Thorax

Cystische Fibrose

Es wurden keine Bilder gefunden.

Dextrokardie

Es wurden keine Bilder gefunden.

Dislozierte Rippe 9

Es wurden keine Bilder gefunden.

Einseitig intubiert

Es wurden keine Bilder gefunden.

Enterothorax

Es wurden keine Bilder gefunden.

Halsrippe rechts

Es wurden keine Bilder gefunden.

Hiatushernie

Es wurden keine Bilder gefunden.

Infarktpneumonie bei Trikuspidalklappenendokarditis

Es wurden keine Bilder gefunden.

Infiltrat rechts

Es wurden keine Bilder gefunden.

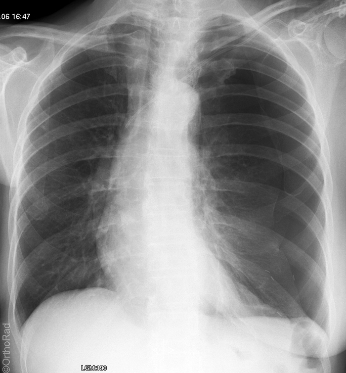
Kardiomegalie

Es wurden keine Bilder gefunden.

Lobärpneumonie

Es wurden keine Bilder gefunden.

Lungenabszess

Es wurden keine Bilder gefunden.

Lungenfibrose DD atypische Infiltrate

Es wurden keine Bilder gefunden.

Mitralklappenersatz

Es wurden keine Bilder gefunden.

Morbus Wegener

Es wurden keine Bilder gefunden.

Narbenemphysem

Es wurden keine Bilder gefunden.

Pericarderguss

Es wurden keine Bilder gefunden.

Plattenepithel Ca

Es wurden keine Bilder gefunden.

Pneumopericard

Es wurden keine Bilder gefunden.

Pneumothorax liegend

Es wurden keine Bilder gefunden.

Pneumothorax rechts apikal

Es wurden keine Bilder gefunden.

Rippenserienfraktur

Es wurden keine Bilder gefunden.

Sarkoidose Stadium I

Es wurden keine Bilder gefunden.

Sarkoidose Stadium II

Es wurden keine Bilder gefunden.

Seropneu Mediastinalshift

Es wurden keine Bilder gefunden.

Seropneumothorax 2 Ebenen

Es wurden keine Bilder gefunden.

Serothorax nach Pneumektomie

Es wurden keine Bilder gefunden.

Spannungspneu li

Es wurden keine Bilder gefunden.

Stauung mit Kerley Linien

Es wurden keine Bilder gefunden.

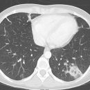
Struma

Es wurden keine Bilder gefunden.

Swyer-James Syndrom

Es wurden keine Bilder gefunden.

Thorakoplastik

Es wurden keine Bilder gefunden.

Thoraxmagen

Es wurden keine Bilder gefunden.

Trachea Y Stent

Es wurden keine Bilder gefunden.

Sunshine C-Pulse Device

Es wurden keine Bilder gefunden.

Wulstfraktur des Manubrium sterni

Es wurden keine Bilder gefunden.

Pleuraabszess bei Trichterbrust OP

Es wurden keine Bilder gefunden.

Pneumonektomie

Es wurden keine Bilder gefunden.
Konversation wird geladen