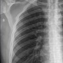
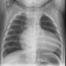
Thoraxbereich

Thorax p.-a.
Es wurden keine Bilder gefunden.

Technik

  • FDA: mindestens 1,50m - 2,50m
  • Ausgangsformat: 35/43
  • mit Raster

Lagerung

stehend am Lungenstativ bzw Rasterwand
Handrücken auf die Hüfte stützen
Ellenbogen nach ventral drücken, dadurch werden die Schulterblätter herausprojiziert

Zentralstrahl

Senkrecht auf Wirbelsäule und auf Bildempfängermitte
Oberer Rand: 3 QF über der Schulter

Anmerkung

Streng symmetrisch, Schulterblätter außerhalb der Lunge. Atemphase: maximale Inspiration. Bei Verdacht auf Pneumothorax in maximaler Expiration die Aufnahme durchführen.

Qualitätskriterien

Abgebildet müssen sein: beide Lungenflügel, PC-Winkel und Lungenspitzen. Die ersten 3-5 Rippen sollten schwach erkennbar sein, die inneren Scapularänder sollten außerhalb des Thorax liegen.

  • Aufnahmedaten
  • Pädiatrische Besonderheiten
  • Vorbereitung des Patienten
Aufnahmeart: Rasterwandgerät
Belichtungsautomatik: seitliches Messfeld
Bildempfängerdosis: SC 400
Fokus-Detektor-Abstand: 180 (150-200) cm
Brennflecknennwert: ≤1,3
Aufnahmespannung: 125 (100 – 150) kV
Expositionszeit: < 20 ms
Streustrahlenraster: r 12 (8)
Aufnahmeart: Rasterwandgerät, Thoraxstativ, Aufnahmetisch; in aufrechter Position (Hängen, Sitzen, Stehen) Bei Neugeborenen und nicht kooperierenden Patienten im Liegen. Bei kooperierenden Patienten Aufnahmen in aufrechter Position pa-, bei nicht kooperierenden ap-Richtung
Aufnahmespannung: 60 – 80 kV, ab dem 8. Lebensjahr 100 – 120 kV
Zusatzfilterung: 1 mm Al + mindestens 0,1 mm Cu
Bildempfängerdosis: Frühgeborene (bis 1000 g Gewicht): SC 400; Säuglinge, Kinder und Jugendliche: SC 800 (400)
Brennflecknennwert: 0,6 (≤ 1,3)
Expositionszeit: < 5 (10) ms
Streustrahlenraster: r 8, ohne
Belichtungsautomatik: Freie Einstellung an Hand körpergewichtsbezogener Tabellen ist bei Säuglingen und Kindern vorzuziehen. BLA nur bei grösseren Kindern (ab dem 8. Lebensjahr) und Jugendlichen mit Streustrahlenraster.
Strahlenschutz: Bleigummiabdeckung der unmittelbar an die Einblendung des Nutzstrahlungsfeldes anschliessenden Abschnitte des Körperstamms
  • Datenabgleich, Schwangerschaft
  • Voraufnahmen
  • Thorax von Kleidung und störenden Metallen frei machen
  • Gonadenschutz anlegen je nach Fragestellung = < 18 Jahre
  • Kopf wegdrehen vom Strahlenfeld

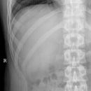
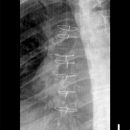
Thorax seitlich
Es wurden keine Bilder gefunden.

Technik

  • FDA: mindestens 1,50m - 2,50m
  • Ausgangsformat: 35/43
  • mit Raster

Lagerung

exakt seitlich am Stativ
Arme über dem Kopf verschränken
Achtung: Ausgleich der Kyphose (Katzenbuckel)

Zentralstrahl

Ergibt sich aus der ersten Aufnahme, seitlich einblenden.

Anmerkung

Darstellung der Sagittalebene des Thorax und der Brustorgane, anliegende Seite richtet sich nach dem Befund, ohne spezielle Angabe wird generell links anliegend geröntgt. Atemphase: maximale Inspiration.

