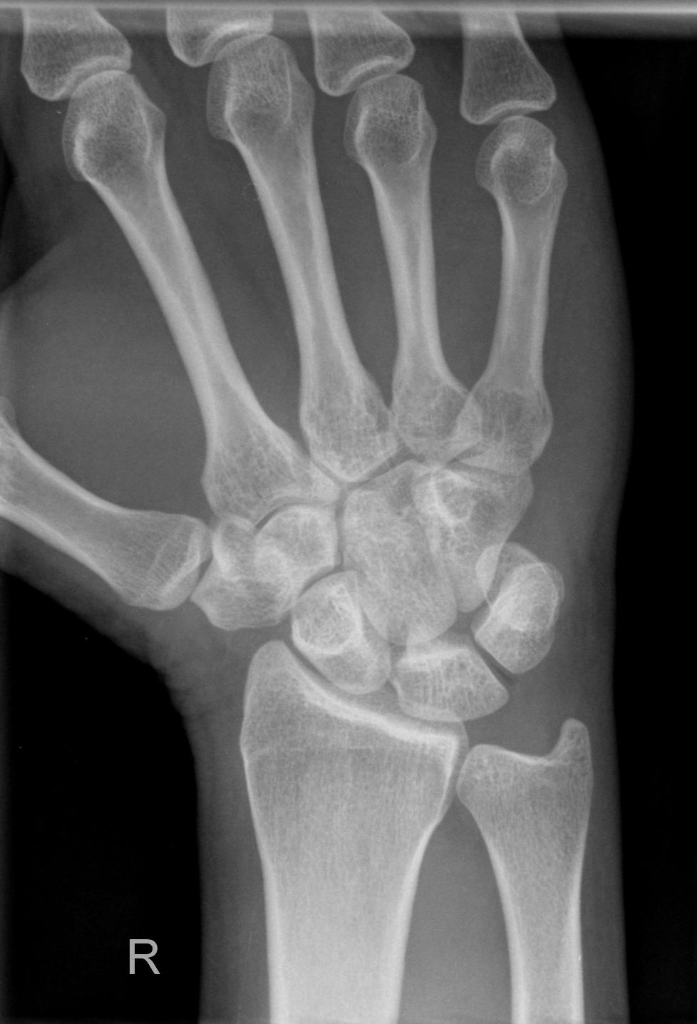
Handgelenk dorso-volar (1. Ebene)
Es wurden keine Bilder gefunden.

https://www.orthorad.de/index.php/download_file/view_inline/52432c62-d5ac-4ac0-a0ac-09a3cfff59f9

Technik

  • FDA: 1,05 m
  • Ausgangsformat: 18/24
  • Übertischaufnahme

Indikation

Fraktur

Lagerung

sitzend - seitlich zum Tisch
abgewinkelter Unterarm und die Handfläche liegen auf
Finger 2-5 werden leicht aufgestellt

Zentralstrahl

senkrecht
Querzentrierung auf Gelenkspalt
Längszentrierung auf Objektmitte

Einblendung

distal einschließlich Fingergrundgelenke

Anmerkung

Darstellung der Handwurzel- und Unterarmknochen, bei Fragestellung von Epiphysenlösung, Grünholz- oder Os scaphoideumfraktur. Zur Beurteilung der Knochenkerne bei Kindern werden Vergleichsaufnahmen notwendig, bei Verdacht auf Subluxation des Os Lunatums, Zusatzaufnahme in Flextion und Reflextion der Hand notwendig (siehe Stressaufnahme).

ggf. Tisch hochfahren

Qualitätskriterien

Vollständige Abbildung der Metacarpalia, Handwurzelknochen und distaler Unterarm.

  • Aufnahmedaten
  • Pädiatrische Besonderheiten
  • Vorbereitung des Patienten
Aufnahmeart: ohne Raster
Belichtungsautomatik: ohne
Bildempfängerdosis: SC 200
Fokus-Detektor-Abstand: 105 cm
Brennflecknennwert: 0,6 (≤1,3)
Aufnahmespannung: 50 – 60 kV
Aufnahmeart: Aufnahmetisch
Bildempfängerdosis: SC 400
Belichtungsautomatik: ohne
Strahlenschutz: Bleigummiabdeckung der unmittelbar anschließenden Abschnitte des Körperstamms
  • Datenabgleich, Schwangerschaft
  • Voraufnahmen
  • Hand frei von Schmuck, Uhr, Bekleidung
  • Bleischutz/Gonadenschutz = < 18 Jahre
  • Kopf wegdrehen vom Strahlenfeld

Handgelenk dorso-volar Pädiatrie
Es wurden keine Bilder gefunden.

