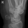
Hand / Handgelenk

Os scaphoideum
Es wurden keine Bilder gefunden.

Kassette/Abstand

18/24 (4) oder 24/30 (4) / FFA 1,05m

Lagerung

1. Hand flach auf Kassette legen, kräftig nach lateral abduzieren. Daumen stark abspreizen.

2. Kassette mit 15° Keil unterpolstern, Daumen von Hand stark abduzieren, Handhaltung wie oben.

3. Unterarm und Hand an der radialen Seite um 45° anheben.

4. Unterarm und Hand an der ulnaren Seite um 45° anheben.

Zentralstrahl

bei 1., 2. und 3.

Zentralstrahl in der Mitte der Verbindungslinie Daumensattelgelenk und Radius, sowie 1 Querfinger medialwärts.

bei 4.

In der Mitte zwischen Daumensattelgelenk und Mitte HG 2 Querfinger medialwärts.

Bemerkung

Os scaphoideum: zwischen Daumensattelgelenk und Radius; es empfiehlt sich im Uhrzeigersinn auf der Kassette zu arbeiten.

Qualitätskriterien

Os scaphoideum soll orthograd überlagerungsfrei abgebildet sein, in den Schrägaufnahmen weitgehend überlagerungsfreie Darstellung des Os scaphoideum und der angrenzenden Handwurzelknochen. Schwer erkennbare Brüche sind oft nur in diesen Schrägaufnahmen diagnostizierbar.

  • Aufnahmedaten
  • Pädiatrische Besonderheiten
  • Vorbereitung des Patienten
Aufnahmeart: ohne Raster
Belichtungsautomatik: ohne
Bildempfängerdosis: SC 200
Fokus-Detektor-Abstand: 105 cm
Brennflecknennwert: 0,6 (≤1,3)
Aufnahmespannung: 50 – 60 kV
Aufnahmeart: Aufnahmetisch
Bildempfängerdosis: SC 400
Belichtungsautomatik: ohne
Strahlenschutz: Bleigummiabdeckung der unmittelbar anschließenden Abschnitte des Körperstamms
Untersuchende Region von Kleidung und Schmuck frei machen, Gonadenschutz anlegen.

Handgelenk a.p.
Es wurden keine Bilder gefunden.

Kassette/Abstand

Format 18/24 (2) / FFA 1,05m

Lagerung

1. Möglichkeit:

Frage nach Bandruptur: gewinkelter Vorderarm liegt flach auf dem Tisch, Handgelenk liegt mit der volarer Seite auf der Kassette, D3 verläuft gestreckt in Richtung Radius.

2. Möglichkeit:

Frage Fraktur: Finger locker gebeugt, Hand nach lat. abduziert (abgespreizt).

Zentralstrahl

Senkrecht auf Objektmitte und Filmmitte.

Anmerkung

Darstellung der Handwurzel- und Unterarmknochen, bei Fragestellung von Epiphysenlösung, Grünholz- oder Os scaphoideumfraktur. Zur Beurteilung der Knochenkerne bei Kindern werden Vergleichsaufnahmen notwendig, bei Verdacht auf Subluxation des Os Lunatums, Zusatzaufnahme in Flextion und Reflextion der Hand notwendig (siehe Stressaufnahme).

Qualitätskriterien

Vollständige Abbildung der Metacarpalia, Handwurzelknochen und distaler Unterarm.

  • Aufnahmedaten
  • Pädiatrische Besonderheiten
  • Vorbereitung des Patienten
Aufnahmeart: ohne Raster
Belichtungsautomatik: ohne
Bildempfängerdosis: SC 200
Fokus-Detektor-Abstand: 105 cm
Brennflecknennwert: 0,6 (≤1,3)
Aufnahmespannung: 50 – 60 kV
Aufnahmeart: Aufnahmetisch
Bildempfängerdosis: SC 400
Belichtungsautomatik: ohne
Strahlenschutz: Bleigummiabdeckung der unmittelbar anschließenden Abschnitte des Körperstamms
Untersuchende Region von Kleidung und Schmuck frei machen, Gonadenschutz anlegen.