Qualitätskriterien

Wirbelsäule rein seitlich, Sternum seitlich getroffen, komplette Darstellung der Lunge von Lungenspitze bis einschließlich Rippen-Zwerchfell-Winkel. Die Mediastinalstrukturen und retrocardialen Gefäßabschnitte sind gut differenzierbar und der Herzhinterrand scharf abgrenzbar.

  • Aufnahmedaten
  • Pädiatrische Besonderheiten
  • Vorbereitung des Patienten
Aufnahmeart: Rasterwandgerät
Belichtungsautomatik: mittleres Messfeld
Bildempfängerdosis: SC 400
Fokus-Detektor-Abstand: 180 (150-200) cm
Brennflecknennwert: ≤1,3
Aufnahmespannung: 125 (100 – 150) kV
Expositionszeit: < 40 ms
Streustrahlenraster: r 12 (8)
Aufnahmeart: Rasterwandgerät, Thoraxstativ, Aufnahmetisch; in aufrechter Position (Hängen, Sitzen, Stehen) Bei Neugeborenen und nicht kooperierenden Patienten im Liegen. Bei kooperierenden Patienten Aufnahmen in aufrechter Position pa-, bei nicht kooperierenden ap-Richtung
Aufnahmespannung: 60 – 80 kV, ab dem 8. Lebensjahr 100 – 120 kV
Zusatzfilterung: 1 mm Al + mindestens 0,1 mm Cu
Bildempfängerdosis: Frühgeborene (bis 1000 g Gewicht): SC 400; Säuglinge, Kinder und Jugendliche: SC 800 (400)
Brennflecknennwert: 0,6 (≤ 1,3)
Expositionszeit: < 5 (10) ms
Streustrahlenraster: r 8, ohne
Belichtungsautomatik: Freie Einstellung an Hand körpergewichtsbezogener Tabellen ist bei Säuglingen und Kindern vorzuziehen. BLA nur bei grösseren Kindern (ab dem 8. Lebensjahr) und Jugendlichen mit Streustrahlenraster.
Strahlenschutz: Bleigummiabdeckung der unmittelbar an die Einblendung des Nutzstrahlungsfeldes anschliessenden Abschnitte des Körperstamms
  • Datenabgleich, Schwangerschaft
  • Voraufnahmen
  • Thorax von Kleidung und störenden Metallen frei machen
  • Gonadenschutz anlegen je nach Fragestellung = < 18 Jahre
  • Kopf wegdrehen vom StrahlenfeldThorax von Kleidung und störenden Metallen frei machen, bei Männern Gonadenschutz ventral anbringen und bei Frauen dorsal.

Thorax im Hängen
Es wurden keine Bilder gefunden.

Technik

  • FDA: 1,50 m
  • Ausgangsformat: 18/25-24/30

Vorbereitung

Röntgenschale mit entsprechenden Polstern und Klettbänder auswählen und vorbereiten. Schale etwas auseinander drücken und Kind von Hilfsperson hineinlegen lassen, in Rückenlage, Kopf Richtung Aufhängung.

Fixierung

Arme über Kopf mit Schlaufen fixieren, Arme gestreckt, ggf. Kind etwas nach unten ziehen. Beine anheben und dickes Poster unter Po, flaches Polster auf Bauch und Beine. Klettbänder gut befestigen, so dass sich das Kind nicht in der Schale verdrehen kann.

Lagerung

Kind in pa-Richtung an der Vorrichtung aufhängen. Röntgenplatte in Höhe einstellen, oberer Rand ca. 2 cm über Schulter. Gonadenschutz in entsprechender Höhe positionieren, Messkammer an der rechten oder linken Scapulaspitze platzieren.

Zentralstrahl

Senkrecht auf Sternummitte. Querstrahl in gedachter Höhe Mammillen. Lichtvisier cranial leicht Schulter überstrahlt.

