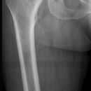
Oberschenkel

Oberschenkel a.p.
Es wurden keine Bilder gefunden.

Frakturverlauf und Dislokation meist problemlos erkennbar.

Beurteilungskriterien

Diaphysenfraktur

  • Knie und Hüftgelenk mitbeurteilen! (2-5% mit ipsilateralen Schenkelhalsfrakturen.)
  • Vor Marknagelung Rö gesundes Beine (vgl. Länge)
  • Postop: Abbildung der Implantatenden. Marknägel sollten das proximale Ende des Trochanter major nicht überragen. Schrauben und Platten sollten in einer Ebene exakt seitlich dargestellt sein. Achsengerechte Stellung der Hauptfragmente.

Cave: Signifikante Beinlängendifferenzen (>2cm) und Rotationfehler (> 20 °)

distale Femurfrakturen

  • Interkondyläre Frakturen => Schrägaufnahme hilfreich
  • Kondyläre Frakturen: Frakturnachweis schwierig => CT/MRT

TraumaRad

Diaphysenfrakturen: direkte Gewalteinwirkung durch Rasanztraumen (Cave v.a. in Kombi mit proximale Femurfraktur). Einteilung nach AO.

Kinder

Bei stark dislozierten Frakturen ist Aufnahme nur in einer Ebene erforderlich. Achsenabweichungen bis Winkel von 10° tolerabel. Rotationsfehler bis 20° und Parallelverschiebungen > halbe Schaftbreite.

Oberschenkel seitlich
Es wurden keine Bilder gefunden.

Indikation

Diaphysenfraktur, distale Femurfraktur

Kinder

Bei stark dislozierten Frakturen ist Aufnahme nur in einer Ebene erforderlich.

Konversation wird geladen