Handgelenk a.p. Pädiatrie

Kassette/Abstand

Format 18/24 (2) / FFA 1,05m AT

Lagerung

1. Möglichkeit:

Kind liegt auf dem Rücken auf dem Tisch und dreht den Kopf zur Gegenseite drehen lassen. Hand liegt in Pronation auf der Kassette, D3 verläuft gestreckt in Richtung Radius.

2. Möglichkeit:

Kind wird seitlich am Tisch sitzend positioniert, Kopf zur Gegenseite drehen, gewinkelter Vorderarm liegt flach auf dem Tisch, Hand liegt in Pronation auf der Kassette.

Zentralstrahl

Senkrecht auf Objektmitte und Filmmitte.

Anmerkung

Zusatzfilter 1 mm Al + mindestens 0,1 mm Cu.
Bei unruhigen Patienten muss der Unterarm durch Sandsack oder Begleitperson fixiert werden.

Qualitätskriterien

Vollständige Abbildung der Metacarpalia, Handwurzelknochen und distaler Unterarm.

  • Aufnahmedaten Pädiatrisch
  • Vorbereitung des Patienten
Aufnahmeart: ohne Raster
Belichtungsautomatik: ohne
Bildempfängerdosis: SC 400
Fokus-Detektor-Abstand: 105 cm
Brennflecknennwert: 0,6 (≤1,3)
Aufnahmespannung: 50 – 60 kV
Strahlenschutz: Bleigummiabdeckung der unmittelbar anschließenden Abschnitte des Körperstamms
Untersuchende Region von Kleidung und Schmuck frei machen, Gonadenschutz anlegen.

Handgelenk seitlich
Es wurden keine Bilder gefunden.

Kassette/Abstand

Format 18/24 (2) / FFA 1,05m

Lagerung

Handgelenk, Unterarme, Ellenbogen (gebeugt) liegen mit der Kleinfingerseite streng seitlich auf. Handfläche hat leichte Retroflexion, d.h. der untere Handballen steht leicht vor. Daumen gestreckt über übrige Finger halten. Stellung durch Tasten im Handgelenk überprüfen.

Zentralstrahl

Senkrecht auf Handgelenk- und Filmmitte.

Anmerkung

Ulnar und Radius müssen distal übereinander projiziert werden. Os Scaphoideum und Os Lunatum liegen übereinander, ebenso die Mittelhandknochen, bei Verdacht auf Subluxation des Os Lunatums, Zusatzaufnahme in Flextion und Reflextion der Hand notwendig (Stressaufnahme).

Qualitätskriterien

Radius und Ulnar müssen deckungsgleich sein; Mittelhand, Handwurzelknochen und distaler Unterarm sollen abgebildet werden.

  • Aufnahmedaten
  • Pädiatrische Besonderheiten
  • Vorbereitung des Patienten
Aufnahmeart: ohne Raster
Belichtungsautomatik: ohne
Bildempfängerdosis: SC 200
Fokus-Detektor-Abstand: 105 cm
Brennflecknennwert: 0,6 (≤1,3)
Aufnahmespannung: 50 – 60 kV
Aufnahmeart: Aufnahmetisch
Bildempfängerdosis: SC 400
Belichtungsautomatik: ohne
Strahlenschutz: Bleigummiabdeckung der unmittelbar anschließenden Abschnitte des Körperstamms
Untersuchende Region von Kleidung und Schmuck frei machen, Gonadenschutz anlegen.

Handgelenk seitlich Pädiatrie

Kassette/Abstand

Format 18/24 (2) / FFA 1,05m AT

Lagerung

1. Möglichkeit:

Kind liegt auf dem Rücken, Arm leicht gewinkelt und liegt mit der Kleinfingerseite streng seitlich auf, Stellung durch Tasten im Handgelenk überprüfen.

