Zehen

Großzehe dorso-plantar (a.-p.) 1. Ebene
Es wurden keine Bilder gefunden.

Technik

  • FDA: 1,05 m
  • Ausgangsformat: 12/8
  • Übertischaufnahme

Lagerung

sitzend/ liegend auf Tisch
Fuß plantar aufgestellt
(bei verkrümmten Zehen mit Zellstoff unterpolstern)

Zentralstrahl

Senkrecht auf Objektmitte

Einblendung

proximal einschließlich bis ungefähr Mitte Metatarsale
Fragestellung: im Strahl - mit einschließlich Metatarsale

Qualitätskriterien

Überlagerungsfreie Darstellung der Großzehe und ihrer Gelenke.

  • Aufnahmedaten
  • Pädiatrische Besonderheiten
  • Vorbereitung des Patienten
Aufnahmeart: ohne Raster
Belichtungsautomatik: ohne
Bildempfängerdosis: SC 200
Fokus-Detektor-Abstand: 105 cm
Brennflecknennwert: ≤1,3
Aufnahmespannung: 50 – 60 kV
Zusatzfilterung: 1 mm Al + mindestens 0,1 mm Cu
Bildempfängerdosis: SC 400
Brennflecknennwert: 0,6 (≤ 1,3)
Strahlenschutz: Bleigummiabdeckung der unmittelbar anschließenden Abschnitte des Körperstamms
  • Datenabgleich, Schwangerschaft
  • Voraufnahmen
  • Fuss frei von Schmuck, Bekleidung
  • Bleischutz/Gonadenschutz = < 18 Jahre
  • Kopf wegdrehen vom Strahlenfeld

Großzehe seitlich 2. Ebene
Es wurden keine Bilder gefunden.

Technik

  • FDA: 1,05 m
  • Ausgangsformat: 12/8
  • Übertischaufnahme

Lagerung

sitzend/ liegend auf Tisch
Fuß mit der medialen Seite aufliegend
die anderen Zehen mit Band zurückziehen

Zentralstrahl

Senkrecht auf Objektmitte

Einblendung

proximal einschließlich bis ungefähr Mitte Metatarsale
Fragestellung: im Strahl - mit einschließlich Metatarsale

Qualitätskriterien

Seitliche Darstellung der Großzehe einschließlich Großzehengrundgelenk.

  • Aufnahmedaten
  • Pädiatrische Besonderheiten
  • Vorbereitung des Patienten
Aufnahmeart: ohne Raster
Belichtungsautomatik: ohne
Bildempfängerdosis: SC 200
Fokus-Detektor-Abstand: 105 cm
Brennflecknennwert: ≤1,3
Aufnahmespannung: 50 – 60 kV
Zusatzfilterung: 1 mm Al + mindestens 0,1 mm Cu
Bildempfängerdosis: SC 400
Brennflecknennwert: 0,6 (≤ 1,3)
Strahlenschutz: Bleigummiabdeckung der unmittelbar anschließenden Abschnitte des Körperstamms
  • Datenabgleich, Schwangerschaft
  • Voraufnahmen
  • Fuss frei von Schmuck, Bekleidung
  • Bleischutz/Gonadenschutz = < 18 Jahre
  • Kopf wegdrehen vom Strahlenfeld

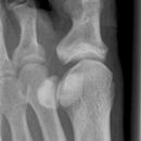
Sprinteraufn. Sesambein D1 tangential
Es wurden keine Bilder gefunden.

Technik

  • FDA: 1,05 m
  • Ausgangsformat: 10/10
  • Übertischaufnahme

Lagerung

1. Möglichkeit:

in Rückenlage
Fuß wird zum Kopf angezogen
mit einem Band werden die Zehen in Richtung Knie gezogen

2. Möglichkeit:

in Bauchlage
Fuß wird so aufgestellt, dass die Plantarseite der distalen Zehenglieder an den Bildempfänger gelehnt werden
Sprunggelenk steht im rechten Winkel
Zehen in Dorsalflexion

Zentralstrahl

Auf Höhe des Caput metatarsale I im senkrechten Strahlengang tangential zur Plantarfläche.

Einblendung

enge Einblendung nur über die Sesambein

Qualitätskriterien

Überlagerungsfreie Darstellung der Sesambeine und der Mittelfußköpfchen.

  • Aufnahmedaten
  • Pädiatrische Besonderheiten
  • Vorbereitung des Patienten
Aufnahmeart: ohne Raster
Belichtungsautomatik: ohne
Bildempfängerdosis: SC 200
Fokus-Detektor-Abstand: 105 cm
Brennflecknennwert: ≤1,3
Aufnahmespannung: 50 – 60 kV
Zusatzfilterung: 1 mm Al + mindestens 0,1 mm Cu
Bildempfängerdosis: SC 400
Brennflecknennwert: 0,6 (≤ 1,3)
Strahlenschutz: Bleigummiabdeckung der unmittelbar anschließenden Abschnitte des Körperstamms
  • Datenabgleich, Schwangerschaft
  • Voraufnahmen
  • Fuss frei von Schmuck, Bekleidung
  • Bleischutz/Gonadenschutz = < 18 Jahre
  • Kopf wegdrehen vom Strahlenfeld
Konversation wird geladen