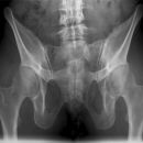
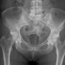
Becken a.p.
Es wurden keine Bilder gefunden.
>90% aller Beckenringfrakturen lassen sich in der Übersichtsaufnahme, ggf. mit zusätzlicher Inlet und Outlet- Aufnahme (Bestimmung von Richtung und Ausmaß der Dislokation), diagnostizieren;
Cave:
- Bei V.a. Frakturen von Os sacrum und Azetabulum, sowie im Bereich der ISG -> CT-Indikation!!
- Zusätzliche Organläsionen und retroperitoneale Massenblutungen!
Beurteilungskriterien
- Symmetrie des Beckenskeletts, Position der Darmbeinkämme
- Weite und Symmetrie von Symphysenspalt (< 6mm) und ISF (< 4mm)
- Querfortsätze der unteren LWS, Kontur der Sakralforamina, ggf. CT
- Kontinuität der ilioischiadischen und iliopubischen Linie
- Azetabulumfraktur: vorderer und hinterer Pfannenrand, Pfannendachkontur, Köhlersche Tränenfigur, ggf. Zusatzaufnahmen (ap-Zielaufnahme, axiale, Ala- und Obturatoraufnahme), sowie CT
- Schenkelhalswinkel, Weite des Hüftgelenksspalt (4-5mm nach medial, 3-4mm nach kranial)
- Hüftluxation? Hüftkopf in der Beckenübersicht und in der axialen Aufnahme in der Pfanne zentriert?
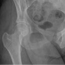
Beispiele
TraumaRad
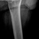
Frakturbasisklassifikation Typ A,B,C
Lokalisation mediale, laterale, pertrochantäre und subtrochantäre Schenkelhalsfraktur
Einteilung der medialen Schenkelhalsfrakturen nach Pauwels:
 |
Pauwels I°: Winkel zwischen Horizontalen und Frakturlinie < 30°
Pauwels II°: zwischen 30° – 70°
Pauwels III° : > 70°
|
Becken Outlet (Pennal II)
Es wurden keine Bilder gefunden.
40 – 60° nach kranial gerichteter Strahlengang
Bestimmung der Fragmentdislokation bei bekannter Beckenringfraktur in sagittaler (ventrodorsaler Richtung)
Becken Inlet (Pennal I)
Es wurden keine Bilder gefunden.
40° nach kaudal gerichteter Zentralstrahl
Bestimmung der Fragmentdislokalisation bei bekannter Beckenringfraktur in kraniokaudaler Richtung
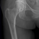
Hüftgelenk a.p.
Es wurden keine Bilder gefunden.
Indikation
Cave: selten isoliert, meißt mit Luxation oder Azetabulum# kombiniert), Hüftgelenksluxation
Beurteilungskriterien
- CCD- Winkel (120-130°) Spongiosaarchitektur, Trajektorienverlauf im Schenkelhals (Cave: Bei nicht dislozierten SHF Diskontinuität der Trabekel oft einziges Frakturzeichen!)
- Shenton´sche Linie (Harmonischer Bogen aus kaudaler Schenkelhalskontur und der kranialen Zirkumferenz des For. obturatum)
- Gelenkstellung, Gelenkspaltweite (4-5mm nach medial, 3-4mm nach kranial), Luxation => Hüftkopf in ap und axialer Aufnahme in Azetabulum zentriert? Hüftkopfrundung?
- Azetabulumfraktur: vorderer und hinterer Pfannenrand, Pfannendachkontur, Köhlersche Tränenfigur, ggf. Zusatzaufnahmen (Ala- und Obturatoraufnahme), sowie CT
- medialer Azetabulumdachbogen (45° von der Hüftkopfmitte ausgehend nach vorne (!); Teil der lasttragenden Zone des Azetabulums, vgl. Obturatoraufnahme)
- Trochanter major et minor (Abriss, pertrochantäre #?)
- Weichteilzeichen (Fettstreifen medial des M.gluteus minimus zw. M.glutaeus minimus und medius, medial des M.iliopsoas; Konturschatten des M.obturatorius int.)