2. Möglichkeit:

Kind sitzt seitlich am Tisch, legt den Arm streng seitlich auf die Kassette, so dass die Handfläche leichte Retroflexion hat.

Zentralstrahl

Senkrecht auf Objektmitte und Filmmitte.

Anmerkung

Zusatzfilter 1 mm Al + mindestens 0,1 mm Cu.
Bei unruhigen Patienten muss der Unterarm durch Sandsack oder Begleitperson fixiert werden.

Qualitätskriterien

Radius und Ulnar müssen deckungsgleich sein; Mittelhand, Handwurzelknochen und distaler Unterarm sollen abgebildet werden.

  • Aufnahmedaten Pädiatrisch
  • Vorbereitung des Patienten
Aufnahmeart: ohne Raster
Belichtungsautomatik: ohne
Bildempfängerdosis: SC 400
Fokus-Detektor-Abstand: 105 cm
Brennflecknennwert: 0,6 (≤1,3)
Aufnahmespannung: 50 – 60 kV
Strahlenschutz: Bleigummiabdeckung der unmittelbar anschließenden Abschnitte des Körperstamms
Untersuchende Region von Kleidung und Schmuck frei machen, Gonadenschutz anlegen.

Stecheraufnahme
Es wurden keine Bilder gefunden.

Kassette/Abstand

Format 18/24 / FFA 1,05m

Lagerung

Finger locker gebeugt, Hand nach lat. abduziert (abgespreizt) soweit es der Patient toleriert.

Zentralstrahl

Senkrecht auf Objektmitte und Filmmitte.

Anmerkung

Das Scaphoid ist aufgerichtet und kommt in seiner vollen Länge zur Abbildung.

Qualitätskriterien

Freier Einblick auf das Os scaphoideum, zudem kann hier gut der SL-Spalt (scapholunärer Spalt) beurteilt werden.

  • Aufnahmedaten
  • Pädiatrische Besonderheiten
  • Vorbereitung des Patienten
Aufnahmeart: ohne Raster
Belichtungsautomatik: ohne
Bildempfängerdosis: SC 200
Fokus-Detektor-Abstand: 105 cm
Brennflecknennwert: 0,6 (≤1,3)
Aufnahmespannung: 50 – 60 kV
Aufnahmeart: Aufnahmetisch
Bildempfängerdosis: SC 400
Belichtungsautomatik: ohne
Strahlenschutz: Bleigummiabdeckung der unmittelbar anschließenden Abschnitte des Körperstamms
Untersuchende Region von Kleidung und Schmuck frei machen, Gonadenschutz anlegen.

Stressaufnahme
Es wurden keine Bilder gefunden.

Kassette/Abstand

Format 18/24 (2) / FFA 1,05m

Lagerung

Gewinkelter Vorderarm liegt flach auf dem Tisch, Handgelenk liegt mit der volarer Seite auf der Kassette. Es wird pro Aufnahme einmal nach ulnar und einmal nach radial abduziert (abgespreizt).

Zentralstrahl

Senkrecht auf Objektmitte und Filmmitte.

Anmerkung

Für die Stressaufnahme ist es wichtig, dass sie die Hand des Patienten bis zum maximalem Abduktionspunkt bringen.

Qualitätskriterien

Vollständige Abbildung der Metacarpalia, Handwurzelknochen und distaler Unterarm.

  • Aufnahmedaten
  • Pädiatrische Besonderheiten
  • Vorbereitung des Patienten
Aufnahmeart: ohne Raster
Belichtungsautomatik: ohne
Bildempfängerdosis: SC 200
Fokus-Detektor-Abstand: 105 cm
Brennflecknennwert: 0,6 (≤1,3)
Aufnahmespannung: 50 – 60 kV
Aufnahmeart: Aufnahmetisch
Bildempfängerdosis: SC 400
Belichtungsautomatik: ohne
Strahlenschutz: Bleigummiabdeckung der unmittelbar anschließenden Abschnitte des Körperstamms
Untersuchende Region von Kleidung und Schmuck frei machen, Gonadenschutz anlegen.

