Finger

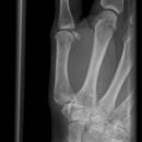
Daumen (D I) 1. Ebene
Es wurden keine Bilder gefunden.

Technik

  • FDA: 1,05 m
  • Ausgangsformat: 18/24
  • Übertischaufnahme

Lagerung

sitzend - seitlich zum Tisch

1. Möglichkeit - d.-v.

abgewinkelter Unterarm liegt auf
die Hand steht senkrecht auf Kleinfingerseite
Daumen parallel u. überlagerungsfrei zum Bildempfänger stellen

2. Möglichkeit - v.-d.

Arm ausgestreckt Handinnenfläche zeigt nach oben
dabei Daumen parallel zum Bildempfänger drehen

3. Möglichkeit

Arm gewinkelt, in Kopfhöhe, Hand liegt dorsalwärts mit 45° auf der Kassette, D1 ist somit parallel zur Kassette (als Bettaufnahme oder am Stativ).

Zentralstrahl

senkrecht auf Objektmitte (Befund beachten)

Einblendung

inkl. Grundgelenk oder Daumensattelgelenk

Anmerkung

Einstellung 2: bei Fixateuren, Spickung oder Gips.

Qualitätskriterien

D1 soll vom Sattelgelenk bis zur Daumenkuppe abgebildet sein.

  • Aufnahmedaten
  • Pädiatrische Besonderheiten
  • Vorbereitung des Patienten
Aufnahmeart: ohne Raster
Belichtungsautomatik: ohne
Bildempfängerdosis: SC 200
Fokus-Detektor-Abstand: 105 cm
Brennflecknennwert: 0,6 (≤1,3)
Aufnahmespannung: 50 – 60 kV
Aufnahmeart: Aufnahmetisch
Bildempfängerdosis: SC 400
Belichtungsautomatik: ohne
Strahlenschutz: Bleigummiabdeckung der unmittelbar anschließenden Abschnitte des Körperstamms
  • Datenabgleich, Schwangerschaft
  • Voraufnahmen
  • Hand frei von Schmuck, Uhr, Bekleidung
  • Bleischutz/Gonadenschutz = < 18 Jahre
  • Kopf wegdrehen vom Strahlenfeld

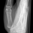
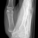
Daumen lateral (2. Ebene)
Es wurden keine Bilder gefunden.

Technik

  • FDA: 1,05 m
  • Ausgangsformat: 18/24
  • Übertischaufnahme

Lagerung

sitzend - seitlich zum Tisch
abgewinkelte Unterarm und Hand liegen auf
Finger 2-5 werden leicht aufgestellt
Daumen senkrecht zum Bildempfänger

Zentralstrahl

senkrecht auf Objektmitte

Einblendung

inkl. Grundgelenk oder Daumensattelgelenk

Qualitätskriterien

D1 soll vom Sattelgelenk bis zur Daumenkuppe rein seitlich abgebildet sein.

  • Aufnahmedaten
  • Pädiatrische Besonderheiten
  • Vorbereitung des Patienten
Aufnahmeart: ohne Raster
Belichtungsautomatik: ohne
Bildempfängerdosis: SC 200
Fokus-Detektor-Abstand: 105 cm
Brennflecknennwert: 0,6 (≤1,3)
Aufnahmespannung: 50 – 60 kV
Aufnahmeart: Aufnahmetisch
Bildempfängerdosis: SC 400
Belichtungsautomatik: ohne
Strahlenschutz: Bleigummiabdeckung der unmittelbar anschließenden Abschnitte des Körperstamms
  • Datenabgleich, Schwangerschaft
  • Voraufnahmen
  • Hand frei von Schmuck, Uhr, Bekleidung
  • Bleischutz/Gonadenschutz = < 18 Jahre
  • Kopf wegdrehen vom Strahlenfeld

Finger d.-v. (D II-V) 1. Ebene
Es wurden keine Bilder gefunden.