Technik

  • FDA: 1,05 m
  • Ausgangsformat: 18/24
  • Übertischaufnahme
  • evtl. Zusatzfilter für Tiefenblende

Lagerung

1. Möglichkeit:

Kind liegt mit dem Rücken auf dem Tisch und dreht den Kopf zur Gegenseite
Hand liegt in Pronation auf dem Detektor
D3 verläuft gestreckt in Richtung Radius

2. Möglichkeit:

seitlich am Tisch sitzend
Kopf zur Gegenseite drehen
gewinkelter Vorderarm liegt flach auf dem Tisch
Hand liegt in Pronation auf dem Detektor

Zentralstrahl

senkrecht
Querzentrierung auf Gelenkspalt
Längszentrierung auf Objektmitte
Einblendung: distal einschließlich Fingergrundgelenke

Anmerkung

Zusatzfilter 1 mm Al + mindestens 0,1 mm Cu.
Bei unruhigen Patienten muss der Unterarm durch Sandsack oder Begleitperson fixiert werden.

Qualitätskriterien

Vollständige Abbildung der Metacarpalia, Handwurzelknochen und distaler Unterarm.

  • Aufnahmedaten Pädiatrisch
  • Vorbereitung des Patienten
Aufnahmeart: ohne Raster
Belichtungsautomatik: ohne
Bildempfängerdosis: SC 400
Fokus-Detektor-Abstand: 105 cm
Brennflecknennwert: 0,6 (≤1,3)
Aufnahmespannung: 50 – 60 kV
Strahlenschutz: Bleigummiabdeckung der unmittelbar anschließenden Abschnitte des Körperstamms
  • Datenabgleich, Schwangerschaft
  • Voraufnahmen
  • Hand frei von Schmuck, Uhr, Bekleidung
  • Bleischutz/Gonadenschutz = < 18 Jahre
  • Kopf wegdrehen vom Strahlenfeld

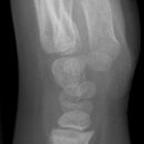
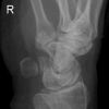
Handgelenk seitlich (radio-ulnar, 2. Ebene)
Es wurden keine Bilder gefunden.

Technik

  • FDA: 1,05 m
  • Ausgangsformat: 18/24
  • Übertischaufnahme

Indikation

Fraktur

Lagerung

sitzend - seitlich zum Tisch
Handgelenk, Unterarm und abgewinkelter Ellenbogen liegen streng seitlich auf. (Radius und Ulna deckungsgleich)

Zentralstrahl

senkrecht
Querzentrierung auf Gelenkspalt
Längszentrierung auf Objektmitte

Einblendung

distal einschließlich Fingergrundgelenke

Anmerkung

Ulnar und Radius müssen distal übereinander projiziert werden. Os Scaphoideum und Os Lunatum liegen übereinander, ebenso die Mittelhandknochen, bei Verdacht auf Subluxation des Os Lunatums, Zusatzaufnahme in Flextion und Reflextion der Hand notwendig (Stressaufnahme).

ggf. Tisch herunterfahren

Qualitätskriterien

Radius und Ulnar müssen deckungsgleich sein; Mittelhand, Handwurzelknochen und distaler Unterarm sollen abgebildet werden.

  • Aufnahmedaten
  • Pädiatrische Besonderheiten
  • Vorbereitung des Patienten
Aufnahmeart: ohne Raster
Belichtungsautomatik: ohne
Bildempfängerdosis: SC 200
Fokus-Detektor-Abstand: 105 cm
Brennflecknennwert: 0,6 (≤1,3)
Aufnahmespannung: 50 – 60 kV
Aufnahmeart: Aufnahmetisch
Bildempfängerdosis: SC 400
Belichtungsautomatik: ohne
Strahlenschutz: Bleigummiabdeckung der unmittelbar anschließenden Abschnitte des Körperstamms
  • Datenabgleich, Schwangerschaft
  • Voraufnahmen
  • Hand frei von Schmuck, Uhr, Bekleidung
  • Bleischutz/Gonadenschutz = < 18 Jahre
  • Kopf wegdrehen vom Strahlenfeld

Handgelenk seitlich Pädiatrie
Es wurden keine Bilder gefunden.

