Clavicula

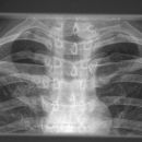
Panoramaaufnahme
Es wurden keine Bilder gefunden.

Technik

  • FDA: 1,15 m
  • Ausgangsformat: 24/30 2x
  • mit Raster
  • Gewichte jeweils ~ 5kg

Lagerung

Mit dem Rücken am Stativ
Arme hängen nach unten und werden, je nach Anforderung, mit Gewichten belastet
Der Patient darf die Gewichte nicht aktiv halten, sondern sie werden durch Manschetten am Handgelenk befestigt
Es dürfen die Schulter nicht gehoben werden
Schultern immer hängen lassen

Zentralstrahl

Senkrecht auf Jugulum bei Gesamtaufnahme

oder auf eine Seite zentrieren und das für die andere Seite ebenfalls

Bemerkung

Bei einseitiger Belichtung müssen insgesamt zwei Aufnahme unter ständiger Belastung erfolgen.

Qualitätskriterien

Überlagerungsfreie und (besonders bei Fragestellung Verletzung) in der Projektion gut seitenvergleichbare Abbildung der Acromioclaviculargelenke.

  • Aufnahmedaten
  • Pädiatrische Besonderheiten
  • Vorbereitung des Patienten
Aufnahmeart: Rasterwandgerät
Belichtungsautomatik: seitliches Messfeld
Bildempfängerdosis: SC 400
Fokus-Detektor-Abstand: 115 cm
Brennflecknennwert: ≤1,3
Aufnahmespannung: 65 – 75 kV
Expositionszeit: < 100 ms
Streustrahlenraster: r 8 (12)
Aufnahmespannung: 60 – 70 kV,ggf. ohne Raster
Zusatzfilterung: 1 mm Al + mindestens 0,1 mm Cu
Bildempfängerdosis: SC 800
Brennflecknennwert: 0,6 (≤ 1,3)
Streustrahlenraster: r 8, bei Aufnahmen der Rippen und des Sternums bei Säuglingen über 6 Monaten, Kindern und Jugendlichen
Belichtungsautomatik: ohne
Strahlenschutz: Bleigummiabdeckung der unmittelbar anschließenden Abschnitte des Körperstamms
  • Datenabgleich, Schwangerschaft
  • Voraufnahmen
  • Schulter / Oberarm frei von Schmuck, Bekleidung
  • Bleischutz/Gonadenschutz = < 18 Jahre
  • Kopf wegdrehen vom Strahlenfeld

Clavicula a.-p. (1. Ebene)
Es wurden keine Bilder gefunden.

Technik

  • FDA: 1,15 m
  • Ausgangsformat: 18/24
  • mit Raster

Indikation

Fraktur, Bandverletzungen, Osteosynthesematerial

Lagerung

sitzend/ stehend am Rasterwandstativ
Hand ruht auf Bauch,
ggf. zu untersuchende Seite 10° anheben

Zentralstrahl

Querstrahl: auf oder leicht unter Mitte Clavicula
Längsstrahl: Mitte Clavicula

Einblendung

oberes Licht 2 QF über Schulter
Lateral: AC- und SC-Gelenk im Strahlenfeld

Bemerkung

auch im p.-a. Strahlengang möglich

Qualitätskriterien

Darstellung der Clavicula mit freier Projektion des AC-Gelenkes und Sterno-Clavicula-Gelenkes, d.h. die Clavicula muss in ihrer gesamten Länge abgebildet sein. Der mediane Anteil wird vom Thorax überlagert.

  • Aufnahmedaten
  • Pädiatrische Besonderheiten
  • Vorbereitung des Patienten
Aufnahmeart: Rasterwandgerät
Belichtungsautomatik: mittleres Messfeld, ohne bei schräg angestellter Kassette
Bildempfängerdosis: SC 400
Fokus-Detektor-Abstand: 115 cm
Brennflecknennwert: ≤1,3
Aufnahmespannung: 65 – 75 kV
Expositionszeit: < 100 ms
Streustrahlenraster: r 8 (12)
Aufnahmespannung: 60 – 70 kV,ggf. ohne Raster
Zusatzfilterung: 1 mm Al + mindestens 0,1 mm Cu
Bildempfängerdosis: SC 800
Brennflecknennwert: 0,6 (≤ 1,3)
Streustrahlenraster: r 8, bei Aufnahmen der Rippen und des Sternums bei Säuglingen über 6 Monaten, Kindern und Jugendlichen
Belichtungsautomatik: ohne
Strahlenschutz: Bleigummiabdeckung der unmittelbar anschließenden Abschnitte des Körperstamms
  • Datenabgleich, Schwangerschaft
  • Voraufnahmen
  • Schulter / Oberarm frei von Schmuck, Bekleidung
  • Bleischutz/Gonadenschutz = < 18 Jahre
  • Kopf wegdrehen vom Strahlenfeld

Clavicula tangential (2. Ebene)
Es wurden keine Bilder gefunden.

