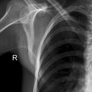
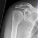
Schulter

Schulter a.p. (Schultergelenk nach Grashey)
Es wurden keine Bilder gefunden.

index.png

Kassette/Abstand

Format 18/24 (Medizin degen. Veränd.) 24/30 (Chirurgie traumat. Veränd.) / FFA 1,15m

Lagerung

Patient steht mit dem Rücken am Stativ, gesunde Seite um 45° anheben, kranke Seite liegt auf, Arm der aufzunehmenden Seite leicht abgespreizt, Hand in Supination (Handinnenfläche zeigt von der Kassette weg). Kopf zur Gegenseite drehen lassen.

Zentralstrahl

Senkrecht in Gelenkspalt bei Format 18/24.
Bei Format 24/30 oberer Kassettenrand: 2 Querfinger oberhalb der Schulter, prox. Humerus mit in der Einblendung.

Subacromial-Raum:

Einstellung wie zuvor, doch nun Röhrenkippung 20° canio-caudal.

Qualitätskriterien

Gelenkfläche der Scapulapfanne (Glenoidal-Gelenk) soll strichförmig abgebildet sein, der Humerus soll frei projiziert werden. Die Aufnahme kann mit der Rockwood-Aufnahme kombiniert werden (Röhrenkippung). evtl. Schulterfilter verwenden.
- vollständige überlagerungsfreie Darstellung des Humeruskopfes und des Gelenkes

Bei Fragen im Subacromial-Raum sollte dieser überlagerungsfrei dargestellt werden.

  • Aufnahmedaten
  • Pädiatrische Besonderheiten
  • Vorbereitung des Patienten
Aufnahmeart: Rastertisch oder Rasterwandgerät
Belichtungsautomatik: mittleres Messfeld
Bildempfängerdosis: SC 400
Fokus-Detektor-Abstand: 115 cm
Brennflecknennwert: ≤1,3
Aufnahmespannung: 60 – 75 kV
Expositionszeit: < 100 ms
Streustrahlenraster: r 8 (12)
Aufnahmeart: Aufnahmetisch, Rastertisch
Aufnahmespannung: 60 – 70 kV, ggf. ohne Raster
Zusatzfilterung: 1 mm Al + mindestens 0,1 mm Cu
Bildempfängerdosis: SC 800 (400)
Brennflecknennwert: 0,6 (≤ 1,3)
Streustrahlenraster: r 8, bei Aufnahmen der Rippen und des Sternums bei Säuglingen über 6 Monaten, Kindern und Jugendlichen
Belichtungsautomatik: ohne
Strahlenschutz: Bleigummiabdeckung der unmittelbar anschließenden Abschnitte des Körperstamms
Oberarm und Unterarm von Kleidung und Schmuck frei machen, Gonadenschutz anlegen.

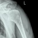
Schulter seitlich (Y-View)
Es wurden keine Bilder gefunden.

index.png

Kassette/Abstand

Format 18/24 (Medizin degen. Veränd.) 24/30 (Chirurgie traumat. Veränd.) / FFA 1,15m

Lagerung

Patient steht mit dem Bauch am Stativ (p.a.), gesunde Seite um 45° anheben, kranke Seite liegt auf, Arm der aufzunehmenden Seite im Ellenbogen um 90° gebeugt.

Zentralstrahl

Senkrecht in Gelenkspalt bei Format 18/24.
Bei Format 24/30 oberer Kassettenrand: 2 Querfinger oberhalb der Schulter, prox. Humerus mit in der Einblendung.

Qualitätskriterien

Scapula stellt sich Y-förmig ohne Rippenüberlagerung dar. Humerus und Scapula überdecken sich. Gelenkpfanne befindet sich im Schnittpunkt der 3 Schenkel vom Y.

