Sprunggelenk

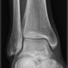
Oberes Sprunggelenk a.-p. (1. Ebene)
Es wurden keine Bilder gefunden.

index.png

Technik

  • FDA: 1,05 m
  • Ausgangsformat: 18/24
  • Übertischaufnahme

Indikation

Fraktur, Bandverletzungen, Luxation

Lagerung

sitzend/ liegend auf Tisch
gestreckte Bein nach innen rotieren, sodass Malleolus medialis und lateralis auf einer Höhe sind
(ca. 15-20° - Zeigefingertest)
Fuß anziehen, möglichst senkrecht zum Unterschenkel

Zentralstrahl

senkrecht
Querzentrierung: Gelenkspalt
Längszentrierung auf Objektmitte

Einblendung

proximal 5 QF ab ZS, lateral 1 QF

Qualitätskriterien

Frei einsehbares oberes Sprunggelenk, insbesondere im Bereich von Innen- und Außenknöchel und der tibiofibularen Syndesmose.

  • Aufnahmedaten
  • Pädiatrische Besonderheiten
  • Vorbereitung des Patienten
Aufnahmeart: ohne Raster
Belichtungsautomatik: ohne
Bildempfängerdosis: SC 200
Fokus-Detektor-Abstand: 105 cm
Brennflecknennwert: ≤1,3
Aufnahmespannung: 50 – 60 kV
Zusatzfilterung: 1 mm Al + mindestens 0,1 mm Cu
Bildempfängerdosis: SC 400
Brennflecknennwert: 0,6 (≤ 1,3)
Strahlenschutz: Bleigummiabdeckung der unmittelbar anschließenden Abschnitte des Körperstamms
  • Datenabgleich, Schwangerschaft
  • Voraufnahmen
  • Fuss / OSG frei von Schmuck, Bekleidung
  • Bleischutz/Gonadenschutz = < 18 Jahre
  • Kopf wegdrehen vom Strahlenfeld

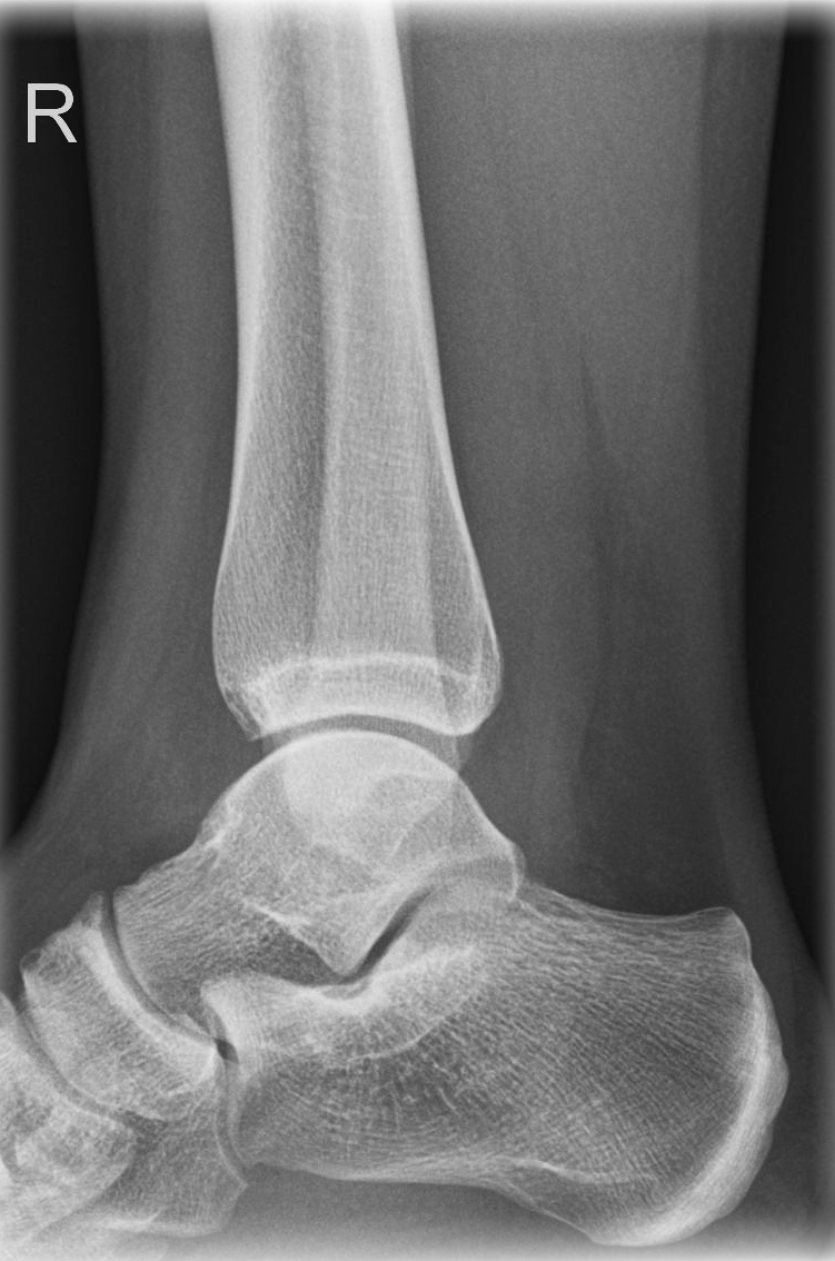
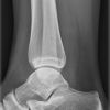
Oberes Sprunggelenk seitlich (2. Ebene)
Es wurden keine Bilder gefunden.