Qualitätskriterien

Abgebildet müssen sein: beide Lungenflügel, PC-Winkel und Lungenspitzen. Die ersten 3-5 Rippen sollten schwach erkennbar sein, die inneren Scapularänder sollten außerhalb des Thorax liegen.

  • Aufnahmedaten Pädiatrisch
  • Vorbereitung des Patienten
Aufnahmeart: Rasterwandgerät, Thoraxstativ, Aufnahmetisch; in aufrechter Position (Hängen, Sitzen, Stehen) Bei Neugeborenen und nicht kooperierenden Patienten im Liegen. Bei kooperierenden Patienten Aufnahmen in aufrechter Position pa-, bei nicht kooperierenden ap-Richtung
Aufnahmespannung: 60 – 80 kV, ab dem 8. Lebensjahr 100 – 120 kV
Zusatzfilterung: 1 mm Al + mindestens 0,1 mm Cu
Bildempfängerdosis: Frühgeborene (bis 1000 g Gewicht): SC 400; Säuglinge, Kinder und Jugendliche: SC 800 (400)
Brennflecknennwert: 0,6 (≤ 1,3)
Expositionszeit: < 5 (10) ms
Streustrahlenraster: r 8, ohne
Belichtungsautomatik: Freie Einstellung an Hand körpergewichtsbezogener Tabellen ist bei Säuglingen und Kindern vorzuziehen. BLA nur bei grösseren Kindern (ab dem 8. Lebensjahr) und Jugendlichen mit Streustrahlenraster.
Strahlenschutz: Bleigummiabdeckung der unmittelbar an die Einblendung des Nutzstrahlungsfeldes anschliessenden Abschnitte des Körperstamms
Thorax von Kleidung und störenden Metallen frei machen, bei Männern Gonadenschutz ventral anbringen und bei Frauen dorsal.

Sternum p.-a.
Es wurden keine Bilder gefunden.

Technik

  • FDA: 1,15 m
  • Ausgangsformat: 20/30 hoch
  • mit Raster

Lagerung

Bauchlage auf dem Tisch oder zum Wandstativ
rechter Arm nach oben abgewinkelt, linker Arm körpernah
rechte Scapula nach außen schieben
Rechte Seite des Patienten unterpolstern oder soweit von der Platte wegdrehen, dass das Sternum zwischen Wirbelsäule und re. Scapula liegt

Zentralstrahl


Senkrecht auf Mitte des Freiraumes zwischen BWS und Scapularand, bzw. 2-3 QF neben der Wirbelsäule
Oberer Rand: 2-3 QF oberhalb des getasteten Jugulums (evtl. in Höhe Schulter)

Einblenden

in der Breite stärker Einblenden

Qualitätskriterien

Das Sternum soll sich in den rechten Hemithorax projizieren, es darf weder von der Wirbelsäule (bei zu geringer) noch vom Schulterblatt (bei zu starker Anhebung) überlagert sein.

  • Aufnahmedaten
  • Pädiatrische Besonderheiten
  • Vorbereitung des Patienten
Aufnahmeart: Rastertisch oder Rasterwandgerät
Belichtungsautomatik: mittleres Messfeld
Bildempfängerdosis: SC 400
Fokus-Detektor-Abstand: 115 cm
Brennflecknennwert: ≤1,3
Aufnahmespannung: 60 – 75 kV
Expositionszeit: < 100 ms
Streustrahlenraster: r 8 (12)
Aufnahmeart: Aufnahmetisch, Rastertisch
Aufnahmespannung: 60 – 70 kV, ggf. ohne Raster
Zusatzfilterung: 1 mm Al + mindestens 0,1 mm Cu
Bildempfängerdosis: SC 800 (400)
Brennflecknennwert: 0,6 (≤ 1,3)
Streustrahlenraster: r 8, bei Aufnahmen der Rippen und des Sternums bei Säuglingen über 6 Monaten, Kindern und Jugendlichen
Belichtungsautomatik: ohne
Strahlenschutz: Bleigummiabdeckung der unmittelbar anschließenden Abschnitte des Körperstamms
  • Datenabgleich, Schwangerschaft
  • Voraufnahmen
  • Thorax von Kleidung und störenden Metallen frei machen
  • Gonadenschutz anlegen je nach Fragestellung = < 18 Jahre
  • Kopf wegdrehen vom Strahlenfeld

Sternum lateral
Es wurden keine Bilder gefunden.