Ballaufnahme
Es wurden keine Bilder gefunden.

Kassette/Abstand

Format 18/24 / FFA 1,05m

Lagerung

Der Patient nimmt zuvor einen Ball in die Hand und umschließt ihn leicht. Nun wird das Handgelenk so gelagert wie bei einer normalen Handgelenksaufnahme ohne eine jegliche Abduktion. Da der Unterarm nun schwebt, sollte unter ihm eine Schaumstoffplatte zum Ausgleich gelegt werden. Während der Aufnahme soll der Patient den Ball so fest wie möglich zusammen drücken.

Zentralstrahl

Senkrecht auf Objektmitte und Filmmitte.

Anmerkung

Der Ball sollte möglichst aus röntgendurchlässigen Materialen gebaut werden.

Indikation

SL-Bandruptur

Qualitätskriterien

Guter Einblick auf den SL-Spalt (scapholunärer Spalt), Handwurzelknochen sollte nicht verkürzt dargestellt werden.

  • Aufnahmedaten
  • Pädiatrische Besonderheiten
  • Vorbereitung des Patienten
Aufnahmeart: ohne Raster
Belichtungsautomatik: ohne
Bildempfängerdosis: SC 200
Fokus-Detektor-Abstand: 105 cm
Brennflecknennwert: 0,6 (≤1,3)
Aufnahmespannung: 50 – 60 kV
Aufnahmeart: Aufnahmetisch
Bildempfängerdosis: SC 400
Belichtungsautomatik: ohne
Strahlenschutz: Bleigummiabdeckung der unmittelbar anschließenden Abschnitte des Körperstamms
Untersuchende Region von Kleidung und Schmuck frei machen, Gonadenschutz anlegen.

Monheimaufnahme
Es wurden keine Bilder gefunden.

Kassette/Abstand

Format 18/24 / FFA 1,05m

Lagerung

gewinkelter Vorderarm liegt flach auf dem Tisch, Handgelenk liegt mit der volarer Seite auf der Kassette, D3 verläuft gestreckt in Richtung Radius. Nun werden D4 und D5 eingeklappt, so dass die Hand zu einer Schwurhand wird.

Zentralstrahl

Senkrecht auf Objektmitte und Filmmitte.

Indikation

Skapholunäre Dissoziation mit einer skapholunären Diastase von über 3 mm.

Qualitätskriterien

Guter Einblick auf den SL-Spalt (scapholunärer Spalt), Handwurzelknochen sollte nicht verkürzt dargestellt werden.

  • Aufnahmedaten
  • Pädiatrische Besonderheiten
  • Vorbereitung des Patienten
Aufnahmeart: ohne Raster
Belichtungsautomatik: ohne
Bildempfängerdosis: SC 200
Fokus-Detektor-Abstand: 105 cm
Brennflecknennwert: 0,6 (≤1,3)
Aufnahmespannung: 50 – 60 kV
Aufnahmeart: Aufnahmetisch
Bildempfängerdosis: SC 400
Belichtungsautomatik: ohne
Strahlenschutz: Bleigummiabdeckung der unmittelbar anschließenden Abschnitte des Körperstamms
Untersuchende Region von Kleidung und Schmuck frei machen, Gonadenschutz anlegen.

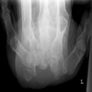
Hand a.p. (dorsovolar)
Es wurden keine Bilder gefunden.

Kassette/Abstand

Format 24/30 (2), 18/24 / FFA 1,05m

Lagerung

Patient sitzt seitlich am Tisch, der abgewinkelte Unterarm und die Handflächen liegen auf, Finger leicht gespreizt, evtl. Sandsack zur Fixierung auf den Unterarm legen.

