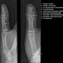
Finger

Daumen (D1) a.p. & seitlich
Es wurden keine Bilder gefunden.

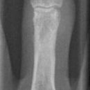
Typische Verletzungen am 1.Strahl

„Skidaumen“: Ulnarseitiger, knöcherner Kollateralbandausriß am Metacarpophalangealgelenk; auch ohne knöchernen Ausriss als alleinige Kollateralbandläsion möglich (nur MR-tomographisch verifizierbar)!!!
Bennet-Luxationsfraktur (2): intratraartikuläre Abrissfraktur der ulnovolaren Basis des Metacarpale I mit Dislokation des Schaftfragmentes nach proximal (Zug des M.abductor pollicis longus)
Rolando-Fraktur (2): intratraartikuläre T- oder Y- förmige Fraktur der Basis des MC I und Dislokation des Schaftfragmentes nach proximal (vgl. oben)
Winterstein-Fraktur: extraartikuläre basisnahe Schrägfraktur

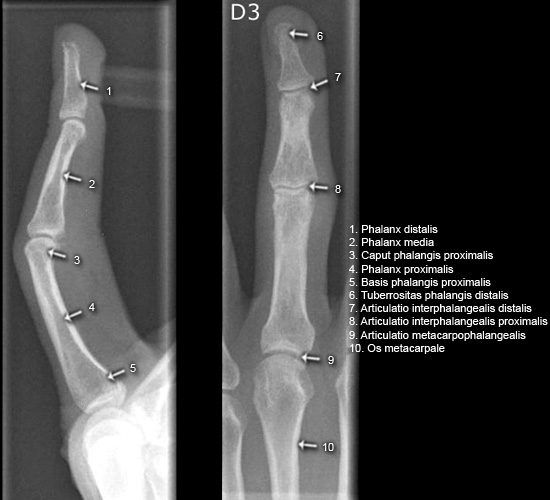
Finger D2-D5 a.p. & seitlich
Es wurden keine Bilder gefunden.

Beurteilungskriterien

  • Gelenkspaltweite 1 - 2 mm, harmonische Gelenkkonturen
  • Yune-Weichteilindex: Breite distale Weichteilkuppe/knöcherne
  • Deutliche Formvarianz des Endgliedes

Cave:

  • Metacarpale und phalangeale Rotationsfehlstellungen sind konventionell röntgenologisch schwer zu diagnostizieren und zu quantifizieren -> klinischer Befund führend (Fingerstrahl kreuzt bei Beugung im Grundgelenk den benachbarten Strahl), evtl. CT hilfreich.
  • knöcherne Kollateralbandverletzungen/ Sehnenausrisse: Nach kleinsten gelenknahen Fragmenten fahnden.

Beispiele

distaler Strecksehnenausriss: -> fehlende Endgliedstreckung

Proximaler Strecksehnenausriss: -> „Knopflochdeformität“ (Beugung im PIP und Überstreckung im DIP)