Technik

  • FDA: 1,15 m
  • Ausgangsformat: 24x30
  • Stativ - mit Raster

Indikation

Fraktur

Lagerung

stehend (exakt) seitlich - links anliegend
Arme hinter dem Rücken verschränken- Brust nach vorne
Kopf anheben
(Tiefenblende anpassen)

Zentralstrahl

Querstrahl: mittig über Objekt (von Jugulum bis
Proc. xiphoideus)
Längsstrahl: 1 QF vor OA Kopf

Einblendung

2 QF Licht über Jugulum und unter
Proc. xiphoideus
lateral 2 QF vor Sternum (auf Atmung achten)

Bemerkung

Atemstillstand, Galionsfigur

Qualitätskriterien

Streng seitliche und vollständige Abbildung von Manubrium sterni bis Proc. xiphoideus.

  • Aufnahmedaten
  • Pädiatrische Besonderheiten
  • Vorbereitung des Patienten
Aufnahmeart: Rastertisch oder Rasterwandgerät
Belichtungsautomatik: mittleres Messfeld
Bildempfängerdosis: SC 400
Fokus-Detektor-Abstand: 115 cm
Brennflecknennwert: ≤1,3
Aufnahmespannung: 60 – 75 kV
Expositionszeit: < 100 ms
Streustrahlenraster: r 8 (12)
Aufnahmeart: Aufnahmetisch, Rastertisch
Aufnahmespannung: 60 – 70 kV, ggf. ohne Raster
Zusatzfilterung: 1 mm Al + mindestens 0,1 mm Cu
Bildempfängerdosis: SC 800 (400)
Brennflecknennwert: 0,6 (≤ 1,3)
Streustrahlenraster: r 8, bei Aufnahmen der Rippen und des Sternums bei Säuglingen über 6 Monaten, Kindern und Jugendlichen
Belichtungsautomatik: ohne
Strahlenschutz: Bleigummiabdeckung der unmittelbar anschließenden Abschnitte des Körperstamms
  • Datenabgleich, Schwangerschaft
  • Voraufnahmen
  • Thorax von Kleidung und störenden Metallen frei machen
  • Gonadenschutz anlegen je nach Fragestellung = < 18 Jahre
  • Kopf wegdrehen vom Strahlenfeld

Obere Rippen (I-VII) a.-p.
Es wurden keine Bilder gefunden.

Technik

  • FDA: 1,15 m
  • Ausgangsformat: 24/30 hoch
  • mit Raster

Indikation

Fraktur, Tumor

Lagerung

aufrecht stehend am Stativ od. liegend
Arm aufzunehmender Seite abduzieren
Kopf zur Gegenseite drehen

Zentralstrahl

Querstrahl: ergibt sich durch Indikation
Längsstrahl: Mitte Rippenbogen

Einblendung

volle Länge
lateral: 1-2 QF Hautgrenze, Licht über Sternum

Bemerkung

Atemphase: Atemstillstand in Inspiration.

Qualitätskriterien

Der obere Anteil der Rippen muss vollständig abgebildet sein.