Zentralstrahl

Auf Objekt- und Kassettenmitte.

Anmerkung

Übersichtsdarstellung des Skeletts bei Frakturen, Arthrosis und Deformierung der Gelenke, sowie chronischer Polyarthritis (Rheuma).

Qualitätskriterien

Vollständige Abbildung der ganzen Hand einschließlich aller Fingerendglieder und des Handgelenkes.

  • Aufnahmedaten
  • Pädiatrische Besonderheiten
  • Vorbereitung des Patienten
Aufnahmeart: ohne Raster
Belichtungsautomatik: ohne
Bildempfängerdosis: SC 200
Fokus-Detektor-Abstand: 105 cm
Brennflecknennwert: 0,6 (≤1,3)
Aufnahmespannung: 50 – 60 kV
Aufnahmeart: Aufnahmetisch
Bildempfängerdosis: SC 400
Belichtungsautomatik: ohne
Strahlenschutz: Bleigummiabdeckung der unmittelbar anschließenden Abschnitte des Körperstamms
Untersuchende Region von Kleidung und Schmuck frei machen, Gonadenschutz anlegen.

Hand a.p / Knochenalterbestimmung
Es wurden keine Bilder gefunden.

Kassette/Abstand

Format 18/24 / FFA 1,05m / AT

Lagerung

Patient sitzt seitlich am Tisch, der abgewinkelte Unterarm und die Handflächen liegen auf, Finger leicht gespreizt, evtl. Sandsack zur Fixierung auf den Unterarm legen. Kopf wegdrehen lassen.

Zentralstrahl

Auf Objekt- und Kassettenmitte.

Kriterien für gute Aufnahme

Ganze Hand und Handgelenk müssen abgebildet werden.

Anmerkung

Seitenbezeichnung und Altersangabe bei Knochenaltersbestimmung in Jahr und Monat auf dem Bild vermerken.

Variante

Weitere Möglichkeit wäre das Baby auf der Untersuchungsliege hinzulegen und bei abgespreiztem Arm die Hand auf der Kassette aufzunehmen.

Qualitätskriterien

Vollständige Abbildung der ganzen Hand einschließlich aller Fingerendglieder und des Handgelenkes.

  • Aufnahmedaten Pädiatrisch
  • Vorbereitung des Patienten
Aufnahmeart: ohne Raster
Belichtungsautomatik: ohne
Bildempfängerdosis: SC 400
Fokus-Detektor-Abstand: 105 cm
Brennflecknennwert: 0,6 (≤1,3)
Aufnahmespannung: 50 – 60 kV
Strahlenschutz: Bleigummiabdeckung der unmittelbar anschließenden Abschnitte des Körperstamms
Untersuchende Region von Kleidung und Schmuck frei machen, Gonadenschutz anlegen.

Hand streng seitlich: radio-ulnar
Es wurden keine Bilder gefunden.

Kassette/Abstand

Format 18/24 / FFA 1,05m

Lagerung

Vorderarm liegt bequem auf dem Tisch, Hand wird mit der Kleinfingerseite streng seitlich auf die Kassette gelegt, evtl. Kasten an den Handrücken schieben, Daumen wird volarwärts leicht abgespreizt.

Zentralstrahl

Senkrecht auf Grundgelenk des 2. Fingers und auf Filmmitte.

Indikation

Fremdkörperlokalisation, Stellung von Fragmenten bei Metacarpal-Frakturen.

Qualitätskriterien

Metacarpalia und Fingerendglieder müssen sich decken, Weichteile müssen gute beurteilbar sein.

