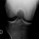
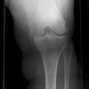
Kniegelenk

Kniegelenk a.p.
Es wurden keine Bilder gefunden.

Kassette/Abstand

Format 18/24 hoch oder 24/30 (2) / FFA 1,05m

Lagerung

Patient in Rückenlage, Bein gestreckt und leicht nach innen gedreht, so dass die Kondylen parallel zur Tischebene liegen, bei schlankem Bein leichte Unterpolsterung des Gelenkes.

Zentralstrahl

Senkrecht auf Gelenkspalt, d.h. unterer Patellarand.

Bemerkung

Häufiger Fehler: Gelenkspalt nicht frei projiziert, durch zu starke Außenrotation bzw. zu starke Innenrotation.

Qualitätskriterien

Kniegelenkspalt muss frei abgebildet sein, Tibiaplateau muss strichförmig dargestellt werden, medial leicht oval, Kniescheibe mittelständig.

  • Aufnahmedaten
  • Pädiatrische Besonderheiten
  • Vorbereitung des Patienten
Aufnahmeart: ohne Raster
Belichtungsautomatik: ohne
Bildempfängerdosis: SC 400
Fokus-Detektor-Abstand: 105 cm (115cm)
Brennflecknennwert: ≤1,3
Aufnahmespannung: 60 – 75 kV
Zusatzfilterung: 1 mm Al + mindestens 0,1 mm Cu
Bildempfängerdosis: SC 800
Brennflecknennwert: 0,6 (≤ 1,3)
Strahlenschutz: Bleigummiabdeckung der unmittelbar anschließenden Abschnitte des Körperstamms
Knie/Unterschenkel von Kleidung frei machen, Gonadenschutz anlegen.

Kniegelenk seitlich
Es wurden keine Bilder gefunden.

Kassette/Abstand

Format 18/24 hoch oder 24/30 (2) / FFA 1,05m

Lagerung

Patient in Seitenlage, Bein mit der Außenseite aufliegend, Knie leicht gebeugt, OSG mit Keil unterpolstern, so dass der Unterschenkel horizontal und parallel zum Film verläuft, Patella senkrecht , das gesunde Bein verläuft gesteckt dahinter.

Zentralstrahl

Senkrecht auf Gelenkspalt und Filmmitte.

Bemerkung

Ergussaufnahme: mit seitlich angestellter Kassette und horizontalem Strahlengang.

Qualitätskriterien

Deckungsgleiche Darstellung der Femurkondylen. Freier Durchblick durch das Femoropatellargelenk.

  • Aufnahmedaten
  • Pädiatrische Besonderheiten
  • Vorbereitung des Patienten
Aufnahmeart: ohne Raster
Belichtungsautomatik: ohne
Bildempfängerdosis: SC 400
Fokus-Detektor-Abstand: 105 cm (115cm)
Brennflecknennwert: ≤1,3
Aufnahmespannung: 60 – 75 kV
Zusatzfilterung: 1 mm Al + mindestens 0,1 mm Cu
Bildempfängerdosis: SC 800
Brennflecknennwert: 0,6 (≤ 1,3)
Strahlenschutz: Bleigummiabdeckung der unmittelbar anschließenden Abschnitte des Körperstamms
Knie/Unterschenkel von Kleidung frei machen, Gonadenschutz anlegen.

Tunnelaufnahme nach Frik
Es wurden keine Bilder gefunden.

Kassette/Abstand

Format 18/24 / FFA 1,05m

Lagerung

Patient in Rückenlage, Schuhe ausziehen, Kniegelenk mit einem rechteckigem Holzklotz, einem 45° Keil und dazwischen die Kassette, unterpolstern (Sandwich-Technik).

Zentralstrahl

Röhre parallel zum Unterschenkel auf unteren Patellarand zielend. Achtung Kassettenmitte beachten.

Bemerkung

Freier Einblick in die Fossa intercondylaris.

Qualitätskriterien

Freier Einblick in die Fossa intercondylaris, überlagerungsfreie Darstellung der Femurkondylen und der Eminentia intercondylaris.

  • Aufnahmedaten
  • Pädiatrische Besonderheiten
  • Vorbereitung des Patienten
Aufnahmeart: ohne Raster
Belichtungsautomatik: ohne
Bildempfängerdosis: SC 400
Fokus-Detektor-Abstand: 105 cm (115cm)
Brennflecknennwert: ≤1,3
Aufnahmespannung: 60 – 75 kV
Zusatzfilterung: 1 mm Al + mindestens 0,1 mm Cu
Bildempfängerdosis: SC 800
Brennflecknennwert: 0,6 (≤ 1,3)
Strahlenschutz: Bleigummiabdeckung der unmittelbar anschließenden Abschnitte des Körperstamms
Knie/Unterschenkel von Kleidung frei machen, Gonadenschutz anlegen.