  • Aufnahmedaten
  • Pädiatrische Besonderheiten
  • Vorbereitung des Patienten
Aufnahmeart: Rastertisch oder Rasterwandgerät
Belichtungsautomatik: mittleres Messfeld
Bildempfängerdosis: SC 400
Fokus-Detektor-Abstand: 115 cm
Brennflecknennwert: ≤1,3
Aufnahmespannung: 70 – 80 kV
Expositionszeit: < 100 ms
Streustrahlenraster: r 8 (12)
Aufnahmeart: Aufnahmetisch, Rastertisch
Aufnahmespannung: 60 – 70 kV, ggf. ohne Raster
Zusatzfilterung: 1 mm Al + mindestens 0,1 mm Cu
Bildempfängerdosis: SC 800 (400)
Brennflecknennwert: 0,6 (≤ 1,3)
Streustrahlenraster: r 8, bei Aufnahmen der Rippen und des Sternums bei Säuglingen über 6 Monaten, Kindern und Jugendlichen
Belichtungsautomatik: ohne
Strahlenschutz: Bleigummiabdeckung der unmittelbar anschließenden Abschnitte des Körperstamms
  • Datenabgleich, Schwangerschaft
  • Voraufnahmen
  • Thorax von Kleidung und störenden Metallen frei machen
  • Gonadenschutz anlegen je nach Fragestellung = < 18 Jahre
  • Kopf wegdrehen vom Strahlenfeld

Untere Rippen (VIII- XII) a.-p.
Es wurden keine Bilder gefunden.

Technik

  • FDA: 1,15 m
  • Ausgangsformat: 24/30 hoch
  • mit Raster

Indikation

Fraktur, Tumor

Lagerung

aufrecht stehend am Stativ od. liegend
Arm aufzunehmender Seite abduzieren
Kopf zur Gegenseite drehen

Zentralstrahl

Querstrahl: ergibt sich durch Indikation
Längsstrahl: Mitte Rippenbogen

Einblendung

volle Länge
lateral: 1-2 QF Hautgrenze, Licht über Sternum

Bemerkung

Atemphase: Atemstillstand in Exspiration.

Qualitätskriterien

Der untere Anteil der Rippen muss vollständig abgebildet sein.

  • Aufnahmedaten
  • Pädiatrische Besonderheiten
  • Vorbereitung des Patienten
Aufnahmeart: Rastertisch oder Rasterwandgerät
Belichtungsautomatik: mittleres Messfeld
Bildempfängerdosis: SC 400
Fokus-Detektor-Abstand: 115 cm
Brennflecknennwert: ≤1,3
Aufnahmespannung: 70 – 80 kV
Expositionszeit: < 100 ms
Streustrahlenraster: r 8 (12)
Aufnahmeart: Aufnahmetisch, Rastertisch
Aufnahmespannung: 60 – 70 kV, ggf. ohne Raster
Zusatzfilterung: 1 mm Al + mindestens 0,1 mm Cu
Bildempfängerdosis: SC 800 (400)
Brennflecknennwert: 0,6 (≤ 1,3)
Streustrahlenraster: r 8, bei Aufnahmen der Rippen und des Sternums bei Säuglingen über 6 Monaten, Kindern und Jugendlichen
Belichtungsautomatik: ohne
Strahlenschutz: Bleigummiabdeckung der unmittelbar anschließenden Abschnitte des Körperstamms
  • Datenabgleich, Schwangerschaft
  • Voraufnahmen
  • Thorax von Kleidung und störenden Metallen frei machen
  • Gonadenschutz anlegen je nach Fragestellung = < 18 Jahre
  • Kopf wegdrehen vom Strahlenfeld

Hemithorax a.-p.
Es wurden keine Bilder gefunden.

Technik

  • FDA: 1,15 m
  • Ausgangsformat: 35/43 hoch
  • mit Raster

Indikation

Fraktur, Tumor

Lagerung

aufrecht stehend am Stativ od. liegend
Arm aufzunehmender Seite abduzieren
Kopf zur Gegenseite drehen

Zentralstrahl

Querstrahl: ergibt sich durch Indikation
Längsstrahl: Mitte Rippenbogen

Einblendung

volle Länge
lateral: 1-2 QF Hautgrenze, Licht über Sternum

Bemerkung

1.-7. Rippe: Inspiration, oberes Licht Prominenz
8.-12. Rippe: Exspiration, 1 QF oberhalb Beckenkamm

Qualitätskriterien

Die Rippen müssen vollständig abgebildet sein.