index.png

Technik

  • FDA: 1,05 m
  • Ausgangsformat: 18/24
  • Übertischaufnahme

Indikation

Fraktur, Bandverletzungen, Luxation

Lagerung

liegend auf Tisch
Bein liegt auf der aufzunehmenden Seite
Bein gestreckt, Fuß cranial anziehen (ca. 90° Winkel zum US)
Malleolus medialis und lateralis stehen senkrecht zueinander (C-Griff)

Zentralstrahl

senkrecht
Querzentrierung: Gelenkspalt
Längszentrierung: mittig über Malleolus medialis

Einblendung

proximal 5 QF, lateral 1 QF hinter Ferse

Qualitätskriterien

Oberes und unteres Sprunggelenk rein seitlich abgebildet mit Darstellung auch des Chopartgelenkes und des Calcaneus (Fersenbein). Planparallele Darstellung der Schienbeingelenkfläche und der Talusrolle (keine Doppelkonturen). Die Fibula projiziert sich in das mittlere bis hintere Drittel der Schienbeingelenkfläche.

  • Aufnahmedaten
  • Pädiatrische Besonderheiten
  • Vorbereitung des Patienten
Aufnahmeart: ohne Raster
Belichtungsautomatik: ohne
Bildempfängerdosis: SC 200
Fokus-Detektor-Abstand: 105 cm
Brennflecknennwert: ≤1,3
Aufnahmespannung: 50 – 60 kV
Zusatzfilterung: 1 mm Al + mindestens 0,1 mm Cu
Bildempfängerdosis: SC 400
Brennflecknennwert: 0,6 (≤ 1,3)
Strahlenschutz: Bleigummiabdeckung der unmittelbar anschließenden Abschnitte des Körperstamms
  • Datenabgleich, Schwangerschaft
  • Voraufnahmen
  • Fuss / OSG frei von Schmuck, Bekleidung
  • Bleischutz/Gonadenschutz = < 18 Jahre
  • Kopf wegdrehen vom Strahlenfeld

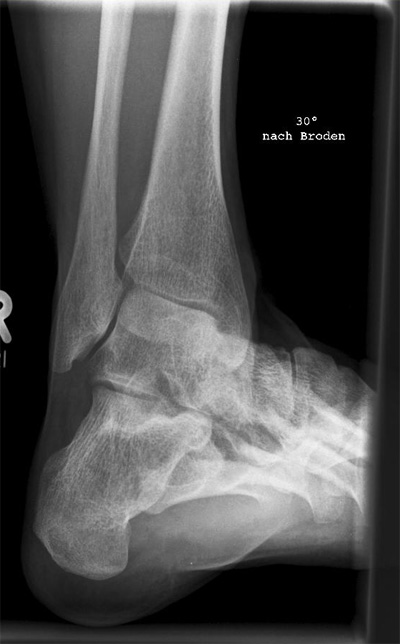
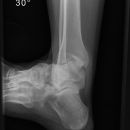
Broden I Außenrotation
Es wurden keine Bilder gefunden.