Technik

  • FDA: 1,05 m
  • Ausgangsformat: 18/24
  • Übertischaufnahme
  • evtl. Zusatzfilter für Tiefenblende

Lagerung

1. Möglichkeit:

Rückenlage
Arm leicht gewinkelt und liegt mit der Kleinfingerseite streng seitlich auf
Stellung durch Tasten im Handgelenk überprüfen

2. Möglichkeit:

sitzt seitlich am Tisch
legt den Arm streng seitlich auf Detektor
Handfläche leichte Retroflexion

Zentralstrahl

senkrecht
Querzentrierung auf Gelenkspalt
Längszentrierung auf Objektmitte

Anmerkung

Zusatzfilter 1 mm Al + mindestens 0,1 mm Cu.
Bei unruhigen Patienten muss der Unterarm durch Sandsack oder Begleitperson fixiert werden.

Qualitätskriterien

Radius und Ulnar müssen deckungsgleich sein; Mittelhand, Handwurzelknochen und distaler Unterarm sollen abgebildet werden.

  • Aufnahmedaten Pädiatrisch
  • Vorbereitung des Patienten
Aufnahmeart: ohne Raster
Belichtungsautomatik: ohne
Bildempfängerdosis: SC 400
Fokus-Detektor-Abstand: 105 cm
Brennflecknennwert: 0,6 (≤1,3)
Aufnahmespannung: 50 – 60 kV
Strahlenschutz: Bleigummiabdeckung der unmittelbar anschließenden Abschnitte des Körperstamms
  • Datenabgleich, Schwangerschaft
  • Voraufnahmen
  • Hand frei von Schmuck, Uhr, Bekleidung
  • Bleischutz/Gonadenschutz = < 18 Jahre
  • Kopf wegdrehen vom Strahlenfeld

Stecheraufnahme
Es wurden keine Bilder gefunden.

Technik

  • 1,05 m
  • Ausgangsformat: 18/24
  • Übertischaufnahme

Lagerung

Finger locker gebeugt
Hand nach lat. abduziert (abgespreizt) soweit es der Patient toleriert

Zentralstrahl

senkrecht
Querzentrierung auf Gelenkspalt
Längszentrierung auf Objektmitte

Einblendung

distal einschließlich Fingergrundgelenke

Anmerkung

Das Scaphoid ist aufgerichtet und kommt in seiner vollen Länge zur Abbildung.

Qualitätskriterien

Freier Einblick auf das Os scaphoideum, zudem kann hier gut der SL-Spalt (scapholunärer Spalt) beurteilt werden.

  • Aufnahmedaten
  • Pädiatrische Besonderheiten
  • Vorbereitung des Patienten
Aufnahmeart: ohne Raster
Belichtungsautomatik: ohne
Bildempfängerdosis: SC 200
Fokus-Detektor-Abstand: 105 cm
Brennflecknennwert: 0,6 (≤1,3)
Aufnahmespannung: 50 – 60 kV
Aufnahmeart: Aufnahmetisch
Bildempfängerdosis: SC 400
Belichtungsautomatik: ohne
Strahlenschutz: Bleigummiabdeckung der unmittelbar anschließenden Abschnitte des Körperstamms
  • Datenabgleich, Schwangerschaft
  • Voraufnahmen
  • Hand frei von Schmuck, Uhr, Bekleidung
  • Bleischutz/Gonadenschutz = < 18 Jahre
  • Kopf wegdrehen vom Strahlenfeld

Stressaufnahme
Es wurden keine Bilder gefunden.

Technik

  • FDA: 1,05 m
  • Ausgangsformat: 18/24
  • Übertischaufnahme

Lagerung

Gewinkelter Vorderarm liegt flach auf dem Tisch
Handgelenk liegt mit der volarer Seite auf
pro Aufnahme einmal nach ulnar und einmal nach radial abduziert (abgespreizt)

Zentralstrahl

senkrecht
Querzentrierung auf Gelenkspalt
Längszentrierung auf Objektmitte

Einblendung

distal einschließlich Fingergrundgelenke

Anmerkung

Für die Stressaufnahme ist es wichtig, dass sie die Hand des Patienten bis zum maximalem Abduktionspunkt bringen.

Qualitätskriterien

Vollständige Abbildung der Metacarpalia, Handwurzelknochen und distaler Unterarm.

  • Aufnahmedaten
  • Pädiatrische Besonderheiten
  • Vorbereitung des Patienten
Aufnahmeart: ohne Raster
Belichtungsautomatik: ohne
Bildempfängerdosis: SC 200
Fokus-Detektor-Abstand: 105 cm
Brennflecknennwert: 0,6 (≤1,3)
Aufnahmespannung: 50 – 60 kV
Aufnahmeart: Aufnahmetisch
Bildempfängerdosis: SC 400
Belichtungsautomatik: ohne
Strahlenschutz: Bleigummiabdeckung der unmittelbar anschließenden Abschnitte des Körperstamms
  • Datenabgleich, Schwangerschaft
  • Voraufnahmen
  • Hand frei von Schmuck, Uhr, Bekleidung
  • Bleischutz/Gonadenschutz = < 18 Jahre
  • Kopf wegdrehen vom Strahlenfeld

Ballaufnahme
Es wurden keine Bilder gefunden.