TraumaRad
- med. Schenkelhalsfrakturen nach Pauwels I-III und nach Garden I-IV (2)
- SHF und Pertrochantere Frakturen AO-Klassifikation
- Lokalisation mediale, laterale, pertrochantäre und subtrochantäre Schenkelhalsfraktur
- Hüftgelenksluxation
- Hüftkopffrakturen nach Pipkin
- Einteilung der medialen Schenkelhalsfrakturen nach Pauwels:
 |
Pauwels I°: Winkel zwischen Horizontalen und Frakturlinie < 30°
Pauwels II°: zwischen 30° – 70°
Pauwels III° : > 70°
|
Hüfte axial nach Lauenstein
Es wurden keine Bilder gefunden.
Indikation
Epiphysioloysis capitis femoris, M.Perthes bzw. Hüftkopfnekrosen anderer Ätiologie.
Darstellung des Schenkelhalses ohne Verkürzung. Keine Bedeutung für die traumatologische Diagnostik, hier a.p.- und axiale Aufnahme als Basisdiagnostik! Keine überlagerungsfreie Beurteilung des Azetabulums möglich!
Beurteilungskriterien
- Femurkopf (Entrundung, Kondensation, Abrutschen?) und Schenkelhalskontur
- Trochanter major (teilweise über Schenkelhals projiziert) und minor
Hüfte axial (Sven Johansson)
Es wurden keine Bilder gefunden.
Indikation
Cave: selten isoliert, meißt mit Luxation oder Azetabulum# kombiniert), Hüftgelenksluxation
Beurteilungskriterien
- Spongiosaarchitektur, Trajektorienverlauf im Schenkelhals (Cave: Bei nicht dislozierten SHF Diskontinuität der Trabekel oft einziges Frakturzeichen) Stellungsbeurteilung bei Schenkelhalsfrakturen oder Luxationen
- Gelenkstellung, Gelenkspaltweite, Luxation => Hüftkopf in zwei Ebenen im Azetabulum zentriert? Hüftkopfrundung?
- Trochanter major et minor (Abriss, pertrochantäre #?)
TraumaRad
- med. Schenkelhalsfrakturen nach Pauwels I-III und nach Garden I-IV (2)
- SHF und Pertrochantere Frakturen AO-Klassifikation
- Hüftgelenksluxation Hüftkopffrakturen nach Pipkin
- Einteilung der medialen Schenkelhalsfrakturen nach Pauwels:
 |
Pauwels I°: Winkel zwischen Horizontalen und Frakturlinie < 30°
Pauwels II°: zwischen 30° – 70°
Pauwels III° : > 70°
|
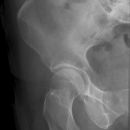
Foramen obturatum (Hüftgelenk schräg)
Es wurden keine Bilder gefunden.
Indikation
V.a. Azetabulumfraktur (=>CT); evtl. zusätzlich bei Schenkelhalsfraktur oder ventralen Beckenringfrakturen.
Beurteilungskriterien
- hinterer Pfannenrand überlagerungsfrei abgrenzbar, geht über in die
- retroazetabulare Darmbeinkontur
- innere Beckenrandkontur
- knöcherner Ring des Foramen obturatum
- ventraler Azetabulumdachbogen (Teil des "Mattaschen Bogens" - lasttragender Teil des Pfannendachs: beeinflusst die Therapieentscheidung, da Frakturen im kranialen Azetabulumbogen zu größeren therapeutischen Problemen führen. Abschnitt des Pfannendachs, welcher in Ala-, Obturator- und axialer Aufnahme jeweils von 45° von der Hüftkopfmitte nach ventral gemessen wird)
TraumaRad
Klassifikation der Azetabulum# nach Judet und Letournel
Ala (Hüftgelenk schräg)
Es wurden keine Bilder gefunden.
Indikation
V.a. Azetabulumfraktur (=>CT); evtl. zusätzlich bei hinteren Beckenringfrakturen.
Beurteilungskriterien
- Darmbeinschaufel weitgehend überlagerungsfrei abgebildet („Ala“)
- vordere Pfannenrandkontur
- dorsaler Azetabulumdachbogen (Teil des „Mattaschen Bogens“, vgl. Obturatoraufnahme; gemessen 45° von der Hüftkopfmitte ausgehend nach ventral)
TraumaRad
Klassifikation der Azetabulum# nach Judet und Letournel