Technik

  • FDA: 1,05 m
  • Ausgangsformat: 18/24
  • Röhrenkippung
  • Übertischaufnahme

Lagerung

sitzend/ liegend auf Tisch
Bein ausgestreckt und 45° nach außen (lateral) gegen ein 45° Keil drehen lassen
Fuß anziehen

Zentralstrahl

15° caudo-craniale Richtung auf den Malleolus lateralis bzw. 1QF unterhalb und 1QF medial vom Malleolus medialis.

2. Variante wäre statt 15° Röhrenkippung mit 30°.

Einblendung

proximal 5 QF ab ZS, lateral 1 QF

Qualitätskriterien

Gute Einsicht in den mittleren Abschnitt des hinteren unteren Sprunggelenkabschnitt durch unterschiedlichen Projektionen. Überlagerungsfreie Darstellung des vorderen Abschnittes des unteren Sprunggelenkes.

  • Aufnahmedaten
  • Pädiatrische Besonderheiten
  • Vorbereitung des Patienten
Aufnahmeart: ohne Raster
Belichtungsautomatik: ohne
Bildempfängerdosis: SC 200
Fokus-Detektor-Abstand: 105 cm
Brennflecknennwert: ≤1,3
Aufnahmespannung: 50 – 60 kV
Zusatzfilterung: 1 mm Al + mindestens 0,1 mm Cu
Bildempfängerdosis: SC 400
Brennflecknennwert: 0,6 (≤ 1,3)
Strahlenschutz: Bleigummiabdeckung der unmittelbar anschließenden Abschnitte des Körperstamms
  • Datenabgleich, Schwangerschaft
  • Voraufnahmen
  • Fuss / OSG frei von Schmuck, Bekleidung
  • Bleischutz/Gonadenschutz = < 18 Jahre
  • Kopf wegdrehen vom Strahlenfeld

Broden II Innenrotation
Es wurden keine Bilder gefunden.

Technik

  • FDA: 1,05 m
  • Ausgangsformat: 18/24
  • Röhrenkippung
  • Übertischaufnahme

Lagerung

sitzend/ liegend auf Tisch
Bein gestreckt und nach innen um 45° rotiert
Unterschenkel und Fußsohle bilden einen Winkel von 90°

Zentralstrahl

Zentralstrahl verläuft je nach angefordeter Gradzahl 10°, 20°, 30°, und oder 40° caudo-cranial auf das untere Sprunggelenk.

Einblendung

proximal 5 QF ab ZS, lateral 1 QF

Qualitätskriterien

Gute Einsicht in den hinteren unteren Sprunggelenkabschnitt durch unterschiedliche Projektionen. Überlagerungsfreie Darstellung des Außenknöchels und der tibiofibularen Syndesmose.

  • Aufnahmedaten
  • Pädiatrische Besonderheiten
  • Vorbereitung des Patienten
Aufnahmeart: ohne Raster
Belichtungsautomatik: ohne
Bildempfängerdosis: SC 200
Fokus-Detektor-Abstand: 105 cm
Brennflecknennwert: ≤1,3
Aufnahmespannung: 50 – 60 kV
Zusatzfilterung: 1 mm Al + mindestens 0,1 mm Cu
Bildempfängerdosis: SC 400
Brennflecknennwert: 0,6 (≤ 1,3)
Strahlenschutz: Bleigummiabdeckung der unmittelbar anschließenden Abschnitte des Körperstamms
  • Datenabgleich, Schwangerschaft
  • Voraufnahmen
  • Fuss / OSG frei von Schmuck, Bekleidung
  • Bleischutz/Gonadenschutz = < 18 Jahre
  • Kopf wegdrehen vom Strahlenfeld

 

Saltzman-View gerade
Es wurden keine Bilder gefunden.