  • Aufnahmedaten
  • Pädiatrische Besonderheiten
  • Vorbereitung des Patienten
Aufnahmeart: Rastertisch oder Rasterwandgerät
Belichtungsautomatik: mittleres Messfeld
Bildempfängerdosis: SC 400
Fokus-Detektor-Abstand: 115 cm
Brennflecknennwert: ≤1,3
Aufnahmespannung: 60 – 75 kV
Expositionszeit: < 100 ms
Streustrahlenraster: r 8 (12)
Aufnahmeart: Aufnahmetisch, Rastertisch
Aufnahmespannung: 60 – 70 kV, ggf. ohne Raster
Zusatzfilterung: 1 mm Al + mindestens 0,1 mm Cu
Bildempfängerdosis: SC 800 (400)
Brennflecknennwert: 0,6 (≤ 1,3)
Streustrahlenraster: r 8, bei Aufnahmen der Rippen und des Sternums bei Säuglingen über 6 Monaten, Kindern und Jugendlichen
Belichtungsautomatik: ohne
Strahlenschutz: Bleigummiabdeckung der unmittelbar anschließenden Abschnitte des Körperstamms
Oberarm und Unterarm von Kleidung und Schmuck frei machen, Gonadenschutz anlegen.

Schulter axial
Es wurden keine Bilder gefunden.

Kassette/Abstand

Format 18/24 (quer) oder 24/30 (quer) / FFA 1,15m

Lagerung

Schulter axial liegend (caudo-cranial):

Patient in Rückenlage, möglichst weit an Tischkante, Körperachse parallel zum Tisch, Arm in Schultergelenk rechtwinklig abduzieren und unterpolstern, so dass das Schultergelenk in Kassettenmitte kommt, Kassette senkrecht zum Tisch, hinter die Schulter möglichst weit an den Hals geschoben, Kopf zur gesunden Seite drehen.

Schulter axial sitzend:

1. Möglichkeit: Patient sitzt auf dem Stuhl, Arm möglichst weit abduziert, Kassette unter die Axilla bzw. den Oberarm weit auf die auf dem Buckytisch gelagerte Kassette gezogen, Kopf immer zur Gegenseite drehen.
2. Möglichkeit: Patient sitzt auf dem Stuhl, Arm möglichst weit abgespreizt, Kassette auf der Schulter, evtl. mit 15° Keil unterpolstern, Kassette dem Patienten bis an den Hals schieben.

Zentralstrahl

Schulter axial liegend (caudo-cranial):

Röhre 90° caudo-cranial, zielt auf Humeruskopf (Axilla) fast parallel zur Körperachse auf das letzte Drittel der Kassette.

Schulter axial sitzend:

bei 1. senkrecht oder 15-20° ellenbogenwärts auf die Schultermitte und Kassette.
Bei 2. von unten in die Axilla senkrecht auf das letzte Drittel der Kassette.

Qualitätskriterien

Freier Durchblick durch Humeroglenoidalgelenk, unverzerrte Darstellung von Proc. Coracoideus und AC-Gelenk, das sich in den Oberarmkopf projiziert.

  • Aufnahmedaten
  • Pädiatrische Besonderheiten
  • Vorbereitung des Patienten
Aufnahmeart: ohne Raster
Belichtungsautomatik: ohne
Bildempfängerdosis: SC 400
Fokus-Detektor-Abstand: 115 cm
Brennflecknennwert: ≤1,3
Aufnahmespannung: 60 – 75 kV
Aufnahmeart: Aufnahmetisch, Rastertisch
Aufnahmespannung: 60 – 70 kV, ggf. ohne Raster
Zusatzfilterung: 1 mm Al + mindestens 0,1 mm Cu
Bildempfängerdosis: SC 800 (400)
Brennflecknennwert: 0,6 (≤ 1,3)
Streustrahlenraster: r 8, bei Aufnahmen der Rippen und des Sternums bei Säuglingen über 6 Monaten, Kindern und Jugendlichen
Belichtungsautomatik: ohne
Strahlenschutz: Bleigummiabdeckung der unmittelbar anschließenden Abschnitte des Körperstamms
Oberarm und Unterarm von Kleidung und Schmuck frei machen, Gonadenschutz anlegen.

Schulter nach Morrison oder Outlet View
Es wurden keine Bilder gefunden.

Kassette/Abstand

Format 18/24 / FFA 1,15m

Lagerung

Der Patient steht mit der Brust zum Stativ. Die Hand der zu untersuchenden Seite wird auf den Bauch gelegt. Nun wird die Gegenseite um etwa 45° oder größer ausgedreht, so dass die Scapula senkrecht zum Film steht. Die Aufnahme erfolgt in p.a. Position.

Zentralstrahl

Die Röhre wird 10 Grad cranio-caudal gekippt, auf Humeruskopf und Filmmitte.