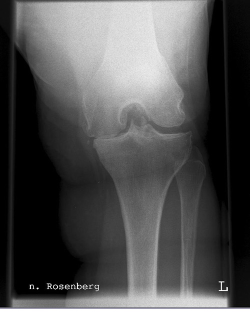
Rosenbergaufnahme
Es wurden keine Bilder gefunden.

Kassette/Abstand

Format 18/24 / FFA 1,05m

Lagerung

Patient steht mit dem Gesicht zur Röntgenplatte und kann sich dort mit den Händen für ein besseres Gleichgewicht abstützen. Die Aufnahme erfolgt beidbeinig bei 45° Kniebeugung im dorsoventralen Strahlengang.

Zentralstrahl

Die Röhre wird ca. 10° nach caudal geneigt und zielt auf Mitte Kniegelenk.

Qualitätskriterien

Freier Einblick in die Fossa intercondylaris, Tibiaplateau muss strichförmig dargestellt werden.

  • Aufnahmedaten
  • Pädiatrische Besonderheiten
  • Vorbereitung des Patienten
Aufnahmeart: ohne Raster
Belichtungsautomatik: ohne
Bildempfängerdosis: SC 400
Fokus-Detektor-Abstand: 105 cm (115cm)
Brennflecknennwert: ≤1,3
Aufnahmespannung: 60 – 75 kV
Zusatzfilterung: 1 mm Al + mindestens 0,1 mm Cu
Bildempfängerdosis: SC 800
Brennflecknennwert: 0,6 (≤ 1,3)
Strahlenschutz: Bleigummiabdeckung der unmittelbar anschließenden Abschnitte des Körperstamms
Knie/Unterschenkel von Kleidung frei machen, Gonadenschutz anlegen.

Patella Defilée
Es wurden keine Bilder gefunden.

Kassette/Abstand

Format 18/24 / FFA 1,05m

Lagerung

Patient sitzt auf dem Tisch, Knie angewinkelt, Ferse unterpolstert, so dass die Patella parallel zum Tisch verläuft bzw. die Strecke Ober- und Unterschenkel zum gleichschenkligen Dreieck wird.

1. Aufnahme:
Winkeleinstellung des Knies von 60° mit Hilfe selbst angefertigter Winkelmesser z.b. aus Karton, tangierender Verlauf entsprechend von Oberschenkelknochen (Femur) und Unterschenkelknochen (Tibia), die Spitze liegt unterhalb der Patella. Kassette auf Femur senkrecht, bei der 60° Aufnahme sind der Oberrand und Unterrand der Patella deckungsgleich, sie entspricht der Patellaspezialaufnahme.

2. Aufnahme:
Grundlagerung bleibt bestehen, Winkel des Knies 30°, hier ist der FOA größer, es wird der obere (proximale) Rand der Patella abgebildet (Vergrößerung).

3. Aufnahme:
Grundlagerung bleibt bestehen, Winkel des Knies 90°, kleiner FOA, dargestellt wird der untere (distale) Patellarand.

Zentralstrahl

Röhre um 90° gekippt, zielt auf den Unterrand der Patella.

Indikation

Dysplasie (Stufenbildung), Fraktur, Arthrose.

Qualitätskriterien

Freier Durchblick durch das Femoropatellargelenk und überlagerungsfreie Darstellung der Patella.

  • Aufnahmedaten
  • Pädiatrische Besonderheiten
  • Vorbereitung des Patienten
Aufnahmeart: ohne Raster
Belichtungsautomatik: ohne
Bildempfängerdosis: SC 400
Fokus-Detektor-Abstand: 105 cm (115cm)
Brennflecknennwert: ≤1,3
Aufnahmespannung: 60 – 75 kV
Zusatzfilterung: 1 mm Al + mindestens 0,1 mm Cu
Bildempfängerdosis: SC 800
Brennflecknennwert: 0,6 (≤ 1,3)
Strahlenschutz: Bleigummiabdeckung der unmittelbar anschließenden Abschnitte des Körperstamms
Knie/Unterschenkel von Kleidung frei machen, Gonadenschutz anlegen.

Patella in Bauchlage
Es wurden keine Bilder gefunden.

Kassette/Abstand

Format 18/24 / FFA 1,05m

Lagerung

Der Patient ist in Bauchlage, Knie der betroffenen Seite maximal anwinkeln, dass sich Unterschenkel und Oberschenkel in der Kniebeuge berühren. Als Hilfsmittel sollte ein Band etc. verwendet werden. Der Oberschenkel liegt flach auf dem Tisch und der Unterschenkel darf nicht verkippen.
Bleischürze ordnungsgemäß positionieren.