Technik

  • FDA: 1,05 m
  • Ausgangsformat: 18/24
  • Übertischaufnahme

Indikation

SL-Bandruptur

Lagerung

sitzend - seitlich zum Tisch

Der Patient nimmt zuvor einen Ball in die Hand und umschließt ihn leicht. Nun wird das Handgelenk so gelagert wie bei einer normalen Handgelenksaufnahme ohne eine jegliche Abduktion. Da der Unterarm nun schwebt, sollte unter ihm eine Schaumstoffplatte zum Ausgleich gelegt werden. Während der Aufnahme soll der Patient den Ball so fest wie möglich zusammen drücken.

Zentralstrahl

senkrecht
Querzentrierung auf Gelenkspalt
Längszentrierung auf Objektmitte

Einblendung

distal einschließlich Fingergrundgelenke

Anmerkung

Der Ball sollte möglichst aus röntgendurchlässigen Materialien gebaut werden.
 

Qualitätskriterien

Guter Einblick auf den SL-Spalt (scapholunärer Spalt), Handwurzelknochen sollte nicht verkürzt dargestellt werden.

  • Aufnahmedaten
  • Pädiatrische Besonderheiten
  • Vorbereitung des Patienten
Aufnahmeart: ohne Raster
Belichtungsautomatik: ohne
Bildempfängerdosis: SC 200
Fokus-Detektor-Abstand: 105 cm
Brennflecknennwert: 0,6 (≤1,3)
Aufnahmespannung: 50 – 60 kV
Aufnahmeart: Aufnahmetisch
Bildempfängerdosis: SC 400
Belichtungsautomatik: ohne
Strahlenschutz: Bleigummiabdeckung der unmittelbar anschließenden Abschnitte des Körperstamms
  • Datenabgleich, Schwangerschaft
  • Voraufnahmen
  • Hand frei von Schmuck, Uhr, Bekleidung
  • Bleischutz/Gonadenschutz = < 18 Jahre
  • Kopf wegdrehen vom Strahlenfeld

Monheimaufnahme
Es wurden keine Bilder gefunden.

Technik

  • FDA: 1,05 m
  • Ausgangsformat: 18/24
  • Übertischaufnahme

Indikation

Skapholunäre Dissoziation mit einer skapholunären Diastase von über 3 mm.

Lagerung

sitzend - seitlich zum Tisch
gewinkelter Vorderarm liegt flach auf dem Tisch
Handgelenk liegt mit der volarer Seite auf
D3 verläuft gestreckt in Richtung Radius
Nun werden D4 und D5 eingeklappt, so dass die Hand zu einer Schwurhand wird

Zentralstrahl

senkrecht
Querzentrierung auf Gelenkspalt
Längszentrierung auf Objektmitte

Einblendung

distal einschließlich Fingergrundgelenke

Qualitätskriterien

Guter Einblick auf den SL-Spalt (scapholunärer Spalt), Handwurzelknochen sollte nicht verkürzt dargestellt werden.

  • Aufnahmedaten
  • Pädiatrische Besonderheiten
  • Vorbereitung des Patienten
Aufnahmeart: ohne Raster
Belichtungsautomatik: ohne
Bildempfängerdosis: SC 200
Fokus-Detektor-Abstand: 105 cm
Brennflecknennwert: 0,6 (≤1,3)
Aufnahmespannung: 50 – 60 kV
Aufnahmeart: Aufnahmetisch
Bildempfängerdosis: SC 400
Belichtungsautomatik: ohne
Strahlenschutz: Bleigummiabdeckung der unmittelbar anschließenden Abschnitte des Körperstamms
  • Datenabgleich, Schwangerschaft
  • Voraufnahmen
  • Hand frei von Schmuck, Uhr, Bekleidung
  • Bleischutz/Gonadenschutz = < 18 Jahre
  • Kopf wegdrehen vom Strahlenfeld

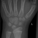
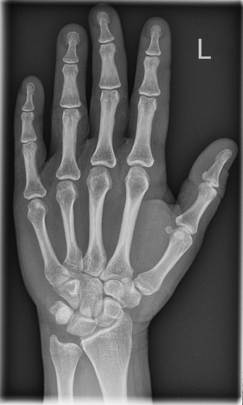
Hand d.v. (dorso-volar)
Es wurden keine Bilder gefunden.

