Ellenbogen

Ellenbogen a.p.
Es wurden keine Bilder gefunden.

Kassette/Abstand

Format 18/24 (2) oder 24/30 (2) / FFA 1,05m

Lagerung

Patient sitzt seitlich am Tisch, Arm liegt ausgestreckt auf Kassette, Oberarm und Unterarm auf Schulterhöhe bringen, Hand in Supination, Handgelenk waagerecht.

Zentralstrahl

Senkrecht auf Gelenk- und Filmmitte.

Anmerkung

Freie Projektion des Gelenkspalts bei Fragestellung nach Frakturen, supracondyläre bzw. epicondyläre Kernauflösung bei Kindern. Wichtig: kann das Gelenk nicht gestreckt werden, müssen Unterarm und Oberarm getrennt aufliegend geröntgt werden, d.h. 2 Aufnahmen, bei Gips empfiehlt sich eine Radiusköpfchen- bzw. Processus coronoideus- Aufnahme bei 45°.

Abbildungskriterien

distale Humerunsanteile: Epikondylen, Capitulum humeri
proximale Unterarmanteile: Radius-Radiusköpfchen und -hals, Ulna -Schaft, Körper, Olecranon

Qualitätskriterien

Ellenbogengelenk vollständig a.p. orthograd abgebildet, Gelenkspalt in Filmmitte und überlagerungsfrei.

  • Aufnahmedaten
  • Pädiatrische Besonderheiten
  • Vorbereitung des Patienten
Aufnahmeart: ohne Raster
Belichtungsautomatik: ohne
Bildempfängerdosis: SC 200
Fokus-Detektor-Abstand: 105 cm
Brennflecknennwert: 0,6 (≤1,3)
Aufnahmespannung: 50 – 60 kV
Aufnahmeart: Aufnahmetisch
Zusatzfilterung: 1 mm Al + mindestens 0,1 mm Cu
Bildempfängerdosis: SC 400
Brennflecknennwert: 0,6 (≤ 1,3)
Belichtungsautomatik: ohne
Strahlenschutz: Bleigummiabdeckung der unmittelbar anschließenden Abschnitte des Körperstamms
Oberarm und Unterarm von Kleidung und Schmuck frei machen, Gonadenschutz anlegen.

Ellenbogen seitlich
Es wurden keine Bilder gefunden.

index.png

Kassette/Abstand

Format 18/24 (2) oder 24/30 (2) / FFA 1,05m

Lagerung

Patient sitzt seitlich am Tisch, Oberarm und Unterarm auf Schulterhöhe waagerecht aufliegend, Gelenk im Winkel von 90° gebeugt, Unterarm liegt ulnar auf, Daumen zeigt nach oben bei streng seitlicher Handstellung, Unterarm evtl. unterpolstern.

Zentralstrahl

Senkrecht auf Gelenk- und Filmmitte.

Anmerkung

Weitgehend freie Projektion des Radiusköpfchens, das sich als Oval abzeichnet, lediglich vom Processus coronoideus anteilig überlagert

Qualitätskriterien

Ellenbogengelenk vollständig seitlich orthograd abgebildet. Humeroulnar Gelenkspalt einsehbar. Humeruskondylen müssen sich decken, das Radiusköpfchen soll gut beurteilbar sein.

  • Aufnahmedaten
  • Pädiatrische Besonderheiten
  • Vorbereitung des Patienten
Aufnahmeart: ohne Raster
Belichtungsautomatik: ohne
Bildempfängerdosis: SC 200
Fokus-Detektor-Abstand: 105 cm
Brennflecknennwert: 0,6 (≤1,3)
Aufnahmespannung: 50 – 60 kV
Aufnahmeart: Aufnahmetisch
Zusatzfilterung: 1 mm Al + mindestens 0,1 mm Cu
Bildempfängerdosis: SC 400
Brennflecknennwert: 0,6 (≤ 1,3)
Belichtungsautomatik: ohne
Strahlenschutz: Bleigummiabdeckung der unmittelbar anschließenden Abschnitte des Körperstamms
Oberarm und Unterarm von Kleidung und Schmuck frei machen, Gonadenschutz anlegen.

