Finger

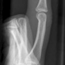
Bennett Fraktur

Es wurden keine Bilder gefunden.

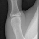
Bennett Fraktur mit geringer Dislokation

Es wurden keine Bilder gefunden.

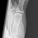
Mittelgliedbasisfraktur

Es wurden keine Bilder gefunden.

Endgelenksluxation Daumen

Es wurden keine Bilder gefunden.

Grundgliedköpfchenfraktur

Es wurden keine Bilder gefunden.

TEP Daumensattelgelenk

Es wurden keine Bilder gefunden.