Technik

  • FDA: 1,15 m
  • Röhrenkippung: 30° caudo-cranial
  • Ausgangsformat: 18/24
  • mit Raster

Indikation

Fraktur, Osteosynthesematerial

Lagerung

sitzend/ stehend aufrecht am Rasterwandstativ
Arme entlang des Körpers oder Hand auf Bauch ablegen
Kopf zur Gegenseite drehen

Zentralstrahl

30° caudo-cranial gekippt

Querstrahl: 2 QF unter Clavicula-Mitte
Längsstrahl: Clavicula-Mitte

Einblendung

cranial 2 QF über Schulter-Haut-Grenze
lateral: AC- und SC-Gelenk im Licht

Bemerkung

Aufnahme auch im Liegen möglich bei 45° caudo-cranial

Exakte Einstellung schwierig, besonders bei stark vorgewölbtem Brustkorb. Optimale Röntgenaufnahme: Clavicula in ganzer Länge abgebildet, einschließlich des sternalen und acromionalen Endes, Mittelstück frei von Rippen.

Qualitätskriterien

Vollständige unverkürzte und im mittleren und lateralen Anteil überlagerungsfreie Abbildung des Schlüsselbeins.

  • Aufnahmedaten
  • Pädiatrische Besonderheiten
  • Vorbereitung des Patienten
Aufnahmeart: Rastertisch oder Rasterwandgerät
Belichtungsautomatik: mittleres Messfeld, ohne bei schräg angestellter Kassette
Bildempfängerdosis: SC 400
Fokus-Detektor-Abstand: 115 cm
Brennflecknennwert: ≤1,3
Aufnahmespannung: 65 – 75 kV
Expositionszeit: < 100 ms
Streustrahlenraster: r 8 (12)
Aufnahmespannung: 60 – 70 kV,ggf. ohne Raster
Zusatzfilterung: 1 mm Al + mindestens 0,1 mm Cu
Bildempfängerdosis: SC 800
Brennflecknennwert: 0,6 (≤ 1,3)
Streustrahlenraster: r 8, bei Aufnahmen der Rippen und des Sternums bei Säuglingen über 6 Monaten, Kindern und Jugendlichen
Belichtungsautomatik: ohne
Strahlenschutz: Bleigummiabdeckung der unmittelbar anschließenden Abschnitte des Körperstamms
  • Datenabgleich, Schwangerschaft
  • Voraufnahmen
  • Schulter / Oberarm frei von Schmuck, Bekleidung
  • Bleischutz/Gonadenschutz = < 18 Jahre
  • Kopf wegdrehen vom Strahlenfeld

Sterno-Clavicular-Gelenk nach Zimmer (doppelt)
Es wurden keine Bilder gefunden.

Technik

  • FDA: 1,15 m
  • Ausgangsformat: 18/24 quer
  • mit Raster

Lagerung

Bauchlage
Arme am Körper entlang
Kassette mit 15° Keil unterlegen, so dass das Sternum (Jugulum) in der Mitte planar aufliegt
Kopf über Kassettenrand hängen lassen

Zentralstrahl

1. Halbaufnahme:
Senkrecht, d.h. 15° caudo-cranial, auf eines der beiden Gelenke, z.b. 2 Querfinger rechts der WS (kleine Einblendung).
2. Halbaufnahme:
Ebenfalls senkrecht (15°) auf das andere Gelenk, d.h. 2 Querfinger links der WS.

Atemphase: Atemstillsand.

Anmerkung

Diese Aufnahme ist nicht mit digital Technik möglich.

Patient über absolute Ruhighaltung und über Ablauf der Aufnahmetechnik informieren. Achtung: Röhre bzw. Tisch darf nur quer verstellt werden, beide Aufnahmen werden auf eine Kassette.
In manchen Fällen bzw. Kliniken reicht es auch aus, wenn beide Gelenke in einem Strahlengang dargestellt werden. (Senkrecht auf Objekt, d.h. 15° caudo-cranial auf BWS und Filmmitte.)

Qualitätskriterien

Möglichst überlagerungsfreie Darstellung beider Sternoclaviculargelenke.

  • Aufnahmedaten
  • Pädiatrische Besonderheiten
  • Vorbereitung des Patienten
Aufnahmeart: Rastertisch oder Rasterwandgerät
Belichtungsautomatik: mittleres Messfeld
Bildempfängerdosis: SC 400
Fokus-Detektor-Abstand: 115 cm
Brennflecknennwert: ≤1,3
Aufnahmespannung: 65 – 75 kV
Expositionszeit: < 100 ms
Streustrahlenraster: r 8 (12)
Aufnahmespannung: 60 – 70 kV,ggf. ohne Raster
Zusatzfilterung: 1 mm Al + mindestens 0,1 mm Cu
Bildempfängerdosis: SC 800
Brennflecknennwert: 0,6 (≤ 1,3)
Streustrahlenraster: r 8, bei Aufnahmen der Rippen und des Sternums bei Säuglingen über 6 Monaten, Kindern und Jugendlichen
Belichtungsautomatik: ohne
Strahlenschutz: Bleigummiabdeckung der unmittelbar anschließenden Abschnitte des Körperstamms
  • Datenabgleich, Schwangerschaft
  • Voraufnahmen
  • Schulter / Oberarm frei von Schmuck, Bekleidung
  • Bleischutz/Gonadenschutz = < 18 Jahre
  • Kopf wegdrehen vom Strahlenfeld

Sterno-Clavicular-Gelenk p.a. (30°)
Es wurden keine Bilder gefunden.