Ellenbogen seitlich nach N. Stjepanovic
Es wurden keine Bilder gefunden.

Kassette/Abstand

Format 18/24 quer / FFA 1,05m

Lagerung

Patient wird wie Ellenbogen lateral gelagert; jedoch Oberarm mit einem 10°Keil anheben und gleichzeitig auch den Unterarm um 15° mit einem Keilkissen anheben. Kassette auf den Kissen und unter dem Ellenbogen legen, so dass sie auf nur auf der einen Ecke aufliegt.

Zentralstrahl

Senkrecht zum Tisch keine Winkel einstellen.

Anmerkung

Aufgrund der Winkelung von 10° bzw 15° erscheinen paar Strukturen verkürzt.

Qualitätskriterien

Durch diese exakte Einstellung von N. Stjepanovic ist das humero-ulnar-Gelenk sehr gut einsehbar.

  • Aufnahmedaten
  • Pädiatrische Besonderheiten
  • Vorbereitung des Patienten
Aufnahmeart: ohne Raster
Belichtungsautomatik: ohne
Bildempfängerdosis: SC 200
Fokus-Detektor-Abstand: 105 cm
Brennflecknennwert: 0,6 (≤1,3)
Aufnahmespannung: 50 – 60 kV
Aufnahmeart: Aufnahmetisch
Zusatzfilterung: 1 mm Al + mindestens 0,1 mm Cu
Bildempfängerdosis: SC 400
Brennflecknennwert: 0,6 (≤ 1,3)
Belichtungsautomatik: ohne
Strahlenschutz: Bleigummiabdeckung der unmittelbar anschließenden Abschnitte des Körperstamms
Oberarm und Unterarm von Kleidung und Schmuck frei machen, Gonadenschutz anlegen.

Radiusköpfchen; Greenspan
Es wurden keine Bilder gefunden.

Kassette/Abstand

Format 18/24 / FFA 1,05m

Lagerung

Radiusköpfchen:

Patient sitzt seitlich an der Breitseite des Tisches, Unterarm und Oberarm liegen in gleicher Höhe, Hand in Supination zum Körper. Sprich wenn es möglich ist die Hand so drehen, dass die Handinnenfläche nach oben zeigt.

Greenspan:

Pat. sitzt seitlich am Tisch. Oberarm, Ellenbogen und Unterarm liegen in gleicher Höhe, Ellenbogen 90° gebeugt, Handfläche liegt auf Kassette (auf Grund Bewegungseinschränkung oder Gips).

Zentralstrahl

Radiusköpfchen:

Im Winkel von 45° auf Mitte Ellenbogen in Richtung zum Radiusköpfchen (Daumenseite) medio-lateral.

Greenspan:

Zielt im Winkel von 45° zum Unterarm auf das Radiusköpfchen – Radiusköpfchen liegt plattenfern. Aufnahme wird in umgekehrter Strahlenrichtung aufgenommen, als bei ausgestrecktem Arm.

Bemerkung

Kann der Patient den Arm nicht voll durchstrecken, so kann diese Aufnahme auch in Beugung aufgenommen werden, dabei liegt der Unterarm auf (Hand in Supination) z.B. bei Gipskontrolle. -> Greenspan-Aufnahme. Diese Aufnahme sollte aber nur in Ausnahmefällen angewendet werde, da sie aus strahlenhygienischer Sicht durch die Strahlrichtung auf den Körper zu problematisch ist!

Qualitätskriterien

Orthograde, überlagerungsfreie Abbildung des Radiusköpfchen, freie Darstellung der Articulatio humero-ulnaris

  • Aufnahmedaten
  • Pädiatrische Besonderheiten
  • Vorbereitung des Patienten
Aufnahmeart: ohne Raster
Belichtungsautomatik: ohne
Bildempfängerdosis: SC 200
Fokus-Detektor-Abstand: 105 cm
Brennflecknennwert: 0,6 (≤1,3)
Aufnahmespannung: 50 – 60 kV
Aufnahmeart: Aufnahmetisch
Zusatzfilterung: 1 mm Al + mindestens 0,1 mm Cu
Bildempfängerdosis: SC 400
Brennflecknennwert: 0,6 (≤ 1,3)
Belichtungsautomatik: ohne
Strahlenschutz: Bleigummiabdeckung der unmittelbar anschließenden Abschnitte des Körperstamms
Oberarm und Unterarm von Kleidung und Schmuck frei machen, Gonadenschutz anlegen.

