Oberschenkel

Proximaler Oberschenkel a.-p. (1. Ebene)
Es wurden keine Bilder gefunden.

Technik

  • FDA: 1,15 m
  • Ausgangsformat: 20/43
  • mit Raster

Indikation

Fraktur, Z.n. Osteosynthesematerial

Lagerung

Rückenlage
aufzunehmendes Bein gestreckt und innenrotiert

Zentralstrahl

ZS senkrecht auf Objekt- und Detektormitte

Einblendung

Länge voll ab Spina iliaca anterior superior, lateral Hautgrenze auf Höhe Trochanter major

Bemerkung

beide Beine innenrotieren

Qualitätskriterien

Bei Erwachsenen soll das Hüftgelenk a.p. orthograd mit abgebildet sein.

  • Aufnahmedaten
  • Pädiatrische Besonderheiten
  • Vorbereitung des Patienten
Aufnahmeart: Rastertisch oder Rasterwandgerät
Belichtungsautomatik: mittleres Messfeld
Bildempfängerdosis: SC 400
Fokus-Detektor-Abstand: 115 cm
Brennflecknennwert: ≤1,3
Aufnahmespannung: 70 – 85 kV
Expositionszeit: < 100 ms
Streustrahlenraster: r 8 (12)
Aufnahmeart: Aufnahmetisch, Rastertisch nur bei größeren Kinder
Aufnahmespannung: 70 – 75 kV, bei Neugeborenen und Säuglingen 60 – 65 kV
Zusatzfilterung: 1 mm Al + mindestens 0,1 mm Cu
Bildempfängerdosis: SC 800 (400)
Brennflecknennwert: 0,6 (≤ 1,3)
Streustrahlenraster: r 8 nur bei Hüftgelenk von Kindern über 8 Jahren und Jugendlichen
Belichtungsautomatik: nur wenn Streustrahlenraster verwendet wird
Strahlenschutz: bei Knaben immer Hodenkapsel; bei Mädchen Ovarienabdeckung oder indirekter Ovarienschutz durch Bleieinschub in die Tiefenblende, wenn diagnostisch möglich
  • Datenabgleich, Schwangerschaft
  • Voraufnahmen
  • Becken und Oberschenkel von Kleidung und störenden Metallen frei machen
  • Gonadenschutz anlegen je nach Fragestellung = < 18 Jahre
  • Kopf wegdrehen vom Strahlenfeld

Distaler Oberschenkel a.-p (1. Ebene)
Es wurden keine Bilder gefunden.

Technik

  • FDA: 1,15 m
  • Ausgangsformat: 20/43
  • mit Raster

Indikation

Fraktur, Z. n. Osteosynthesematerial

Lagerung

Rückenlage
aufzunehmendes Bein gestreckt
Bein gestreckt und leicht nach innenrotiert, sodass die Epicondylen auf einer Höhe sind (Patella mittelständig)

Zentralstrahl

ZS senkrecht auf Objekt und auf Detektormitte

Einblendung

Länge voll, unteres Licht 2 QF unterhalb der Patella, lateral Hautgrenze

Qualitätskriterien

Bei distaler Aufnahme muss das Kniegelenk orthograd getroffen werden.

  • Aufnahmedaten
  • Pädiatrische Besonderheiten
  • Vorbereitung des Patienten
Aufnahmeart: Rastertisch oder Rasterwandgerät
Belichtungsautomatik: mittleres Messfeld
Bildempfängerdosis: SC 400
Fokus-Detektor-Abstand: 115 cm
Brennflecknennwert: ≤1,3
Aufnahmespannung: 65 – 75 kV
Expositionszeit: < 100 ms
Streustrahlenraster: r 8 (12)
Aufnahmeart: Aufnahmetisch, Rastertisch nur bei größeren Kinder
Aufnahmespannung: 70 – 75 kV, bei Neugeborenen und Säuglingen 60 – 65 kV
Zusatzfilterung: 1 mm Al + mindestens 0,1 mm Cu
Bildempfängerdosis: SC 800 (400)
Brennflecknennwert: 0,6 (≤ 1,3)
Streustrahlenraster: r 8 nur bei Hüftgelenk von Kindern über 8 Jahren und Jugendlichen
Belichtungsautomatik: nur wenn Streustrahlenraster verwendet wird
Strahlenschutz: bei Knaben immer Hodenkapsel; bei Mädchen Ovarienabdeckung oder indirekter Ovarienschutz durch Bleieinschub in die Tiefenblende, wenn diagnostisch möglich
  • Datenabgleich, Schwangerschaft
  • Voraufnahmen
  • Becken und Oberschenkel von Kleidung und störenden Metallen frei machen
  • Gonadenschutz anlegen je nach Fragestellung = < 18 Jahre
  • Kopf wegdrehen vom Strahlenfeld

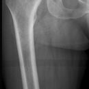
Proximaler Oberschenkel lateral (2. Ebene)
Es wurden keine Bilder gefunden.