  • Aufnahmedaten
  • Pädiatrische Besonderheiten
  • Vorbereitung des Patienten
Aufnahmeart: ohne Raster
Belichtungsautomatik: ohne
Bildempfängerdosis: SC 200
Fokus-Detektor-Abstand: 105 cm
Brennflecknennwert: 0,6 (≤1,3)
Aufnahmespannung: 50 – 60 kV
Aufnahmeart: Aufnahmetisch
Bildempfängerdosis: SC 400
Belichtungsautomatik: ohne
Strahlenschutz: Bleigummiabdeckung der unmittelbar anschließenden Abschnitte des Körperstamms
Untersuchende Region von Kleidung und Schmuck frei machen, Gonadenschutz anlegen.

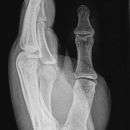
Hand schräg: Zitherspieler
Es wurden keine Bilder gefunden.

Kassette/Abstand

Format 24/30 (2)/ FFA 1,05m

Lagerung

Hand liegt schräg auf, typische Zitherspielerstellung (Teetassenhaltung), je nach Fragestellung evtl. kleiner 45° Keil zur Unterstützung des Daumens und des Zeigefingers bzw. Zellstoff in die Hand geben.

Zentralstrahl

Senkrecht auf Objekt- und Filmmitte.

Anmerkung

Trotz Schräghaltung werden die Finger weitgehend seitlich projiziert.

Qualitätskriterien

Darstellung der ganzen Hand mit schräger, überlagerungsfreier Darstellung der Mittelhand und des Handgelenkes, Metacarpale 4 und 5 überlagern sich leicht in der Basis.

 

  • Aufnahmedaten
  • Pädiatrische Besonderheiten
  • Vorbereitung des Patienten
Aufnahmeart: ohne Raster
Belichtungsautomatik: ohne
Bildempfängerdosis: SC 200
Fokus-Detektor-Abstand: 105 cm
Brennflecknennwert: 0,6 (≤1,3)
Aufnahmespannung: 50 – 60 kV
Aufnahmeart: Aufnahmetisch
Bildempfängerdosis: SC 400
Belichtungsautomatik: ohne
Strahlenschutz: Bleigummiabdeckung der unmittelbar anschließenden Abschnitte des Körperstamms
Untersuchende Region von Kleidung und Schmuck frei machen, Gonadenschutz anlegen.

Hand schräg: Zitherspieler Pädiatrie

Kassette/Abstand

Format 18/24 (2) / FFA 1,05m AT

Lagerung

Kind sitzt seitlich am Tisch, Hand liegt schräg auf, zur Unterstützung für Daumen und Zeigefinger evtl. 45° Schaumstoffkeil verwenden.

Zentralstrahl

Senkrecht auf Objekt- und Filmmitte.

Anmerkung

Zusatzfilter 1 mm Al + mindestens 0,1 mm Cu.
Bei unruhigen Patienten muss der Unterarm durch Sandsack oder Begleitperson fixiert werden.

Lagerungshilfen

Mit kleinen Schaumstoffscheiben lassen sich gut Lagerungstürme bauen, an dem das Kind gut seine Finger lagern kann.

Qualitätskriterien

Darstellung der ganzen Hand mit schräger, überlagerungsfreier Darstellung der Mittelhand

  • Aufnahmedaten Pädiatrisch
  • Vorbereitung des Patienten
Aufnahmeart: ohne Raster
Belichtungsautomatik: ohne
Bildempfängerdosis: SC 400
Fokus-Detektor-Abstand: 105 cm
Brennflecknennwert: 0,6 (≤1,3)
Aufnahmespannung: 50 – 60 kV
Strahlenschutz: Bleigummiabdeckung der unmittelbar anschließenden Abschnitte des Körperstamms
Untersuchende Region von Kleidung und Schmuck frei machen, Gonadenschutz anlegen.

Hände nach Norgaard (Rheuma-Spezialaufnahme in der Medizin)
Es wurden keine Bilder gefunden.

Kassette/Abstand

Format 24/30 / FFA 1,05m

Lagerung

Pat. sitzt frontal am Tisch, Ellenbogen möglichst zusammen, Handinnenflächen zeigen nach oben, Finger leicht abgespreizt und gestreckt, Unterarm zur Tischoberfläche im Winkel von ca. 30° (-45°) (Ballauffang- o. Schalenhaltung). Beide Hände gleichzeitig zum Vergleich in einem Strahlengang.