  • Aufnahmedaten
  • Pädiatrische Besonderheiten
  • Vorbereitung des Patienten
Aufnahmeart: Rastertisch oder Rasterwandgerät
Belichtungsautomatik: mittleres Messfeld
Bildempfängerdosis: SC 400
Fokus-Detektor-Abstand: 115 cm
Brennflecknennwert: ≤1,3
Aufnahmespannung: 70 – 80 kV
Expositionszeit: < 100 ms
Streustrahlenraster: r 8 (12)
Aufnahmeart: Aufnahmetisch, Rastertisch
Aufnahmespannung: 60 – 70 kV, ggf. ohne Raster
Zusatzfilterung: 1 mm Al + mindestens 0,1 mm Cu
Bildempfängerdosis: SC 800 (400)
Brennflecknennwert: 0,6 (≤ 1,3)
Streustrahlenraster: r 8, bei Aufnahmen der Rippen und des Sternums bei Säuglingen über 6 Monaten, Kindern und Jugendlichen
Belichtungsautomatik: ohne
Strahlenschutz: Bleigummiabdeckung der unmittelbar anschließenden Abschnitte des Körperstamms
  • Datenabgleich, Schwangerschaft
  • Voraufnahmen
  • Thorax ggf. Abdomen von Kleidung und störenden Metallen frei machen
  • Gonadenschutz anlegen je nach Fragestellung = < 18 Jahre
  • Kopf wegdrehen vom Strahlenfeld

Hemithorax schräg
Es wurden keine Bilder gefunden.

Technik

  • FDA: 1,15 m
  • Ausgangsformat: 35/43 hoch
  • mit Raster

Indikation

Fraktur, Tumor

Lagerung

aufrecht stehend oder liegend
nichtaufzunehmende Seite um ca. 30° anheben
Arm der aufzunehmenden Seite abduzieren
Kopf zur Gegenseite drehen

Zentralstrahl

Querstrahl: ergibt sich durch Indikation
Längsstrahl: Sternum (im Bereich Proc. xiphoideus)

Einblendung

volle Länge
lateral: 1-2 QF Hautgrenze

Bemerkung

1.-7. Rippe: Inspiration, oberes Licht Prominenz
8.-12. Rippe: Exspiration, 1 QF oberhalb Beckenkamm

Qualitätskriterien

Die Rippen müssen vollständig abgebildet sein.

  • Aufnahmedaten
  • Pädiatrische Besonderheiten
  • Vorbereitung des Patienten
Aufnahmeart: Rastertisch oder Rasterwandgerät
Belichtungsautomatik: mittleres Messfeld
Bildempfängerdosis: SC 400
Fokus-Detektor-Abstand: 115 cm
Brennflecknennwert: ≤1,3
Aufnahmespannung: 70 – 80 kV
Expositionszeit: < 100 ms
Streustrahlenraster: r 8 (12)
Aufnahmeart: Aufnahmetisch, Rastertisch
Aufnahmespannung: 60 – 70 kV, ggf. ohne Raster
Zusatzfilterung: 1 mm Al + mindestens 0,1 mm Cu
Bildempfängerdosis: SC 800 (400)
Brennflecknennwert: 0,6 (≤ 1,3)
Streustrahlenraster: r 8, bei Aufnahmen der Rippen und des Sternums bei Säuglingen über 6 Monaten, Kindern und Jugendlichen
Belichtungsautomatik: ohne
Strahlenschutz: Bleigummiabdeckung der unmittelbar anschließenden Abschnitte des Körperstamms
  • Datenabgleich, Schwangerschaft
  • Voraufnahmen
  • Thorax ggf. Abdomen von Kleidung und störenden Metallen frei machen
  • Gonadenschutz anlegen je nach Fragestellung = < 18 Jahre
  • Kopf wegdrehen vom Strahlenfeld
Konversation wird geladen