Technik

  • FDA: 1,15 m
  • Ausgangsformat: 20/43
  • mit Raster

Indikation

Fraktur, Z.n. Osteosynthesematerial

Lagerung

Seitenlage
aufzunehmende Bein liegt mit Außenseite auf
in der Hüfte möglichst gestreckt, Knie angewinkelt
gesunde Bein aufgestellt oder gestreckt je nach Beweglichkeit

Zentralstrahl

ZS senkrecht auf Objekt- und Detektormitte

Einblendung

Länge voll ab Spina iliaca anterior superior, lateral Hautgrenze

Anmerkung

Bei fehlender Möglichkeit zur exakten Seitenlage, bei Frakturen oder Erguss – Aufnahme im horizontalen Strahlengang mit angestellter Kassette (siehe seitl. Knie).

Qualitätskriterien

Oberschenkel wird exakt lateral abgebildet, Hüftgelenk gut einsehbar, Schenkelhals stark verkürzt und durch den Trochanter major verdeckt.

  • Aufnahmedaten
  • Pädiatrische Besonderheiten
  • Vorbereitung des Patienten
Aufnahmeart: Rastertisch oder Rasterwandgerät
Belichtungsautomatik: mittleres Messfeld
Bildempfängerdosis: SC 400
Fokus-Detektor-Abstand: 115 cm
Brennflecknennwert: ≤1,3
Aufnahmespannung: 70 – 85 kV
Expositionszeit: < 100 ms
Streustrahlenraster: r 8 (12)
Aufnahmeart: Aufnahmetisch, Rastertisch nur bei größeren Kinder
Aufnahmespannung: 70 – 75 kV, bei Neugeborenen und Säuglingen 60 – 65 kV
Zusatzfilterung: 1 mm Al + mindestens 0,1 mm Cu
Bildempfängerdosis: SC 800 (400)
Brennflecknennwert: 0,6 (≤ 1,3)
Streustrahlenraster: r 8 nur bei Hüftgelenk von Kindern über 8 Jahren und Jugendlichen
Belichtungsautomatik: nur wenn Streustrahlenraster verwendet wird
Strahlenschutz: bei Knaben immer Hodenkapsel; bei Mädchen Ovarienabdeckung oder indirekter Ovarienschutz durch Bleieinschub in die Tiefenblende, wenn diagnostisch möglich
  • Datenabgleich, Schwangerschaft
  • Voraufnahmen
  • Becken und Oberschenkel von Kleidung und störenden Metallen frei machen
  • Gonadenschutz anlegen je nach Fragestellung = < 18 Jahre
  • Kopf wegdrehen vom Strahlenfeld

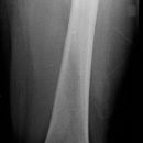
Distaler Oberschenkel lateral (2. Ebene)
Es wurden keine Bilder gefunden.

Technik

  • FDA: 1,15 m
  • Ausgangsformat: 20/43
  • mit Raster

Indikation

Fraktur, Z.n. Osteosynthesematerial

Lagerung

liegend - streng seitlich (Becken und Schulter senkrecht)
Hüfte möglichst gestreckt
Knie gebeugt, OS -Außenseite liegt auf
Unterschenkel unterpolstern das Malleolus medialis ungefähr auf gleicher Höhe wie Epicondylus medialis kommt (US nicht abhängt)
Epicondylen senkrecht übereinanderliegend (Sichtkontrolle durch tasten der Patellaränder)
gesunde Bein überschlagen - unterpolstern!

Zentralstrahl

ZS senkrecht auf Objekt- und Detektormitte
Längs:  Epicondylus medialis femoris

Einblendung

Länge voll, unteres Licht 2 QF unterhalb der Patella, lateral Hautgrenze

Qualitätskriterien

Distaler Oberschenkel mit guter Darstellung des Kniegelenkspalt.

  • Aufnahmedaten
  • Pädiatrische Besonderheiten
  • Vorbereitung des Patienten
Aufnahmeart: Rastertisch oder Rasterwandgerät
Belichtungsautomatik: mittleres Messfeld
Bildempfängerdosis: SC 400
Fokus-Detektor-Abstand: 115 cm
Brennflecknennwert: ≤1,3
Aufnahmespannung: 65 – 75 kV
Expositionszeit: < 100 ms
Streustrahlenraster: r 8 (12)
Aufnahmeart: Aufnahmetisch, Rastertisch nur bei größeren Kinder
Aufnahmespannung: 70 – 75 kV, bei Neugeborenen und Säuglingen 60 – 65 kV
Zusatzfilterung: 1 mm Al + mindestens 0,1 mm Cu
Bildempfängerdosis: SC 800 (400)
Brennflecknennwert: 0,6 (≤ 1,3)
Streustrahlenraster: r 8 nur bei Hüftgelenk von Kindern über 8 Jahren und Jugendlichen
Belichtungsautomatik: nur wenn Streustrahlenraster verwendet wird
Strahlenschutz: bei Knaben immer Hodenkapsel; bei Mädchen Ovarienabdeckung oder indirekter Ovarienschutz durch Bleieinschub in die Tiefenblende, wenn diagnostisch möglich
  • Datenabgleich, Schwangerschaft
  • Voraufnahmen
  • Becken und Oberschenkel von Kleidung und störenden Metallen frei machen
  • Gonadenschutz anlegen je nach Fragestellung = < 18 Jahre
  • Kopf wegdrehen vom Strahlenfeld
Konversation wird geladen