Qualitätskriterien

Scapula stellt sich Y-förmig ohne Rippenüberlagerung dar. Humerus und Scapula überdecken sich. Gelenkpfanne befindet sich im Schnittpunkt der 3 Schenkel vom Y. Subacromialraum wird rundlich dargestellt, damit Verkalkungen dort erkennbar sind.

  • Aufnahmedaten
  • Pädiatrische Besonderheiten
  • Vorbereitung des Patienten
Aufnahmeart: Rasterwandgerät
Belichtungsautomatik: mittleres Messfeld
Bildempfängerdosis: SC 400
Fokus-Detektor-Abstand: 115 cm
Brennflecknennwert: ≤1,3
Aufnahmespannung: 70 – 77 kV
Expositionszeit: < 100 ms
Streustrahlenraster: r 8 (12)
Aufnahmeart: Aufnahmetisch, Rastertisch
Aufnahmespannung: 60 – 70 kV, ggf. ohne Raster
Zusatzfilterung: 1 mm Al + mindestens 0,1 mm Cu
Bildempfängerdosis: SC 800 (400)
Brennflecknennwert: 0,6 (≤ 1,3)
Streustrahlenraster: r 8, bei Aufnahmen der Rippen und des Sternums bei Säuglingen über 6 Monaten, Kindern und Jugendlichen
Belichtungsautomatik: ohne
Strahlenschutz: Bleigummiabdeckung der unmittelbar anschließenden Abschnitte des Körperstamms
Oberarm und Unterarm von Kleidung und Schmuck frei machen, Gonadenschutz anlegen.

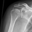
Schulter nach Rockwood
Es wurden keine Bilder gefunden.

Kassette/Abstand

Format 24/30 hoch / FFA 1,15m

Lagerung

Der Patient steht mit flach angelegtem Schulterblatt am Stativ. Arm der aufzunehmenden Seite leicht abgespreizt, Hand in Supination, Kopf zur Gegenseite drehen lassen.

Zentralstrahl

Zielt genau auf den Subacromialraum im Winkel von ca. 30 Grad cranio-caudal.

Qualitätskriterien

Acromion stellt sich in Löffelform dar. Zur Darstellung von Verkalkung d. lig. coracoacromiale, Tendinosus calarea, Osteophyten am Acromion.

  • Aufnahmedaten
  • Pädiatrische Besonderheiten
  • Vorbereitung des Patienten
Aufnahmeart: Rasterwandgerät
Belichtungsautomatik: mittleres Messfeld
Bildempfängerdosis: SC 400
Fokus-Detektor-Abstand: 115 cm
Brennflecknennwert: ≤1,3
Aufnahmespannung: 70 – 77 kV
Expositionszeit: < 100 ms
Streustrahlenraster: r 8 (12)
Aufnahmeart: Aufnahmetisch, Rastertisch
Aufnahmespannung: 60 – 70 kV, ggf. ohne Raster
Zusatzfilterung: 1 mm Al + mindestens 0,1 mm Cu
Bildempfängerdosis: SC 800 (400)
Brennflecknennwert: 0,6 (≤ 1,3)
Streustrahlenraster: r 8, bei Aufnahmen der Rippen und des Sternums bei Säuglingen über 6 Monaten, Kindern und Jugendlichen
Belichtungsautomatik: ohne
Strahlenschutz: Bleigummiabdeckung der unmittelbar anschließenden Abschnitte des Körperstamms
Oberarm und Unterarm von Kleidung und Schmuck frei machen, Gonadenschutz anlegen.

Schwedenstatus (3 Aufnahmen)
Es wurden keine Bilder gefunden.

Kassette/Abstand

Format 18/24 hoch bzw. quer(für Schwedenstatus 3) / FFA 1,15m

Lagerung

1. Aufnahme:
Patient steht mit dem Rücken am Stativ, gesunde Seite mit 45° Keil angehoben, Arm und Ellenbogen um 90° angewinkelt, Handinnenfläche am Körper angelegt. (Innenrotation)
2. Aufnahme:
Gleiche Stellung des Patienten, jedoch Unterarm nach vorne drehen (Neutralstellung), d.h. 45° zum Stativ, Arm zeigt in Richtung Fußspitze.
3. Aufnahme:
Patient steht mit flach angelegtem Schulterblatt am Stativ, Oberarm 90° abduziert und maximal nach außen rotiert, Ellenbogen um 90° gebeugt (Daumen zeigt zum Stativ), wie 2. Ebene der Schulter in der Medizin, Kopf zur gesunden Seite drehen.

