Knie

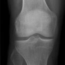
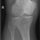
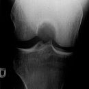
Kniegelenk a.p.
Es wurden keine Bilder gefunden.

Frakturen im Bereich des Kniegelenks meist durch starke Gewalteinwirkung -> nach zusätzlichen Verletzungen fanden.

CAVE: CT-Indikation: bei V.a. Femurkondylenfraktur/Tibiakopffraktur

MRT-Indikation: zur Darstellung nichtossärer Gelenkanteile oder OD

Beurteilungskriterien

  • Physiologisch leichte Valgusstellung von 7-9°. Mechanische Beinachse nach Miculicz (Traglinie Femurkopfzentrum – Mitte OSG) steht normalerweise senkrecht auf der Tangente an die Femurkondylen (Transversalebene des Kniegelenks)
  • Weite des femorotibialen Gelenkspaltes beträgt 3-5 mm. Der Laterale erscheint aufgrund etwas kräftigerer Knorpelschicht etwas weiter.
  • Weichteilkonturen, Kollateralbänder, Patella- und Quadrizepssehnenruptur: Unschärfe der jeweiligen Kontur.
  • Target areas: Eminentia intercondylaris, Tibiaplateaukanten, Fibulaköpfchen

Cave:

  • Posttraumatische periartikuläre Verkalkungen (Stieda-Pellegrini-Schatten): z.B. Ausriß am Ansatz des M. adductor magnus, Kollateralbandossifikation, Kollateralbandausriß mit muldenartigem Defekt am Kondylus
  • Normvarianten z.B: am häufigsten Patella partita (meist kraniolateral), akzessorische Knochenkerne (häufig im lateralen oberen Quadranten und häufig bilateral, rund mit zirkulärer Kortikalis), Fabella, persistierende Tibiaapophyse, Sulcus popliteus (Delle am Epikondylus lat.), Tuberculum adductorium (oberhalb Epikondylus med.)
  • Osgood-Schlattersche Erkrankung

Beispiele

Kniegelenk seitlich
Es wurden keine Bilder gefunden.

Beurteilungskriterien

  • Blumensaatlinie: ( = entspricht dem Dach der Fossa intercondylaris) Patella alta: unterer Pol >3cm über Blumensaat Linie
  • Insall-Salvati-Index: Die Relation zwischen Patellahöhe (Vertikaldurchmesser) und Länge des Lig. patellae liegt zwischen 0,8 - 1,2.
  • Patellasehnenruptur => Patella alta => Insall-Salvati-Index < 0,8, Quadrizepssehnenruptur => Patella bacha => Insall-Salvati-Index >1,2, häufig jedoch keine signifikante Patellaverschiebung
  • Femoropatellares Gleitlager: Gelenksspaltweite <5mm, Cave: medialer Femurkondylus größer als Lateraler, zudem ist der Laterale flacher als der Mediale, kommen nicht zur Deckung.
  • Ergusszeichen: Erguß kann einziger Röntgenbefund bei osteochondralen Frakturen, Kollateralbandrissen, Kreuzbandverletzungen, Meniskusverletzungen sein -> MRT
  • Flüssigkeit-Fett-Spiegel in der Bursa suprapatellaris -> intraartikuläre Fraktur
  • Flüssigkeit-Luft-Spiegel -> offene Verletzung
  • Muskelfettlagen -> Fettkörper darf nicht abgehoben sein: M.rectus femoris, M.vastus intermedius, ventrales Femurmetaphysenfettpolster, suprapatellares Fettpolster, Fettlage dorsal des Gelenkspaltes

Cave:

Beispiele

Tunnelaufnahme nach Frik
Es wurden keine Bilder gefunden.

Dient der Beurteilung der Fossa und der Eminentia intercondylaris, sowie der Femurkondylen. Zudem hilfreich bei der Diagnostik der Osteochondrosis dissecans (2) -> Prädilektionsstelle: laterale Anteil der medialen Femurkondyle.

Beurteilungskriterien

Rosenbergaufnahme
Es wurden keine Bilder gefunden.

Die normale Gelenkspaltweite beträgt medial etwa 4 und lateral etwa 5 mm. Bei einer Gelenkspaltverschmälerung auf 2mm oder weniger muss von einem fortgeschrittenen, großflächigen Knorpelschaden in dem betroffenen Kompartment im Sinne einer manifesten Arthrose ausgegangen werden.

Beurteilungskriterien

  • Nachweis von Osteophyten (Randzacken)
  • subchondrale Sklerosierung
  • Gelenkspaltverschmälerung

Patella Defilée/Tangential
Es wurden keine Bilder gefunden.

Beurteilungskriterien

Fibula-Köpfchen 1. Ebene (Kniegelenk schräg)
Es wurden keine Bilder gefunden.

Dient als Zusatzaufnahme bei Tibiakopffrakturen (in 80% ist der laterale Kondylus betroffen) und Fibulafrakturen

Beurteilungskriterien

Fibula-Köpfchen 2. Ebene (Kniegelenk schräg)
Es wurden keine Bilder gefunden.

Dient als Zusatzaufnahme bei Tibiakopffrakturen (in 80% ist der laterale Kondylus betroffen) und Fibulafrakturen

Beurteilungskriterien

  • Tibiaplateaufrakturen: AO-Klassifikation, Proximale Fibulafrakturen (meist im Zusammenhang mit Tibiakopffrakturen!), Luxationsfrakturen nach Moore,
  • Proximale Fibulafraktur ( ->isoliert cave: undislozierte Epiphysenlösung)
  • Fibulaköpfchenfrakturen: direktes Trauma?, knöcherner Ausriß des lateralen Seitenbandes oder des M. biceps femoris? Tumor? (<-> Ausrißfrakturen am lateralenTibiakondylus).