Fuß

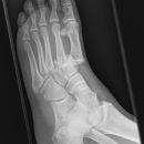
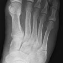
Metatarsale 5

Es wurden keine Bilder gefunden.

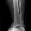
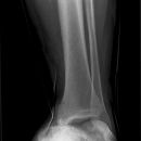
Totale Talusluxation

Es wurden keine Bilder gefunden.

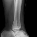
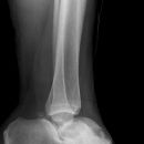
Talus Fraktur

Es wurden keine Bilder gefunden.

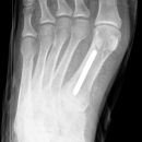
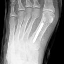
Nagel im Fuß

Es wurden keine Bilder gefunden.

Snowboard fracture Talus

Es wurden keine Bilder gefunden.

Lisfranc Luxationsfraktur

Es wurden keine Bilder gefunden.
Konversation wird geladen