Zentralstrahl

Zielt senkrecht auf den Unterrand der Patella. Bei ungenügender Anwinkelung kann auch bis maximal 20° mit der Röhre gekippt werden.

Indikation

Dysplasie (Stufenbildung), Fraktur, Arthrose.

Qualitätskriterien

Freier Durchblick durch das Femoropatellargelenk und überlagerungsfreie Darstellung der Patella.

  • Aufnahmedaten
  • Pädiatrische Besonderheiten
  • Vorbereitung des Patienten
Aufnahmeart: ohne Raster
Belichtungsautomatik: ohne
Bildempfängerdosis: SC 400
Fokus-Detektor-Abstand: 105 cm (115cm)
Brennflecknennwert: ≤1,3
Aufnahmespannung: 60 – 75 kV
Zusatzfilterung: 1 mm Al + mindestens 0,1 mm Cu
Bildempfängerdosis: SC 800
Brennflecknennwert: 0,6 (≤ 1,3)
Strahlenschutz: Bleigummiabdeckung der unmittelbar anschließenden Abschnitte des Körperstamms
Knie/Unterschenkel von Kleidung frei machen, Gonadenschutz anlegen.

Fibula-Köpfchen 1. Ebene (Kniegelenk schräg)
Es wurden keine Bilder gefunden.

Kassette/Abstand

Format 18/24 hoch / FFA 1,05m

Lagerung

Patient in Rückenlage, Knie gestreckt, Fuß anziehen lassen, d.h. Fußsohle und Unterschenkel bilden einen Winkel von 90°, Bein um 45° nach innen drehen (Fuß an 45° Keil anlegen).

Zentralstrahl

Senkrecht auf Kniegelenkspalt, d.h. unterer Patellarand bei der Fragestellung Knie schräg, oder 2 QF unterhalb vom Patellarand – Fibula-Köpfchen stellt sich frei dar.

Indikation

Bei Tibikopffrakturen oder Tumoren, als ergänzende Aufnahme zu den Standardaufnahmen.

Qualitätskriterien

Kniegelenkspalt in Kassettenmitte möglichst ohne Doppelkontur durchsichtig. Fibulaköpfchen überlagerungsfrei.

  • Aufnahmedaten
  • Pädiatrische Besonderheiten
  • Vorbereitung des Patienten
Aufnahmeart: ohne Raster
Belichtungsautomatik: ohne
Bildempfängerdosis: SC 400
Fokus-Detektor-Abstand: 105 cm (115cm)
Brennflecknennwert: ≤1,3
Aufnahmespannung: 60 – 75 kV
Zusatzfilterung: 1 mm Al + mindestens 0,1 mm Cu
Bildempfängerdosis: SC 800
Brennflecknennwert: 0,6 (≤ 1,3)
Strahlenschutz: Bleigummiabdeckung der unmittelbar anschließenden Abschnitte des Körperstamms
Knie/Unterschenkel von Kleidung frei machen, Gonadenschutz anlegen.

Fibula-Köpfchen 2. Ebene (Kniegelenk schräg)
Es wurden keine Bilder gefunden.

Kassette/Abstand

Format 18/24 hoch / FFA 1,05m

Lagerung

Gestrecktes Bein mit senkrechter Fußsohle in 45° Außenrotation bringen.

Zentralstrahl

Bei Fragestellung: Knie schräg, unterer Patellarand. Bei Fibula-Köpfchen: ca. 2 QF unterhalb des Patellarandes, Mitte Tibia.

Indikation

Bei Tibikopffrakturen oder Tumoren, als ergänzende Aufnahme zu den Standardaufnahmen.

Qualitätskriterien

Kniegelenkspalt in Kassettenmitte durchsichtig. Fibulaköpfchen in der Mitte hinter der Tibia.

  • Aufnahmedaten
  • Pädiatrische Besonderheiten
  • Vorbereitung des Patienten
Aufnahmeart: ohne Raster
Belichtungsautomatik: ohne
Bildempfängerdosis: SC 400
Fokus-Detektor-Abstand: 105 cm (115cm)
Brennflecknennwert: ≤1,3
Aufnahmespannung: 60 – 75 kV
Zusatzfilterung: 1 mm Al + mindestens 0,1 mm Cu
Bildempfängerdosis: SC 800
Brennflecknennwert: 0,6 (≤ 1,3)
Strahlenschutz: Bleigummiabdeckung der unmittelbar anschließenden Abschnitte des Körperstamms
Knie/Unterschenkel von Kleidung frei machen, Gonadenschutz anlegen.