Zentralstrahl

Senkrecht auf Kassettenmitte.

Anmerkung

Gute Projektion der kleinen Gelenke und Gelenkspalten.

Qualitätskriterien

Guter Einblick in die Gelenke.

  • Aufnahmedaten
  • Pädiatrische Besonderheiten
  • Vorbereitung des Patienten
Aufnahmeart: ohne Raster
Belichtungsautomatik: ohne
Bildempfängerdosis: SC 200
Fokus-Detektor-Abstand: 105 cm
Brennflecknennwert: 0,6 (≤1,3)
Aufnahmespannung: 50 – 60 kV
Aufnahmeart: Aufnahmetisch
Bildempfängerdosis: SC 400
Belichtungsautomatik: ohne
Strahlenschutz: Bleigummiabdeckung der unmittelbar anschließenden Abschnitte des Körperstamms
Untersuchende Region von Kleidung und Schmuck frei machen, Gonadenschutz anlegen.

Mittelhand a.p.
Es wurden keine Bilder gefunden.

Kassette/Abstand

Format 24/30 (2), 18/24 / FFA 1,05m

Lagerung

Patient sitzt seitlich am Tisch, der abgewinkelte Unterarm und die Handflächen liegen auf, Finger leicht gespreizt, evtl. Sandsack zur Fixierung auf den Unterarm legen.

Zentralstrahl

Auf Objektmitte. Einblendung oben und unten nur von PIP Gelenk bis einschließlich Handwurzelknochen.

Qualitätskriterien

Überlagerungsfreie Abbildung der Mittelhandknochen einschließlich Carpometacarpal- und Metacarpophalangealgelenken.

  • Aufnahmedaten
  • Pädiatrische Besonderheiten
  • Vorbereitung des Patienten
Aufnahmeart: ohne Raster
Belichtungsautomatik: ohne
Bildempfängerdosis: SC 200
Fokus-Detektor-Abstand: 105 cm
Brennflecknennwert: 0,6 (≤1,3)
Aufnahmespannung: 50 – 60 kV
Aufnahmeart: Aufnahmetisch
Bildempfängerdosis: SC 400
Belichtungsautomatik: ohne
Strahlenschutz: Bleigummiabdeckung der unmittelbar anschließenden Abschnitte des Körperstamms
Untersuchende Region von Kleidung und Schmuck frei machen, Gonadenschutz anlegen.

Mittelhand seitlich
Es wurden keine Bilder gefunden.

Kassette/Abstand

Format 24/30 (2), 18/24 / FFA 1,05m

Lagerung

1. Möglichkeit:

Frage Fraktur MC1-3: Selbe Lagerung wie bei der Zitherspielerstellung Hand schräg. Hand liegt schräg auf, typische Zitherspielerstellung (Teetassenhaltung), je nach Fragestellung evtl. kleiner 45° Keil zur Unterstützung des Daumens und des Zeigefingers bzw. Zellstoff in die Hand geben.

2. Möglichkeit:

Frage Fraktur MC4-5: Pat. seitlich am Tisch, Handinnenfläche zeigen nach oben, Unterarm zur Tischoberfläche im Winkel von ca. 45°.

Zentralstrahl

Senkrecht auf Objektmitte. Einblendung oben und unten nur von PIP Gelenk bis einschließlich Handwurzelknochen.

Qualitätskriterien

Überlagerungsfreie Darstellung der Mittelhand, bei der 2. Möglichkeit vollständige und überlagerungsfreie schräge Abbildung des Metacarpale 5 und 4.

