Wirbelsäule

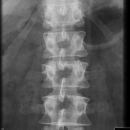
Deckplatte LWK 2 ohne Hinterkante

Es wurden keine Bilder gefunden.

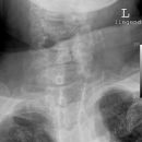
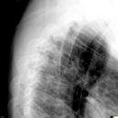
BWK 5 Fraktur

Es wurden keine Bilder gefunden.

Densfraktur

Es wurden keine Bilder gefunden.

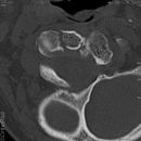
Foramen arcuale bzw Kimmerle Anomalie

Es wurden keine Bilder gefunden.

Sakroiliitis bei Bechterew

Es wurden keine Bilder gefunden.