Technik

  • FDA: 1,05 m 
  • Ausgangsformat: 18/24 
  • Übertischaufnahme

Indikation

Frakturen, entzündliche (Arthrose) und degenerative Veränderungen (Arthritis), chronische Polyarthritis (Rheuma)

Lagerung

Patient sitzt seitlich zum Tisch, Beine befinden sich neben Tisch abgewinkelter Unterarm und die Handfläche liegen auf.

Zentralstrahl

senkrecht auf Objektmitte

Einblendung

proximal einschließlich Proc. styloideus radii und ulnae

Anmerkung

Übersichtsdarstellung des Skeletts bei Frakturen, Arthrosis und Deformierung der Gelenke, sowie chronischer Polyarthritis (Rheuma).

Fragestellungsabhängige Einblendung mögl. z. B. Mittelhand

Qualitätskriterien

vollständige Darstellung der ganzen Hand inklusive Handgelenk, Buchstabe

  • Aufnahmedaten
  • Pädiatrische Besonderheiten
  • Vorbereitung des Patienten
Aufnahmeart: ohne Raster
Belichtungsautomatik: ohne
Bildempfängerdosis: SC 200
Fokus-Detektor-Abstand: 105 cm
Brennflecknennwert: 0,6 (≤1,3)
Aufnahmespannung: 50 – 60 kV
Aufnahmeart: Aufnahmetisch
Bildempfängerdosis: SC 400
Belichtungsautomatik: ohne
Strahlenschutz: Bleigummiabdeckung der unmittelbar anschließenden Abschnitte des Körperstamms
  • Datenabgleich, Schwangerschaft
  • Voraufnahmen
  • Hand frei von Schmuck, Uhr, Bekleidung
  • Bleischutz/Gonadenschutz = < 18 Jahre
  • Kopf wegdrehen vom Strahlenfeld

Hand d.-v. / Knochenalterbestimmung
Es wurden keine Bilder gefunden.

Technik

  • FDA: 1,05 m
  • Ausgangsformat: 18/24
  • Übertischaufnahme
  • evtl. Zusatzfilter für Tiefenblende

Lagerung

sitzt seitlich am Tisch
abgewinkelte Unterarm und die Handflächen liegen auf
Finger leicht gespreizt
evtl. Sandsack zur Fixierung auf den Unterarm legen
Kopf wegdrehen lassen

Zentralstrahl

senkrecht auf Objektmitte

Einblendung

proximal einschließlich Proc. styloideus radii und ulnae

Anmerkung

Seitenbezeichnung und Altersangabe bei Knochenaltersbestimmung in Jahr und Monat auf dem Bild vermerken.

Variante

Weitere Möglichkeit wäre das Baby auf der Untersuchungsliege hinzulegen und bei abgespreiztem Arm die Hand auf der Kassette aufzunehmen.

Qualitätskriterien

Vollständige Abbildung der ganzen Hand einschließlich aller Fingerendglieder und des Handgelenkes.

  • Aufnahmedaten Pädiatrisch
  • Vorbereitung des Patienten
Aufnahmeart: ohne Raster
Belichtungsautomatik: ohne
Bildempfängerdosis: SC 400
Fokus-Detektor-Abstand: 105 cm
Brennflecknennwert: 0,6 (≤1,3)
Aufnahmespannung: 50 – 60 kV
Strahlenschutz: Bleigummiabdeckung der unmittelbar anschließenden Abschnitte des Körperstamms
  • Datenabgleich, Schwangerschaft
  • Voraufnahmen
  • Hand frei von Schmuck, Uhr, Bekleidung
  • Bleischutz/Gonadenschutz = < 18 Jahre
  • Kopf wegdrehen vom Strahlenfeld

Hand streng seitlich: radio-ulnar
Es wurden keine Bilder gefunden.

Technik

  • FDA: 1,05 m
  • Ausgangsformat: 18/24
  • Übertischaufnahme

Indikation

Fremdkörperlokalisation, Stellung von Fragmenten bei Metacarpal-Frakturen.

Lagerung

Vorderarm liegt bequem auf dem Tisch
Hand wird mit der Kleinfingerseite streng seitlich auf Detektor gelegt
Daumen wird volarwärts leicht abgespreizt

Zentralstrahl

Senkrecht auf Grundgelenk des 2. Fingers und auf Detektormitte.

Qualitätskriterien

Metacarpalia und Fingerendglieder müssen sich decken, Weichteile müssen gute beurteilbar sein.

