Ellenbogen

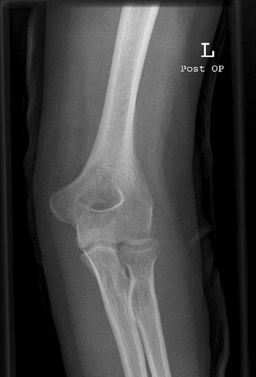
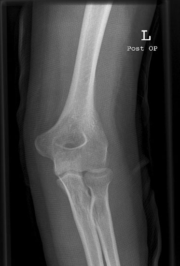
Ellenbogen a.p.

11_2.jpg

Fehler

Der Gelenkspalt zwischen Humerus und Radiusköpfchen ist nicht frei; die Gelenkfläche des Radiusköpfchen ist stark oval gezeichnet und verdeckt die Gelenkfläche des Humerus. Der Patient kippte den Vorderarm mit der Hand hoch statt sie flach aufzulegen.

Abhilfe

Es müssen Vorder- und Oberarm streng gestreckt gehalten werden.

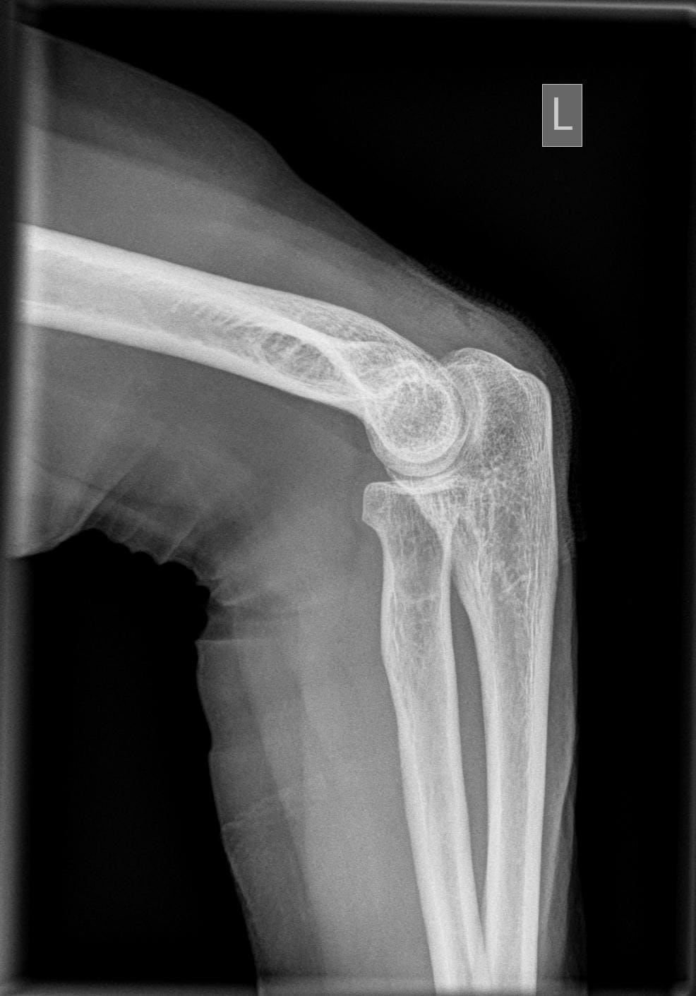
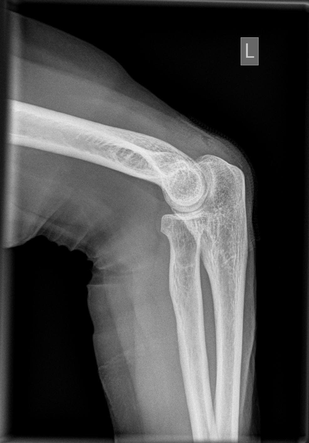
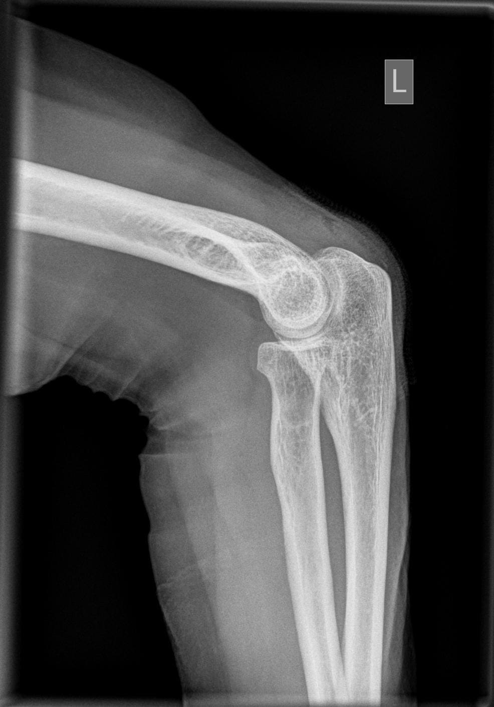
Ellenbogen seitlich