Zentralstrahl

1. und 2. Aufnahme:
Trifft 15-20° cranio-caudal auf Oberarmkopf.
3. Aufnahme:
Senkrecht auf Oberarmkopf. Oberer Kassettenrand: 2 Querfinger oberhalb der Hautgrenze.

Indikation

Bei Verdacht auf Fraktur des Tuberculum major, nach Luxation und Periathritis, bei Impressionsfraktur nach Luxation, was bei normalen Schulteraufnahmen nicht diagnostizierbar sind.

Qualitätskriterien

Freie Darstellung des Gelenkspaltes.
1. Aufnahme: Tuberculum majus und minus nebeneinander dargestellt.
2. Aufnahme: Besonders deutlich kommt hier die obere Facette des Tuberculum majus zur Darstellung.
3. Aufnahme: Nahezu überlagerungsfreie Darstellung des Humeruskopfes und Durchblick durch das Humeroglenoidalgelenk.

  • Aufnahmedaten
  • Pädiatrische Besonderheiten
  • Vorbereitung des Patienten
Aufnahmeart: Rastertisch oder Rasterwandgerät
Belichtungsautomatik: mittleres Messfeld
Bildempfängerdosis: SC 400
Fokus-Detektor-Abstand: 115 cm
Brennflecknennwert: ≤1,3
Aufnahmespannung: 60 – 75 kV
Expositionszeit: < 100 ms
Streustrahlenraster: r 8 (12)
Aufnahmeart: Aufnahmetisch, Rastertisch
Aufnahmespannung: 60 – 70 kV, ggf. ohne Raster
Zusatzfilterung: 1 mm Al + mindestens 0,1 mm Cu
Bildempfängerdosis: SC 800 (400)
Brennflecknennwert: 0,6 (≤ 1,3)
Streustrahlenraster: r 8, bei Aufnahmen der Rippen und des Sternums bei Säuglingen über 6 Monaten, Kindern und Jugendlichen
Belichtungsautomatik: ohne
Strahlenschutz: Bleigummiabdeckung der unmittelbar anschließenden Abschnitte des Körperstamms
Oberarm und Unterarm von Kleidung und Schmuck frei machen, Gonadenschutz anlegen.

Schulter nach Velpeau
Es wurden keine Bilder gefunden.

Kassette/Abstand

Format 18/24 quer oder 24/30 quer / FFA 1,15m

Lagerung

Version 1:
Der Patient sitzt mit dem Rücken anliegend verkehrt zum Tisch. Nun lehnt er den Oberkörper etwa 30° nach hinten, sodass die darzustellende Schulter über der auf dem Tisch befindlichen Kassette liegt. Die Hand der aufzunehmenden Seite wird zu anderen Schulter geführt, so dass der Arm quer über den Thorax verläuft.
Version 2:
Sollte die Lagerung so nicht möglich sein, kann man auch die Kassette auf 2x15° Keile legen. Der Patient sitzt aber bei dieser Lagerung aufrecht. Arm wird wie bei Version 1 gelagert.

Zentralstrahl

Version 1:
Der Zentralstrahl verläuft senkrecht zum Film und zielt genau auf das Gelenk.
Version 2:
Der Zentralstrahl verläuft auch senkrecht zum Film, d.h. die Röhre muss um 30° zum Patienten gekippt werden.

Qualitätskriterien

Gute Beurteilbarkeit der Relation zwischen Humeruskopf zur Glenoidpfanne. Die starke Vergrößerung der beteiligten Knochen aufgrund des Parallaxengesetzes kann bei dieser Fragestellung akzeptiert werden.

  • Aufnahmedaten
  • Pädiatrische Besonderheiten
  • Vorbereitung des Patienten
Aufnahmeart: ohne Raster
Belichtungsautomatik: ohne
Bildempfängerdosis: SC 400
Fokus-Detektor-Abstand: 115 cm
Brennflecknennwert: ≤1,3
Aufnahmespannung: 60 – 75 kV
Aufnahmeart: Aufnahmetisch, Rastertisch
Aufnahmespannung: 60 – 70 kV, ggf. ohne Raster
Zusatzfilterung: 1 mm Al + mindestens 0,1 mm Cu
Bildempfängerdosis: SC 800 (400)
Brennflecknennwert: 0,6 (≤ 1,3)
Streustrahlenraster: r 8, bei Aufnahmen der Rippen und des Sternums bei Säuglingen über 6 Monaten, Kindern und Jugendlichen
Belichtungsautomatik: ohne
Strahlenschutz: Bleigummiabdeckung der unmittelbar anschließenden Abschnitte des Körperstamms
Oberarm und Unterarm von Kleidung und Schmuck frei machen, Gonadenschutz anlegen.