Technik

  • FDA: 1,05 m
  • Ausgangsformat: 18/24
  • Übertischaufnahme

Indikation

Frakturen, Luxation, Osteosynthesematerial

Lagerung

sitzend - seitlich zum Tisch
abgewinkelte Unterarm und Hand liegen auf

Zentralstrahl

senkrecht auf Objektmitte

Einblendung

einschließlich Grundgelenk

Anmerkung

fragestellungsabhängige Einblendung
z. B. ganzer Strahl einschließlich Os metacarpale
Nummerierung des Fingers im Rö.-Bild z. B. D 2

Qualitätskriterien

Vollständige Abbildung des Fingers vom Grundgelenk bis zur Fingerkuppe mit überlagerungsfreiem Einblick in die Fingergelenke.

  • Aufnahmedaten
  • Pädiatrische Besonderheiten
  • Vorbereitung des Patienten
Aufnahmeart: ohne Raster
Belichtungsautomatik: ohne
Bildempfängerdosis: SC 200
Fokus-Detektor-Abstand: 105 cm
Brennflecknennwert: 0,6 (≤1,3)
Aufnahmespannung: 50 – 60 kV
Aufnahmeart: Aufnahmetisch
Bildempfängerdosis: SC 400
Belichtungsautomatik: ohne
Strahlenschutz: Bleigummiabdeckung der unmittelbar anschließenden Abschnitte des Körperstamms
  • Datenabgleich, Schwangerschaft
  • Voraufnahmen
  • Hand frei von Schmuck, Uhr, Bekleidung
  • Bleischutz/Gonadenschutz = < 18 Jahre
  • Kopf wegdrehen vom Strahlenfeld

Finger lateral (D II –V) 2.Ebene
Es wurden keine Bilder gefunden.

Technik

  • FDA: 1,05 m
  • Ausgangsformat: 18/24
  • Übertischaufnahme

Indikation

Frakturen, Luxation

Lagerung

sitzend - seitlich zum Tisch
zu untersuchender Finger streng seitlich
parallel zum Bildempfänger

Zentralstrahl

senkrecht auf Objektmitte

Einblendung

einschließlich Grundgelenk

Anmerkung

D II-III Strahlengang ulnoradial
D IV-V Strahlengang radioulnar

Qualitätskriterien

Vollständige Abbildung des Fingers vom Grundgelenk bis zur Fingerkuppe mit überlagerungsfreiem Einblick in die Fingergelenke. Auf den Seitenaufnahmen kommen ulnare und laterale Kondylen zur Deckung, Einblick in die Fingergrundgelenke D4-D5 gelingt aus anatomischen Gründen meist nicht.

  • Aufnahmedaten
  • Pädiatrische Besonderheiten
  • Vorbereitung des Patienten
Aufnahmeart: ohne Raster
Belichtungsautomatik: ohne
Bildempfängerdosis: SC 200
Fokus-Detektor-Abstand: 105 cm
Brennflecknennwert: 0,6 (≤1,3)
Aufnahmespannung: 50 – 60 kV
Aufnahmeart: Aufnahmetisch
Bildempfängerdosis: SC 400
Belichtungsautomatik: ohne
Strahlenschutz: Bleigummiabdeckung der unmittelbar anschließenden Abschnitte des Körperstamms
  • Datenabgleich, Schwangerschaft
  • Voraufnahmen
  • Hand frei von Schmuck, Uhr, Bekleidung
  • Bleischutz/Gonadenschutz = < 18 Jahre
  • Kopf wegdrehen vom Strahlenfeld

Billing und Gedda; Daumensattelgelenk seitlich
Es wurden keine Bilder gefunden.

Technik

  • FDA: 1,05 m
  • Ausgangsformat: 18/24
  • Röhrenkippung 15°
  • Übertischaufnahme

Lagerung

Hand liegt d.v. auf
Finger 2-5 werden 15° bis 30° angehoben
Daumen liegt exakt seitlich dem Detektor an

Zentralstrahl

15° von distal nach proximal direkt auf das Gelenk.

Einblendung

distal maximal Daumengrundgelenk

Qualitätskriterien

Einblick auf das CMC-Gelenk (Carpometacarpal-Gelenk).