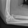
Olecranon
Es wurden keine Bilder gefunden.

Kassette/Abstand

Format 18/24 / FFA 1,05m

Lagerung

1. Möglichkeit:

(bei Fragestellung Sulcus Ulnaris oder bei einer Cuff Collar-Schlinge) Pat sitzt seitlich am Tisch, dorsale Seite des Oberarm mittels Kasten hochlagern, Unterarm beugen, so dass die Finger die Schulter berühren.

2. Möglichkeit:

(bei Fragestellung Olecranonfraktur) Pat sitzt seitlich am Tisch, Unterarm liegt auf dem Tisch, Oberkörper beugt sich zur Hand, Finger berühren die Schulter, Unterarm und Oberarm liegen gut übereinander.

Zentralstrahl

Senkrecht auf Ellenbogengelenk, ca. 2 Querfinger von der Hautgrenze entfernt.

Bemerkung

Anwendung bei Cuff Collar-Schlinge, d.h. Zustand nach supracondylärer Humerusfraktur- (Kindern).

Qualitätskriterien

Freie Darstellung des Olecranons, tangentiale Abbildung des Sulcus nervi ulnaris, Ober- und Unterarm projizieren sich übereinander. Gelenkspalt gut erkennbar.

  • Aufnahmedaten
  • Pädiatrische Besonderheiten
  • Vorbereitung des Patienten
Aufnahmeart: ohne Raster
Belichtungsautomatik: ohne
Bildempfängerdosis: SC 200
Fokus-Detektor-Abstand: 105 cm
Brennflecknennwert: 0,6 (≤1,3)
Aufnahmespannung: 50 – 60 kV
Aufnahmeart: Aufnahmetisch
Zusatzfilterung: 1 mm Al + mindestens 0,1 mm Cu
Bildempfängerdosis: SC 400
Brennflecknennwert: 0,6 (≤ 1,3)
Belichtungsautomatik: ohne
Strahlenschutz: Bleigummiabdeckung der unmittelbar anschließenden Abschnitte des Körperstamms
Oberarm und Unterarm von Kleidung und Schmuck frei machen, Gonadenschutz anlegen.

Proc. Coronoideus
Es wurden keine Bilder gefunden.

Kassette/Abstand

Format 18/24 / FFA 1,05m

Lagerung

1. Möglichkeit:

dieselbe wie Radiusköpfchen, d.h. der Patient sitzt seitlich an der Breitseite des Tisches, Unter- und Oberarm liegen in gleicher Höhe, Hand in Supination

2. Möglichkeit:

bei gewinkeltem Unterarm nimmt die gestreckte Hand medial Maß am 45°-Keil und wird dann in dieser Haltung gestreckt.

Zentralstrahl

bei 1.:

im Winkel von 45° auf Mitte Ellenbogen, jedoch zur Kleinfingerseite (latero-medial)

bei 2.:

senkrecht auf Objekt.

Qualitätskriterien

Processus coronoideus ulnae überlagerungsfrei dargestellt.

  • Aufnahmedaten
  • Pädiatrische Besonderheiten
  • Vorbereitung des Patienten
Aufnahmeart: ohne Raster
Belichtungsautomatik: ohne
Bildempfängerdosis: SC 200
Fokus-Detektor-Abstand: 105 cm
Brennflecknennwert: 0,6 (≤1,3)
Aufnahmespannung: 50 – 60 kV
Aufnahmeart: Aufnahmetisch
Zusatzfilterung: 1 mm Al + mindestens 0,1 mm Cu
Bildempfängerdosis: SC 400
Brennflecknennwert: 0,6 (≤ 1,3)
Belichtungsautomatik: ohne
Strahlenschutz: Bleigummiabdeckung der unmittelbar anschließenden Abschnitte des Körperstamms
Oberarm und Unterarm von Kleidung und Schmuck frei machen, Gonadenschutz anlegen.