Scapula liegend oder stehend (ventro-dorsal)
Es wurden keine Bilder gefunden.

Kassette/Abstand

Format 24/30 hoch / FFA 1,15m

Lagerung

Patient in Rückenlage, gesunde Seite leicht unterpolstern (rund 15°) damit das kranke Schulterblatt plan aufliegt, Arm leicht gespreizt, Ellenbogen unterpolstert, Hand in Pronation, Kopf zur gesunden Seite drehen.

Zentralstrahl

Senkrecht auf Objektmitte und Kassettenmitte. Oberer Kassettenrand: ca. 2 Querfinger oberhalb der Schulter. Seitlicher Kassettenrand: ca. 2 Querfinger außerhalb der Schulter.

Anmerkung

Darstellung der Scapula, wobei diese in ihrem medialen Teil von den Rippen überdeckt wird, sowie die Gelenkpfanne des AC-Gelenks. Durch starke Abduktion des Arms kann die mittlere Scapulaspitze von den Rippen frei projiziert werde.

Qualitätskriterien

Scapula fast vollständig beurteilbar, der laterale Anteil der Scapula ist nicht von Rippen überlagert.

  • Aufnahmedaten
  • Pädiatrische Besonderheiten
  • Vorbereitung des Patienten
Aufnahmeart: Rastertisch oder Rasterwandgerät
Belichtungsautomatik: mittleres Messfeld
Bildempfängerdosis: SC 400
Fokus-Detektor-Abstand: 115 cm
Brennflecknennwert: ≤1,3
Aufnahmespannung: 60 – 75 kV
Expositionszeit: < 100 ms
Streustrahlenraster: r 8 (12)
Aufnahmeart: Aufnahmetisch, Rastertisch
Aufnahmespannung: 60 – 70 kV, ggf. ohne Raster
Zusatzfilterung: 1 mm Al + mindestens 0,1 mm Cu
Bildempfängerdosis: SC 800 (400)
Brennflecknennwert: 0,6 (≤ 1,3)
Streustrahlenraster: r 8, bei Aufnahmen der Rippen und des Sternums bei Säuglingen über 6 Monaten, Kindern und Jugendlichen
Belichtungsautomatik: ohne
Strahlenschutz: Bleigummiabdeckung der unmittelbar anschließenden Abschnitte des Körperstamms
Oberarm und Unterarm von Kleidung und Schmuck frei machen, Gonadenschutz anlegen.

Scapula p.a.
Es wurden keine Bilder gefunden.

Kassette/Abstand

Format 24/30 hoch / FFA 1,15m

Lagerung

Patient in Bauchlage - Arm der aufzunehmenden Seite nach oben angewinkelt - Scapula nach außen schieben.

Zentralstrahl

Senkrecht auf Objektmitte. Oberer Kassettenrand: 2-3 Querfinger oberhalb der Hautgrenze, seitlich größere Aufblendung.

Qualitätskriterien

Scapula fast vollständig beurteilbar, der laterale Anteil der Scapula ist nicht von Rippen überlagert.

  • Aufnahmedaten
  • Pädiatrische Besonderheiten
  • Vorbereitung des Patienten
Aufnahmeart: Rastertisch oder Rasterwandgerät
Belichtungsautomatik: mittleres Messfeld
Bildempfängerdosis: SC 400
Fokus-Detektor-Abstand: 115 cm
Brennflecknennwert: ≤1,3
Aufnahmespannung: 60 – 75 kV
Expositionszeit: < 100 ms
Streustrahlenraster: r 8 (12)
Aufnahmeart: Aufnahmetisch, Rastertisch
Aufnahmespannung: 60 – 70 kV, ggf. ohne Raster
Zusatzfilterung: 1 mm Al + mindestens 0,1 mm Cu
Bildempfängerdosis: SC 800 (400)
Brennflecknennwert: 0,6 (≤ 1,3)
Streustrahlenraster: r 8, bei Aufnahmen der Rippen und des Sternums bei Säuglingen über 6 Monaten, Kindern und Jugendlichen
Belichtungsautomatik: ohne
Strahlenschutz: Bleigummiabdeckung der unmittelbar anschließenden Abschnitte des Körperstamms
Oberarm und Unterarm von Kleidung und Schmuck frei machen, Gonadenschutz anlegen.

