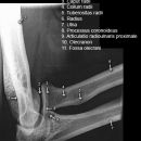
Ellenbogen

Ellenbogen a.p.
Es wurden keine Bilder gefunden.

Beurteilungskriterien

  • Lage der Tuberositas radii zeigt die Stellung des Unterarms: Supination -> Tuberositas zeigt nach medial, Pronation -> Tuberositas zeigt nach lateral
  • Physiologische Valgusstellung von 10 – 15°
  • Ellenbogengelenkspaltweite: etwa 3mm
  • Auftreten, Verschmelzung und Lokalisation der Epiphysenkerne -> Verlagerung? vgl. Anatomie Kids! Viele kindliche Verletzungen sind anhand der Verlagerung der Knochenkerne differenzierbar! Evtl. Vergleich mit Gegenseite oder MRT hilfreich.
  • Target areas: Kontinuität der Knochenkontur der Fossa olecrani , der Epikondylen und Kondylen, des Olecranons.

Harmonische Darstellung des Radiusköpfchens? Impressionen? Stufe? Verdichtungen, Fissur? Knickbildung im leicht geschwungenen Radiuskopf-/Hals-Übergangs?

Cave: 50% der Radiusköpfchenfraktur sind nicht disloziert und u.U. nicht nachweisbar -> bei klinischem Verdacht ist ein positives Fettpolsterzeichen in der seitlichen Aufnahme nahezu beweisend! -> Greenspan-Aufnahme, evtl. CT oder MRT!

  • Erhaltene Radius-Kapitulum-Achse? Versatz -> Luxation?
  • Täuschungsmöglichkeiten: Persistierende Apophysen an Epikondylus medialis, Olecranonspitze, medialem Trochlearand oder Processus coronoideus
  • Umgebende Leitungsbahnen: besonders gefährdet bei stark dislozierten Verletzungen sind der N.ulnaris (verläuft im seiner Knochenrinne durch den distalen mediodorsalen Humerus und die A.brachialis (zusammen mit N.medianus ventral des Gelenks)
  • Kids: Baumannscher Winkel: Humeruslängsachse – Gerade durch die Epiphysenfuge des Capitulums ~ 70-75°. Wichtig für die Beurteilung der Repositionskontrolle nach supracondylärer Humerusfraktur

Ellenbogen seitlich
Es wurden keine Bilder gefunden.

Beurteilungskriterien

  • Weichteilzeichen: Verlagerung des ventralen (proximal der Fossa coronoidea bis 5mm breit ist normal) und dorsalen distalen Humerusfettkörpers (normalerweise nicht sichtbar), Supinatorfettlinie: normalerweise etwa 3-4cm lang und 2-3mm breit, parallel zum proximalen Radius
  • Target areas: vordere und hintere Humeruskontur, Radiusköpfchen, Processus coronoideus (evtl. zusätzlich 45°-Schrägaufnahme), Olecranon, harmonische Darstellung des Radiusköpfchen? Impressionen? Stufe? Verdichtungen, Fissur? Knickbildung?
  • Auftreten, Verschmelzung und Lokalisation der Epiphysenkerne -> Verlagerung? vgl. Anatomie Kids! Viele kindliche Verletzungen sind anhand der Verlagerung der Knochenkerne differenzierbar! Evtl. Vergleich mit Gegenseite oder MRT hilfreich.
  • Täuschungsmöglichkeiten: Persistierende Apophysen an Olecranonspitze oder Processus coronoideus, Kortikaliseinkerbungen als Residuen der Epiphysenfugen (v.a. des Olecranons)
  • Kids: Kreuzung vordere Humeruslinie mit Radiushalsachse im mittleren Capitulumdrittel? Abweichung -> dislozierte, supracondyläre Humerusfraktur? Epiphysenfugenverletzung? Dislokation des proximalen Radius? Luxation?

Cave:

  • 50% der Radiusköpfchenfraktur sind nicht disloziert und u.U. nicht nachweisbar -> bei klinischem Verdacht ist ein positives Fettpolsterzeichen nahezu beweisend! Greenspan-Aufnahme, evtl. CT oder MRT!
  • Distale Humerusfraktur (Trochlea oder Capitulum) mit frontaler Bruchebene -> "Halbmondzeichen" durch plankonvexe(s) und in die Fossa cubiti dislozierte(s) Fragment(e) -> CT zur Beurteilung der Gelenkflächenverhältnisse.
  • Komplexe Frakturen, Gelenkflächenverhältnisse? -> CT

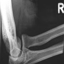
Beispiele

Radiusköpfchen; Greenspan
Es wurden keine Bilder gefunden.

Beurteilungskriterien

Proximale Radiusfrakturen sind mit 50% die häufigsten Ellbogenverletzungen des Erwachsenen (Kinder 15%)! 50% der Radiusköpfchenfrakturen sind nicht disloziert und u.U. in den Standartprojektionen nicht nachweisbar -> bei klinischem Verdacht ist ein positives Fettpolsterzeichen in der seitlichen Aufnahme nahezu beweisend! Zusätzlich Greenspan-Aufnahme, evtl. CT oder MRT! Harmonische Darstellung des Radiusköpfchens? Impressionen? Stufe? Verdichtungen? Fissur? Knickbildung?