Technik

  • FDA: 1,05 m
  • Ausgangsformat: 24/30 hoch
  • Röhrenkippung
  • Übertischaufnahme

Indikation

Beurteilung der subtalaren Gelenkachse des Calcaneus und bei Rückfußfehlstellung.

Lagerung

Mit dem Gesicht zum Stativ bzw. Kassette
erhöht auf einem Gestell mit Plexiglas.
Röhre 20° cranio-caudal kippen und Kassette bzw. Stativ senkrecht zur Röhre stellen

Zentralstrahl

20° cranio-caudal auf das Sprunggelenk

Einblendung

Aufblendung nach oben hin nicht zu knapp (es muss viel von der Tibia abgebildet werden).

Qualitätskriterien

Tibia, OSG, Calcaneus muss vollständig für die Winkelmessung abgebildet sein.

  • Aufnahmedaten
  • Pädiatrische Besonderheiten
  • Vorbereitung des Patienten
Aufnahmeart: ohne Raster
Belichtungsautomatik: ohne
Bildempfängerdosis: SC 200
Fokus-Detektor-Abstand: 105 cm
Brennflecknennwert: ≤1,3
Aufnahmespannung: 50 – 60 kV
Zusatzfilterung: 1 mm Al + mindestens 0,1 mm Cu
Bildempfängerdosis: SC 400
Brennflecknennwert: 0,6 (≤ 1,3)
Strahlenschutz: Bleigummiabdeckung der unmittelbar anschließenden Abschnitte des Körperstamms
  • Datenabgleich, Schwangerschaft
  • Voraufnahmen
  • Fuss / OSG frei von Schmuck, Bekleidung
  • Bleischutz/Gonadenschutz = < 18 Jahre
  • Kopf wegdrehen vom Strahlenfeld

Saltzman-View 20° Innenrotation
Es wurden keine Bilder gefunden.

Technik

  • FDA: 1,05 m
  • Ausgangsformat: 24/30 hoch
  • Röhrenkippung
  • Übertischaufnahme

Indikation

Beurteilung der subtalaren Gelenkachse des Calcaneus und bei Rückfußfehlstellung.

Lagerung

Mit dem Gesicht zum Stativ bzw. Kassette
erhöht auf einem Gestell mit Plexiglas.
Röhre 20° cranio-caudal kippen und Kassette bzw. Stativ senkrecht zur Röhre stellen
Fuß um 20° nach innen drehen.

Zentralstrahl

20° cranio-caudal auf das Sprunggelenk

Einblendung

Aufblendung nach oben hin nicht zu knapp (es muss viel von der Tibia abgebildet werden).

Qualitätskriterien

Tibia, OSG, Calcaneus muss vollständig für die Winkelmessung abgebildet sein.

  • Aufnahmedaten
  • Pädiatrische Besonderheiten
  • Vorbereitung des Patienten
Aufnahmeart: ohne Raster
Belichtungsautomatik: ohne
Bildempfängerdosis: SC 200
Fokus-Detektor-Abstand: 105 cm
Brennflecknennwert: ≤1,3
Aufnahmespannung: 50 – 60 kV
Zusatzfilterung: 1 mm Al + mindestens 0,1 mm Cu
Bildempfängerdosis: SC 400
Brennflecknennwert: 0,6 (≤ 1,3)
Strahlenschutz: Bleigummiabdeckung der unmittelbar anschließenden Abschnitte des Körperstamms
  • Datenabgleich, Schwangerschaft
  • Voraufnahmen
  • Fuss / OSG frei von Schmuck, Bekleidung
  • Bleischutz/Gonadenschutz = < 18 Jahre
  • Kopf wegdrehen vom Strahlenfeld
Konversation wird geladen