Technik

  • FDA: 1,15 m
  • Ausgangsformat: 18/24 quer
  • mit Raster

Lagerung

ventral (p.-a.) am Wandstativ
aufzunehmende Seite wird 30° dorsalwärts gedreht und Arm an der Hüfte abgestützt
(Scapula lateral herausziehen lassen)

Zentralstrahl

Detektorfernes Sterno-Clavicular-Gelenk soll genau in der Mitte der mittleren Messkammer sein - vom Objekt bedeckt.

Atemphase: Atemstillsand.

Kriterium

Keine exakte p.-a. Darstellung, Vergrößerung (da Abstand Objekt-Detektor größer), beide Gelenke müssen geröntgt werden!

Qualitätskriterien

Möglichst überlagerungsfreie Darstellung, das Sternoclaviculargelenke wird in den Thorax projiziert.

  • Aufnahmedaten
  • Pädiatrische Besonderheiten
  • Vorbereitung des Patienten
Aufnahmeart: Rastertisch oder Rasterwandgerät
Belichtungsautomatik: mittleres Messfeld
Bildempfängerdosis: SC 400
Fokus-Detektor-Abstand: 115 cm
Brennflecknennwert: ≤1,3
Aufnahmespannung: 65 – 75 kV
Expositionszeit: < 100 ms
Streustrahlenraster: r 8 (12)
Aufnahmespannung: 60 – 70 kV,ggf. ohne Raster
Zusatzfilterung: 1 mm Al + mindestens 0,1 mm Cu
Bildempfängerdosis: SC 800
Brennflecknennwert: 0,6 (≤ 1,3)
Streustrahlenraster: r 8, bei Aufnahmen der Rippen und des Sternums bei Säuglingen über 6 Monaten, Kindern und Jugendlichen
Belichtungsautomatik: ohne
Strahlenschutz: Bleigummiabdeckung der unmittelbar anschließenden Abschnitte des Körperstamms
  • Datenabgleich, Schwangerschaft
  • Voraufnahmen
  • Schulter / Oberarm frei von Schmuck, Bekleidung
  • Bleischutz/Gonadenschutz = < 18 Jahre
  • Kopf wegdrehen vom Strahlenfeld

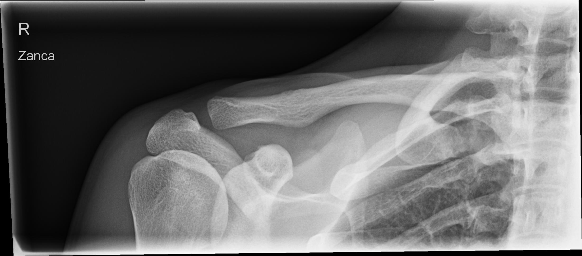
AC-Gelenk nach Zanca
Es wurden keine Bilder gefunden.

Technik

  • FDA: 1,15 m
  • Ausgangsformat: 18/24 quer
  • mit Raster
  • Röhrenkippung: 30°- 45° caudo-cranial

Lagerung

Rückenlage am Stativ oder liegend auf dem Tisch
Kopf zur gesunden Seite drehen
Arme parallel am Körper

Zentralstrahl

30-45° caudo-cranial gekippt, auf Höhe des Acromioclaviculargelenk.

Bemerkung

Atemphase: Der Patient hält den Atem an.

Qualitätskriterien

Gut beurteilbare Darstellung des ganzen Schlüsselbeins und des Acromioclaviculargelenkes.

  • Aufnahmedaten
  • Pädiatrische Besonderheiten
  • Vorbereitung des Patienten
Aufnahmeart: Rastertisch oder Rasterwandgerät
Belichtungsautomatik: mittleres Messfeld
Bildempfängerdosis: SC 400
Fokus-Detektor-Abstand: 115 cm
Brennflecknennwert: ≤1,3
Aufnahmespannung: 65 – 75 kV
Expositionszeit: < 100 ms
Streustrahlenraster: r 8 (12)
Aufnahmespannung: 60 – 70 kV,ggf. ohne Raster
Zusatzfilterung: 1 mm Al + mindestens 0,1 mm Cu
Bildempfängerdosis: SC 800
Brennflecknennwert: 0,6 (≤ 1,3)
Streustrahlenraster: r 8, bei Aufnahmen der Rippen und des Sternums bei Säuglingen über 6 Monaten, Kindern und Jugendlichen
Belichtungsautomatik: ohne
Strahlenschutz: Bleigummiabdeckung der unmittelbar anschließenden Abschnitte des Körperstamms
  • Datenabgleich, Schwangerschaft
  • Voraufnahmen
  • Schulter / Oberarm frei von Schmuck, Bekleidung
  • Bleischutz/Gonadenschutz = < 18 Jahre
  • Kopf wegdrehen vom Strahlenfeld
Konversation wird geladen