Ellenbogenseit.jpg

Fehler

Der distale Oberarmteil ist schräg projiziert, d.h. die beiden Gelenkrollen überdecken sich nicht, sondern erscheinen über- resp. untereinander. Ursache hier ist die Schrägprojektion bei hängendem Oberarm.

Abhilfe

Es müssen Oberarm und Unterarm auf Schulterhöhe waagerecht aufliegend.

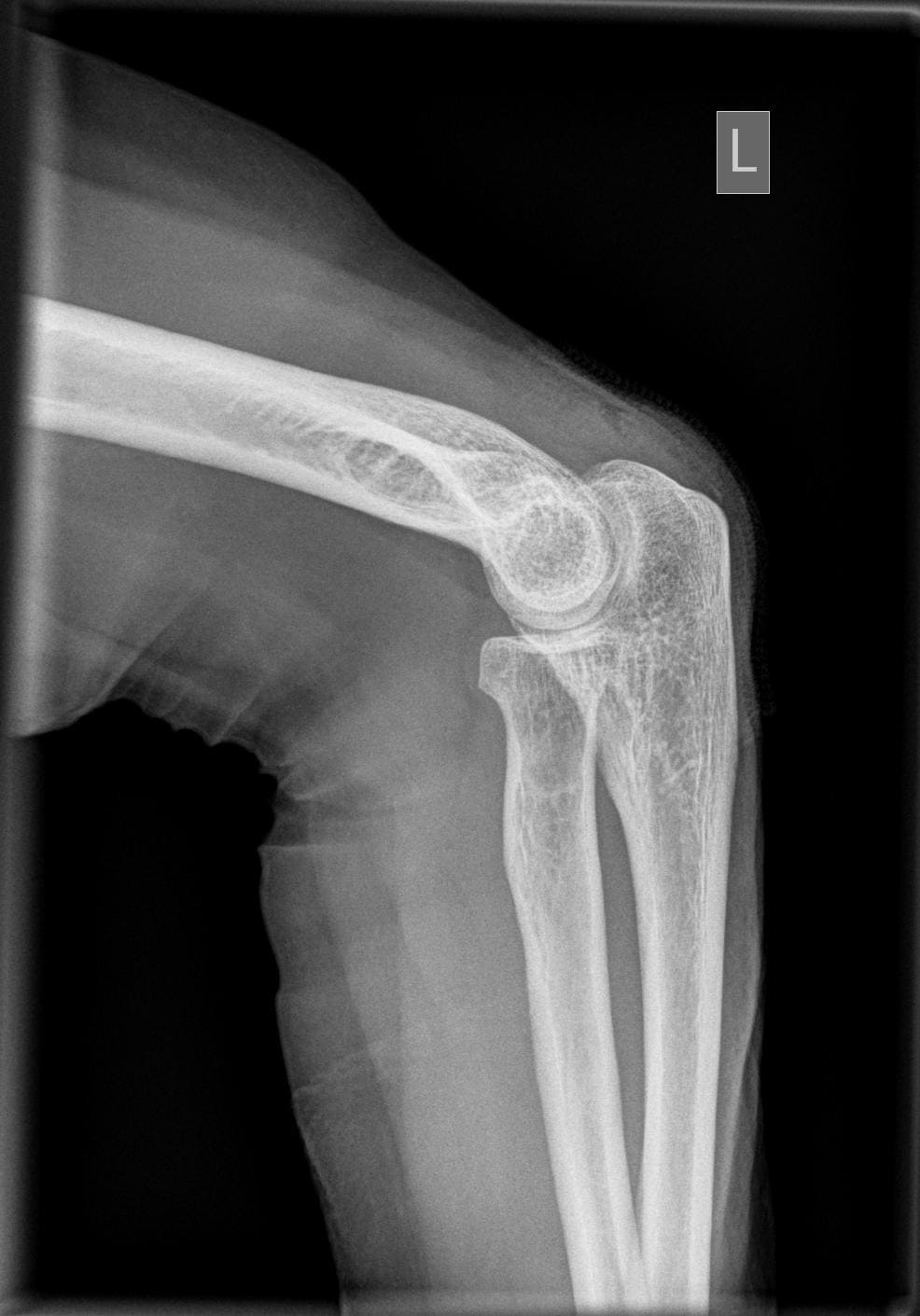
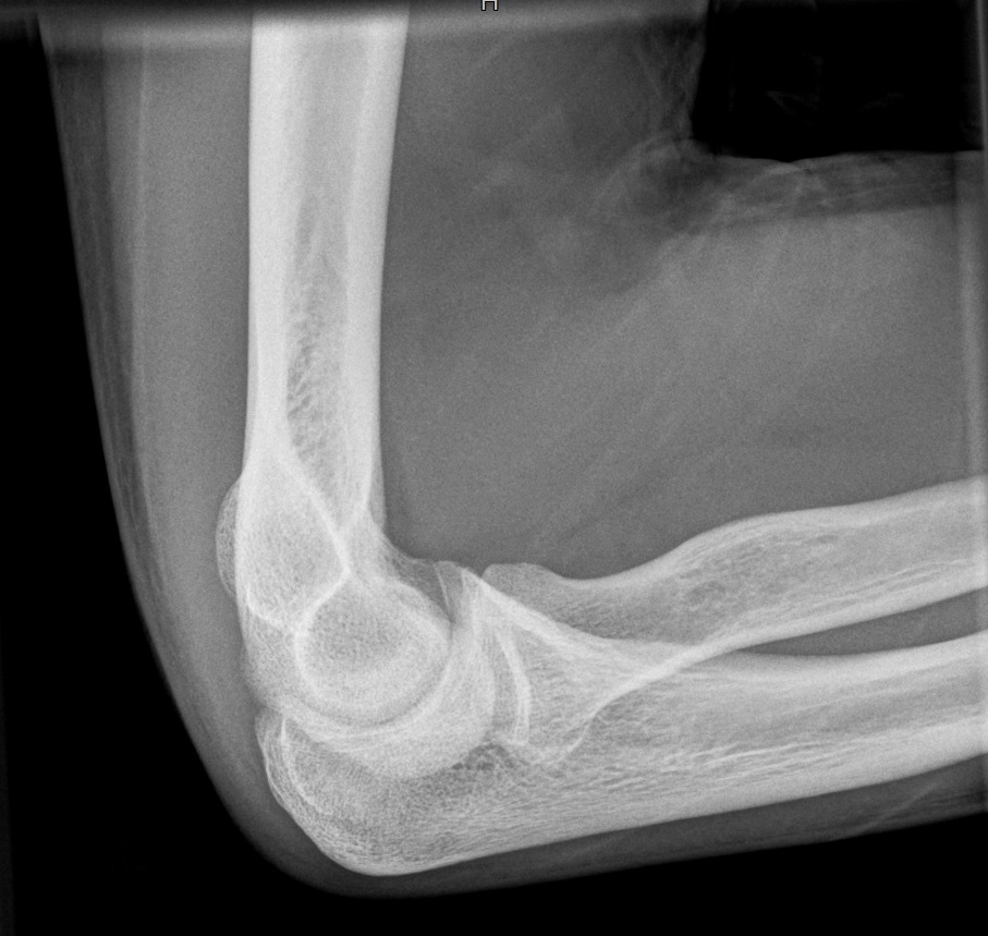
Ellenbogen seitlich

Ellenbogenseit_zum_Unterarm.jpg

Fehler

Der distale Oberarmteil ist schräg projiziert, d.h. die beiden Gelenkrollen überdecken sich nicht. Hier gibt es eine Doppelkontur der Gelenkrollen in Richtung Handgelenk hin. Ursache hier ist die Schrägprojektion, da Unterarm nicht unterpolstert wurde.

Abhilfe

15°-Keil oder Handgelenk der Gegenhand unter den betroffene Unterarm/Handgelenk legen.

Konversation wird geladen