  • Aufnahmedaten
  • Pädiatrische Besonderheiten
  • Vorbereitung des Patienten
Aufnahmeart: ohne Raster
Belichtungsautomatik: ohne
Bildempfängerdosis: SC 200
Fokus-Detektor-Abstand: 105 cm
Brennflecknennwert: 0,6 (≤1,3)
Aufnahmespannung: 50 – 60 kV
Aufnahmeart: Aufnahmetisch
Bildempfängerdosis: SC 400
Belichtungsautomatik: ohne
Strahlenschutz: Bleigummiabdeckung der unmittelbar anschließenden Abschnitte des Körperstamms
  • Datenabgleich, Schwangerschaft
  • Voraufnahmen
  • Hand frei von Schmuck, Uhr, Bekleidung
  • Bleischutz/Gonadenschutz = < 18 Jahre
  • Kopf wegdrehen vom Strahlenfeld

Hand schräg: Zitherspieler (chirurgisch, 2. Ebene)
Es wurden keine Bilder gefunden.

Technik

  • FDA: 1,05 m
  • Ausgangsformat: 18/24
  • Übertischaufnahme

Indikation

Fraktur

Lagerung

sitzend - seitlich zum Tisch

1. Möglichkeit - d.-v.

Hand seitlich mit Kleinfingerseite aufstellen und nach vorne fallen lassen, sodass die restlichen Finger und der Daumen den Bildempfänger mit den Fingerkuppen berühren (Fächerhaltung)

2. Möglichkeit - v.-d. bei Fraktur MC 4-5

Hand seitlich mit Kleinfingerseite aufstellen und ca. 20° nach hinten fallen lassen
Daumen abduziert & Finger gestreckt

Zentralstrahl

Senkrecht auf Objektmitte

Einblendung

proximal einschließlich Proc. styloideus radii und ulnae

Anmerkung

Trotz Schräghaltung werden die Finger weitgehend seitlich projiziert.

Fragestellungsabhängige Einblendung mögl. z. B. Mittelhand

Qualitätskriterien

Darstellung der ganzen Hand mit schräger, überlagerungsfreier Darstellung der Mittelhand und des Handgelenkes, Metacarpale 4 und 5 überlagern sich leicht in der Basis bei der 1. Möglichkeit.

 

  • Aufnahmedaten
  • Pädiatrische Besonderheiten
  • Vorbereitung des Patienten
Aufnahmeart: ohne Raster
Belichtungsautomatik: ohne
Bildempfängerdosis: SC 200
Fokus-Detektor-Abstand: 105 cm
Brennflecknennwert: 0,6 (≤1,3)
Aufnahmespannung: 50 – 60 kV
Aufnahmeart: Aufnahmetisch
Bildempfängerdosis: SC 400
Belichtungsautomatik: ohne
Strahlenschutz: Bleigummiabdeckung der unmittelbar anschließenden Abschnitte des Körperstamms
  • Datenabgleich, Schwangerschaft
  • Voraufnahmen
  • Hand frei von Schmuck, Uhr, Bekleidung
  • Bleischutz/Gonadenschutz = < 18 Jahre
  • Kopf wegdrehen vom Strahlenfeld

Hand schräg: Zitherspieler Pädiatrie
Es wurden keine Bilder gefunden.

Technik

  • FDA: 1,05 m
  • Ausgangsformat: 18/24
  • Übertischaufnahme
  • evtl. Zusatzfilter für Tiefenblende

Lagerung

sitzt seitlich am Tisch
Hand liegt schräg auf
zur Unterstützung für Daumen und Zeigefinger evtl. 45° Schaumstoffkeil verwenden

Zentralstrahl

senkrecht auf Objektmitte

Einblendung

proximal einschließlich Proc. styloideus radii und ulnae

Anmerkung

Zusatzfilter 1 mm Al + mindestens 0,1 mm Cu.
Bei unruhigen Patienten muss der Unterarm durch Sandsack oder Begleitperson fixiert werden.

Lagerungshilfen

Mit kleinen Schaumstoffscheiben lassen sich gut Lagerungstürme bauen, an dem das Kind gut seine Finger lagern kann.

Qualitätskriterien

Darstellung der ganzen Hand mit schräger, überlagerungsfreier Darstellung der Mittelhand

  • Aufnahmedaten Pädiatrisch
  • Vorbereitung des Patienten
Aufnahmeart: ohne Raster
Belichtungsautomatik: ohne
Bildempfängerdosis: SC 400
Fokus-Detektor-Abstand: 105 cm
Brennflecknennwert: 0,6 (≤1,3)
Aufnahmespannung: 50 – 60 kV
Strahlenschutz: Bleigummiabdeckung der unmittelbar anschließenden Abschnitte des Körperstamms
  • Datenabgleich, Schwangerschaft
  • Voraufnahmen
  • Hand frei von Schmuck, Uhr, Bekleidung
  • Bleischutz/Gonadenschutz = < 18 Jahre
  • Kopf wegdrehen vom Strahlenfeld

Hände nach Nørgaard v.-d. (medizinisch 2. Ebene)
Es wurden keine Bilder gefunden.