  • Aufnahmedaten
  • Pädiatrische Besonderheiten
  • Vorbereitung des Patienten
Aufnahmeart: ohne Raster
Belichtungsautomatik: ohne
Bildempfängerdosis: SC 200
Fokus-Detektor-Abstand: 105 cm
Brennflecknennwert: 0,6 (≤1,3)
Aufnahmespannung: 50 – 60 kV
Aufnahmeart: Aufnahmetisch
Bildempfängerdosis: SC 400
Belichtungsautomatik: ohne
Strahlenschutz: Bleigummiabdeckung der unmittelbar anschließenden Abschnitte des Körperstamms
  • Datenabgleich, Schwangerschaft
  • Voraufnahmen
  • Hand frei von Schmuck, Uhr, Bekleidung
  • Bleischutz/Gonadenschutz = < 18 Jahre
  • Kopf wegdrehen vom Strahlenfeld

Daumensattelgelenk spezial
Es wurden keine Bilder gefunden.

Technik

  • FDA: 1,05 m
  • Ausgangsformat: 18/24
  • Röhrenkippung 15°
  • Übertischaufnahme

Lagerung

Lagerung wie Daumen (D I) 1. Ebene einschließlich Daumensattelgelenk
Kleinfinger darf Daumensattelgelenk nicht überlagern, d.h. Finger 2-5 schräg nach außen nehmen

Zentralstrahl

15° von proximal nach distal direkt auf das Gelenk. Das Gelenk stellt sich somit frei dar.

Qualitätskriterien

Freie Darstellung des Daumensattelgelenkes.

  • Aufnahmedaten
  • Pädiatrische Besonderheiten
  • Vorbereitung des Patienten
Aufnahmeart: ohne Raster
Belichtungsautomatik: ohne
Bildempfängerdosis: SC 200
Fokus-Detektor-Abstand: 105 cm
Brennflecknennwert: 0,6 (≤1,3)
Aufnahmespannung: 50 – 60 kV
Aufnahmeart: Aufnahmetisch
Bildempfängerdosis: SC 400
Belichtungsautomatik: ohne
Strahlenschutz: Bleigummiabdeckung der unmittelbar anschließenden Abschnitte des Körperstamms
  • Datenabgleich, Schwangerschaft
  • Voraufnahmen
  • Hand frei von Schmuck, Uhr, Bekleidung
  • Bleischutz/Gonadenschutz = < 18 Jahre
  • Kopf wegdrehen vom Strahlenfeld

Daumen unter Belastung spezial
Es wurden keine Bilder gefunden.

Technik

  • FDA: 1,05 m
  • Ausgangsformat: 24/30 quer
  • Übertischaufnahme

Lagerung

Vorbereitung: Zuvor eine 10er/20er Spritze nehmen den Kolben entfernen und den Spritzenanfang abschneiden, so dass beide Öffnungen offen sind.
Nun werden beide Daumen in die Öffnungen gesteckt und soweit abgespreizt, dass eine Belastung in den Gelenken auftritt. Die Gelenke müssen frei einsehbar sein, d.h. Daumen wie für eine a.p. Aufnahme drehen.

Zentralstrahl

Senkrecht auf Objektmitte und Detektor.

Anmerkung

Diese Aufnahme kann sowohl im Vergleich als auch Einzeln erfolgen, d.h. für jeden Daumen wird eine Aufnahme angefertigt. Nach den Richtlinien sind gehaltene Aufnahmen nicht mehr erlaubt, deshalb soll der Patient diese selber machen wie er es toleriert. Cave: Belastungsaufnahmen sind nur dann zulässig, wenn eine Fraktur ausgeschlossen ist.

Qualitätskriterien

Seitenvergleichbare, orthograde Abbildung der Daumensattelgelenke, bei Instabilität Dokumentation einer Subluxation.

  • Aufnahmedaten
  • Pädiatrische Besonderheiten
  • Vorbereitung des Patienten
Aufnahmeart: ohne Raster
Belichtungsautomatik: ohne
Bildempfängerdosis: SC 200
Fokus-Detektor-Abstand: 105 cm
Brennflecknennwert: 0,6 (≤1,3)
Aufnahmespannung: 50 – 60 kV
Aufnahmeart: Aufnahmetisch
Bildempfängerdosis: SC 400
Belichtungsautomatik: ohne
Strahlenschutz: Bleigummiabdeckung der unmittelbar anschließenden Abschnitte des Körperstamms
  • Datenabgleich, Schwangerschaft
  • Voraufnahmen
  • Hand frei von Schmuck, Uhr, Bekleidung
  • Bleischutz/Gonadenschutz = < 18 Jahre
  • Kopf wegdrehen vom Strahlenfeld
Konversation wird geladen