  • Aufnahmedaten
  • Pädiatrische Besonderheiten
  • Vorbereitung des Patienten
Aufnahmeart: ohne Raster
Belichtungsautomatik: ohne
Bildempfängerdosis: SC 200
Fokus-Detektor-Abstand: 105 cm
Brennflecknennwert: 0,6 (≤1,3)
Aufnahmespannung: 50 – 60 kV
Aufnahmeart: Aufnahmetisch
Bildempfängerdosis: SC 400
Belichtungsautomatik: ohne
Strahlenschutz: Bleigummiabdeckung der unmittelbar anschließenden Abschnitte des Körperstamms
Untersuchende Region von Kleidung und Schmuck frei machen, Gonadenschutz anlegen.

Os pisiforme
Es wurden keine Bilder gefunden.

Kassette/Abstand

Format 18/24 / FFA 1,05m

Lagerung

Hand liegt mit der Kleinfingerseite auf und wird ca. 20° nach hinten dorsalwärts geneigt, Handinnenfläche zeigt nach oben.

Zentralstrahl

Senkrecht auf Os pisiforme (Handgelenk) und Filmmitte.

Bemerkung

Bei Fragen nach Wachstumsstörungen 2.Ebene für Os pisiforme ist der Carpal-Tunnel.

Qualitätskriterien

Überlagerungsfreie Darstellung des Os pisiforme.

  • Aufnahmedaten
  • Pädiatrische Besonderheiten
  • Vorbereitung des Patienten
Aufnahmeart: ohne Raster
Belichtungsautomatik: ohne
Bildempfängerdosis: SC 200
Fokus-Detektor-Abstand: 105 cm
Brennflecknennwert: 0,6 (≤1,3)
Aufnahmespannung: 50 – 60 kV
Aufnahmeart: Aufnahmetisch
Bildempfängerdosis: SC 400
Belichtungsautomatik: ohne
Strahlenschutz: Bleigummiabdeckung der unmittelbar anschließenden Abschnitte des Körperstamms
Untersuchende Region von Kleidung und Schmuck frei machen, Gonadenschutz anlegen.

Carpal-Tunnel
Es wurden keine Bilder gefunden.

Kassette/Abstand

Format 18/24 / FFA 1,05m

Lagerung

1. Möglichkeit:

Aufzunehmendes Handgelenk auf Kassettenmitte, Finger werden mit der gesunden Hand so weit wie möglich nach dorsal gezogen.

2. Möglichkeit:

Patient stützt die Hand mit größter Flexion auf die Kassette, die auf dem Tisch liegt und geht 1-2 Schritte vor.

3. Möglichkeit:

Patient stützt die Hand auf Kassette, die auf einem 45° Keil gelagert ist und geht 1-2 Schritte vor.

Zentralstrahl

Bei 1. und 2.

entsprechend der Flexion der Hand mit 45° tangierend evtl. 25°-30° (Röhrenkippung), 1 Querfinger zur Gelenkmitte hin und auf Kassettenmitte.

Bei 3.

mit senkrechtem Strahlengang.

Qualitätskriterien

Beurteilung der Karpaltunnelknochen und – bei geringer Exposition – auch der palmarseitigen Weichteilstrukturen möglich. Gleichzeitig überlagerungsfreie axiale Abbildung des Os pisiforme und des Hamulus ossis hamati, u.U. auch des Daumensattelgelenkes.

  • Aufnahmedaten
  • Pädiatrische Besonderheiten
  • Vorbereitung des Patienten
Aufnahmeart: ohne Raster
Belichtungsautomatik: ohne
Bildempfängerdosis: SC 200
Fokus-Detektor-Abstand: 105 cm
Brennflecknennwert: 0,6 (≤1,3)
Aufnahmespannung: 50 – 60 kV
Aufnahmeart: Aufnahmetisch
Bildempfängerdosis: SC 400
Belichtungsautomatik: ohne
Strahlenschutz: Bleigummiabdeckung der unmittelbar anschließenden Abschnitte des Körperstamms
Untersuchende Region von Kleidung und Schmuck frei machen, Gonadenschutz anlegen.