Technik

  • FDA: 1,05 m
  • Ausgangsformat: 24/30 (quer)
  • Übertischaufnahme

Indikation

entzündliche (Arthrose) und degenerative Veränderungen (Arthritis), chronische Polyarthritis (Rheuma)

Lagerung

sitzend - frontal zum Tisch
gesamter Unterarm aufliegend und Ellenbogen möglichst zusammen, Handinnenflächen zeigen nach oben (Schalenhaltung)

Zentralstrahl

senkrecht auf Objektmitte

Einblendung

proximal einschließlich Proc. styloideus radii und ulnae

Bemerkung

Handgelenk gestreckt, bd. Hände im Vergleich

Qualitätskriterien

Guter Einblick in die Gelenke.

  • Aufnahmedaten
  • Pädiatrische Besonderheiten
  • Vorbereitung des Patienten
Aufnahmeart: ohne Raster
Belichtungsautomatik: ohne
Bildempfängerdosis: SC 200
Fokus-Detektor-Abstand: 105 cm
Brennflecknennwert: 0,6 (≤1,3)
Aufnahmespannung: 50 – 60 kV
Aufnahmeart: Aufnahmetisch
Bildempfängerdosis: SC 400
Belichtungsautomatik: ohne
Strahlenschutz: Bleigummiabdeckung der unmittelbar anschließenden Abschnitte des Körperstamms
  • Datenabgleich, Schwangerschaft
  • Voraufnahmen
  • Hand frei von Schmuck, Uhr, Bekleidung
  • Bleischutz/Gonadenschutz = < 18 Jahre
  • Kopf wegdrehen vom Strahlenfeld

Mittelhand d.-v.
Es wurden keine Bilder gefunden.

Technik

  • FDA: 1,05 m
  • Ausgangsformat: 18/24
  • Übertischaufnahme

Lagerung

sitzt seitlich am Tisch
abgewinkelte Unterarm und die Handflächen liegen auf
Finger leicht gespreizt, evtl. Sandsack zur Fixierung auf den Unterarm legen

Zentralstrahl

senkrecht auf Objektmitte

Einblendung 

oben und unten nur von PIP Gelenk bis einschließlich Handwurzelknochen.

Qualitätskriterien

Überlagerungsfreie Abbildung der Mittelhandknochen einschließlich Carpometacarpal- und Metacarpophalangealgelenken.

  • Aufnahmedaten
  • Pädiatrische Besonderheiten
  • Vorbereitung des Patienten
Aufnahmeart: ohne Raster
Belichtungsautomatik: ohne
Bildempfängerdosis: SC 200
Fokus-Detektor-Abstand: 105 cm
Brennflecknennwert: 0,6 (≤1,3)
Aufnahmespannung: 50 – 60 kV
Aufnahmeart: Aufnahmetisch
Bildempfängerdosis: SC 400
Belichtungsautomatik: ohne
Strahlenschutz: Bleigummiabdeckung der unmittelbar anschließenden Abschnitte des Körperstamms
  • Datenabgleich, Schwangerschaft
  • Voraufnahmen
  • Hand frei von Schmuck, Uhr, Bekleidung
  • Bleischutz/Gonadenschutz = < 18 Jahre
  • Kopf wegdrehen vom Strahlenfeld

Mittelhand seitlich
Es wurden keine Bilder gefunden.

Technik

  • FDA: 1,05 m
  • Ausgangsformat: 18/24
  • Übertischaufnahme

Lagerung

sitzend - seitlich zum Tisch

1. Möglichkeit - d.-v.

Hand seitlich mit Kleinfingerseite aufstellen und nach vorne fallen lassen
die restlichen Finger und der Daumen den Bildempfänger mit den Fingerkuppen berühren (Fächerhaltung)

2. Möglichkeit - v.-d. bei Fraktur MC 4-5 // Aufnahme nach Schramm

Hand seitlich mit Kleinfingerseite aufstellen und ca. 20° nach hinten fallen lassen
Daumen abduziert & Finger gestreckt

Zentralstrahl

Senkrecht auf Objektmitte.

Einblendung

oben und unten nur von PIP Gelenk bis einschließlich Handwurzelknochen.

Qualitätskriterien

Überlagerungsfreie Darstellung der Mittelhand, bei der 2. Möglichkeit vollständige und überlagerungsfreie schräge Abbildung des Metacarpale 5 und 4.