Scapula nach Neer-Larchè (tangential)
Es wurden keine Bilder gefunden.

Kassette/Abstand

Format 24/30 hoch / FFA 1,15m

Lagerung

Patient liegt auf der gesunden Seite, kranke Seite 45° dorsalwärts drehen, d.h. kranke Seite ist plattenfern, Arm so weit wie möglich nach oben nehmen.

Zentralstrahl

Senkrecht zwischen Rippen und Scapula. Schulter überstrahlt.

Qualitätskriterien

Überlagerungsfreie, vollständige und streng seitliche Darstellung des Schulterblattes, d.h. "freier Durchblick" zwischen Scapula und Rippengitter.

  • Aufnahmedaten
  • Pädiatrische Besonderheiten
  • Vorbereitung des Patienten
Aufnahmeart: Rastertisch oder Rasterwandgerät
Belichtungsautomatik: mittleres Messfeld
Bildempfängerdosis: SC 400
Fokus-Detektor-Abstand: 115 cm
Brennflecknennwert: ≤1,3
Aufnahmespannung: 60 – 75 kV
Expositionszeit: < 100 ms
Streustrahlenraster: r 8 (12)
Aufnahmeart: Aufnahmetisch, Rastertisch
Aufnahmespannung: 60 – 70 kV, ggf. ohne Raster
Zusatzfilterung: 1 mm Al + mindestens 0,1 mm Cu
Bildempfängerdosis: SC 800 (400)
Brennflecknennwert: 0,6 (≤ 1,3)
Streustrahlenraster: r 8, bei Aufnahmen der Rippen und des Sternums bei Säuglingen über 6 Monaten, Kindern und Jugendlichen
Belichtungsautomatik: ohne
Strahlenschutz: Bleigummiabdeckung der unmittelbar anschließenden Abschnitte des Körperstamms
Oberarm und Unterarm von Kleidung und Schmuck frei machen, Gonadenschutz anlegen.

Scapula lateral
Es wurden keine Bilder gefunden.

Kassette/Abstand

Format 24/30 hoch / FFA 1,15m

Lagerung

Patient in Seitenlage oder am Stativ gelehnt, aufzunehmender Arm gestreckt, Hand in Pronation, Körper des Patienten ca. 45° nach ventral drehen, so dass aufzunehmende Scapula senkrecht zur Filmebene steht.

Zentralstrahl

Senkrecht zwischen Rippen und Scapula. Schulter überstrahlt.

Qualitätskriterien

Überlagerungsfreie, vollständige und streng seitliche Darstellung des Schulterblattes, d.h. "freier Durchblick" zwischen Scapula und Rippengitter.

  • Aufnahmedaten
  • Pädiatrische Besonderheiten
  • Vorbereitung des Patienten
Aufnahmeart: Rastertisch oder Rasterwandgerät
Belichtungsautomatik: mittleres Messfeld
Bildempfängerdosis: SC 400
Fokus-Detektor-Abstand: 115 cm
Brennflecknennwert: ≤1,3
Aufnahmespannung: 60 – 75 kV
Expositionszeit: < 100 ms
Streustrahlenraster: r 8 (12)
Aufnahmeart: Aufnahmetisch, Rastertisch
Aufnahmespannung: 60 – 70 kV, ggf. ohne Raster
Zusatzfilterung: 1 mm Al + mindestens 0,1 mm Cu
Bildempfängerdosis: SC 800 (400)
Brennflecknennwert: 0,6 (≤ 1,3)
Streustrahlenraster: r 8, bei Aufnahmen der Rippen und des Sternums bei Säuglingen über 6 Monaten, Kindern und Jugendlichen
Belichtungsautomatik: ohne
Strahlenschutz: Bleigummiabdeckung der unmittelbar anschließenden Abschnitte des Körperstamms
Oberarm und Unterarm von Kleidung und Schmuck frei machen, Gonadenschutz anlegen.