  • Aufnahmedaten
  • Pädiatrische Besonderheiten
  • Vorbereitung des Patienten
Aufnahmeart: ohne Raster
Belichtungsautomatik: ohne
Bildempfängerdosis: SC 200
Fokus-Detektor-Abstand: 105 cm
Brennflecknennwert: 0,6 (≤1,3)
Aufnahmespannung: 50 – 60 kV
Aufnahmeart: Aufnahmetisch
Bildempfängerdosis: SC 400
Belichtungsautomatik: ohne
Strahlenschutz: Bleigummiabdeckung der unmittelbar anschließenden Abschnitte des Körperstamms
  • Datenabgleich, Schwangerschaft
  • Voraufnahmen
  • Hand frei von Schmuck, Uhr, Bekleidung
  • Bleischutz/Gonadenschutz = < 18 Jahre
  • Kopf wegdrehen vom Strahlenfeld

Os pisiforme
Es wurden keine Bilder gefunden.

Technik

  • FDA: 1,05 m
  • Ausgangsformat: 10/10
  • Übertischaufnahme

Lagerung

Hand liegt mit der Kleinfingerseite auf und wird ca. 20° nach hinten dorsalwärts geneigt
Handinnenfläche zeigt nach oben

Zentralstrahl

Senkrecht auf Os pisiforme (Handgelenk)

Bemerkung

Bei Fragen nach Wachstumsstörungen 2.Ebene für Os pisiforme ist der Carpal-Tunnel.

Qualitätskriterien

Überlagerungsfreie Darstellung des Os pisiforme.

  • Aufnahmedaten
  • Pädiatrische Besonderheiten
  • Vorbereitung des Patienten
Aufnahmeart: ohne Raster
Belichtungsautomatik: ohne
Bildempfängerdosis: SC 200
Fokus-Detektor-Abstand: 105 cm
Brennflecknennwert: 0,6 (≤1,3)
Aufnahmespannung: 50 – 60 kV
Aufnahmeart: Aufnahmetisch
Bildempfängerdosis: SC 400
Belichtungsautomatik: ohne
Strahlenschutz: Bleigummiabdeckung der unmittelbar anschließenden Abschnitte des Körperstamms
  • Datenabgleich, Schwangerschaft
  • Voraufnahmen
  • Hand frei von Schmuck, Uhr, Bekleidung
  • Bleischutz/Gonadenschutz = < 18 Jahre
  • Kopf wegdrehen vom Strahlenfeld

Carpal-Tunnel
Es wurden keine Bilder gefunden.

Technik

  • 1,05 m
  • Ausgangsformat: 18/24
  • Übertischaufnahme

Lagerung

1. Möglichkeit:

Aufzunehmendes Handgelenk auf Detektormitte
Finger werden mit der gesunden Hand so weit wie möglich nach dorsal gezogen

2. Möglichkeit:

Patient stützt die Hand mit größter Flexion auf den Detektor
geht 1-2 Schritte vor

3. Möglichkeit:

45° Keil unter Detektor
die Hand auf Detektor
geht 1-2 Schritte vor

Zentralstrahl

Bei 1. und 2.

entsprechend der Flexion der Hand mit 45° tangierend evtl. 25°-30° (Röhrenkippung), 1 Querfinger zur Gelenkmitte hin

Bei 3.

mit senkrechtem Strahlengang.

Qualitätskriterien

Beurteilung der Karpaltunnelknochen und – bei geringer Exposition – auch der palmarseitigen Weichteilstrukturen möglich. Gleichzeitig überlagerungsfreie axiale Abbildung des Os pisiforme und des Hamulus ossis hamati, u.U. auch des Daumensattelgelenkes.

  • Aufnahmedaten
  • Pädiatrische Besonderheiten
  • Vorbereitung des Patienten
Aufnahmeart: ohne Raster
Belichtungsautomatik: ohne
Bildempfängerdosis: SC 200
Fokus-Detektor-Abstand: 105 cm
Brennflecknennwert: 0,6 (≤1,3)
Aufnahmespannung: 50 – 60 kV
Aufnahmeart: Aufnahmetisch
Bildempfängerdosis: SC 400
Belichtungsautomatik: ohne
Strahlenschutz: Bleigummiabdeckung der unmittelbar anschließenden Abschnitte des Körperstamms
  • Datenabgleich, Schwangerschaft
  • Voraufnahmen
  • Hand frei von Schmuck, Uhr, Bekleidung
  • Bleischutz/Gonadenschutz = < 18 Jahre
  • Kopf wegdrehen vom Strahlenfeld
Konversation wird geladen